Rabbit BOK Polyclonal Antibody | anti-BOK antibody
BOK Antibody
Gene Names
BOK; BOKL; BCL2L9
Reactivity
Human, Mouse, Rat
Applications
ELISA, Western Blot
Purity
The antiserum was purified by peptide affinity chromatography using SulfoLink Coupling Resin.
Synonyms
BOK, Antibody; BOK Antibody; Bcl 2 related ovarian killer protein; Bcl-2-like protein 9; Bcl-2-related ovarian killer protein; BCL2 related ovarian killer; Bcl2-L-9; BCL2L9; BOK; BOK_HUMAN; BOKL; Hbok; MGC4631; anti-BOK antibody
Host
Rabbit
Reactivity
Human, Mouse, Rat
Clonality
Polyclonal
Isotype
IgG
Specificity
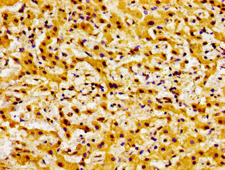
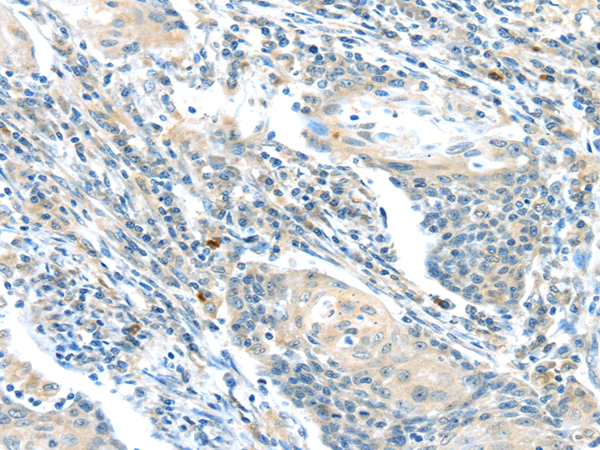
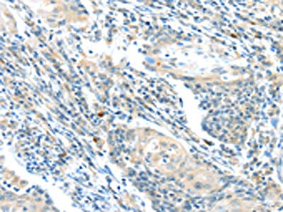
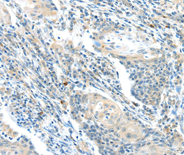
BOK antibody detects endogenous levels of total BOK
Purity/Purification
The antiserum was purified by peptide affinity chromatography using SulfoLink Coupling Resin.
Form/Format
Liquid
Phosphate buffered saline, pH 7.4, 150mM NaCl, 0.02% sodium azide and 50% glycerol.
Phosphate buffered saline, pH 7.4, 150mM NaCl, 0.02% sodium azide and 50% glycerol.
Concentration
1mg/ml (varies by lot)
Sequence Length
212
Applicable Applications for anti-BOK antibody
ELISA, WB (Western Blot)
Immunogen
A synthesized peptide derived from human BOK, corresponding to a region within N-terminal amino acids.
Conjugation
Unconjugated
Important
For western blot, incubate membra ne with diluted primary Ab in 5% w/v milk , 1X TBS, 0.1% Tween®20 at 4°C with gentle shaking, overnight.
Preparation and Storage
Store at -20 degree C. Stable for 12 months from date of receipt.
Related Product Information for anti-BOK antibody
Function: Isoform 1: Apoptosis regulator that functions through different apoptotic signaling pathways (PubMed:27076518, PubMed:15102863, PubMed:20673843). Plays a roles as pro-apoptotic protein that positively regulates intrinsic apoptotic process in a BAX-and BAK1-dependent manner or in a BAX-and BAK1-independent manner (PubMed:27076518, PubMed:15102863). In response to endoplasmic reticulum stress promotes mitochondrial apoptosis through downstream BAX/BAK1 activation and positive regulation of PERK-mediated unfolded protein response (By similarity). Activates apoptosis independently of heterodimerization with survival-promoting BCL2 and BCL2L1 through induction of mitochondrial outer membrane permeabilization, in a BAX-and BAK1-independent manner, in response to inhibition of ERAD-proteasome degradation system, resulting in cytochrome c release (PubMed:27076518). In response to DNA damage, mediates intrinsic apoptotic process in a TP53-dependent manner (PubMed:15102863). Plays a role in granulosa cell apoptosis by CASP3 activation (PubMed:20673843). Plays a roles as anti-apoptotic protein during neuronal apoptotic process, by negatively regulating poly ADP-ribose polymerase-dependent cell death through regulation of neuronal calcium homeostasis and mitochondrial bioenergetics in response to NMDA excitation (By similarity). In addition to its role in apoptosis, may regulate trophoblast cell proliferation during the early stages of placental development, by acting on G1/S transition through regulation of CCNE1 expression (PubMed:19942931). May also play a role as an inducer of autophagy by disrupting interaction between MCL1 and BECN1 (PubMed:24113155).
Subunit Structure: Monomer; positively regulates apoptotic process. Homodimer (By similarity). Heterodimer (By similarity). Oligomer; promoted by apoptotic stimuli and BH3-only proteins; mediates constitutive activation (PubMed:15868100). Interacts (via BH4 domain) with ITPR1; enhances BOK expression and stabilization; limits apoptosis and prevents ubiquitination and then degradation; protects ITPR1 from proteolysis by CASP3 during apoptosis (PubMed:23884412). Interacts with ITPR2 AND ITPR3; binds most strongly to ITPR2, and barely to ITPR3; regulates their expression (By similarity). Interacts with XPO1; translocates to the cytoplasm (PubMed:16302269). Interacts with BNIP3; promotes oligomerization (PubMed:15868100).
Post-translational Modifications: Ubiquitinated by AMFR/gp78 E3 ubiquitin ligase complex; mediates degradation by ubiquitin-proteasome pathway in a VCP/p97-dependent manner; prevents from pro-apoptotic activity; promotes degradation of newly synthesized proteins that are not ITPR1 associated.
Similarity: BH4 domain mediates interaction with ITPR1. Belongs to the Bcl-2 family.
Subunit Structure: Monomer; positively regulates apoptotic process. Homodimer (By similarity). Heterodimer (By similarity). Oligomer; promoted by apoptotic stimuli and BH3-only proteins; mediates constitutive activation (PubMed:15868100). Interacts (via BH4 domain) with ITPR1; enhances BOK expression and stabilization; limits apoptosis and prevents ubiquitination and then degradation; protects ITPR1 from proteolysis by CASP3 during apoptosis (PubMed:23884412). Interacts with ITPR2 AND ITPR3; binds most strongly to ITPR2, and barely to ITPR3; regulates their expression (By similarity). Interacts with XPO1; translocates to the cytoplasm (PubMed:16302269). Interacts with BNIP3; promotes oligomerization (PubMed:15868100).
Post-translational Modifications: Ubiquitinated by AMFR/gp78 E3 ubiquitin ligase complex; mediates degradation by ubiquitin-proteasome pathway in a VCP/p97-dependent manner; prevents from pro-apoptotic activity; promotes degradation of newly synthesized proteins that are not ITPR1 associated.
Similarity: BH4 domain mediates interaction with ITPR1. Belongs to the Bcl-2 family.
NCBI and Uniprot Product Information
NCBI GI #
NCBI GeneID
NCBI Accession #
NCBI GenBank Nucleotide #
UniProt Accession #
Molecular Weight
23 KD
NCBI Official Full Name
bcl-2-related ovarian killer protein
NCBI Official Synonym Full Names
BCL2 family apoptosis regulator BOK
NCBI Official Symbol
BOK
NCBI Official Synonym Symbols
BOKL; BCL2L9
NCBI Protein Information
bcl-2-related ovarian killer protein
UniProt Protein Name
Bcl-2-related ovarian killer protein
UniProt Gene Name
BOK
UniProt Synonym Gene Names
hBOK1 PublicationManual assertion based on opinion iniRef.7; Bcl2-L-9
Customer Reviews
Loading reviews...
Share Your Experience
Similar Products
Product Notes
The BOK bok (Catalog #AAA324503) is an Antibody produced from Rabbit and is intended for research purposes only. The product is available for immediate purchase. The BOK Antibody reacts with Human, Mouse, Rat and may cross-react with other species as described in the data sheet. AAA Biotech's BOK can be used in a range of immunoassay formats including, but not limited to, ELISA, WB (Western Blot). Researchers should empirically determine the suitability of the BOK bok for an application not listed in the data sheet. Researchers commonly develop new applications and it is an integral, important part of the investigative research process. It is sometimes possible for the material contained within the vial of "BOK, Polyclonal Antibody" to become dispersed throughout the inside of the vial, particularly around the seal of said vial, during shipment and storage. We always suggest centrifuging these vials to consolidate all of the liquid away from the lid and to the bottom of the vial prior to opening. Please be advised that certain products may require dry ice for shipping and that, if this is the case, an additional dry ice fee may also be required.Precautions
All products in the AAA Biotech catalog are strictly for research-use only, and are absolutely not suitable for use in any sort of medical, therapeutic, prophylactic, in-vivo, or diagnostic capacity. By purchasing a product from AAA Biotech, you are explicitly certifying that said products will be properly tested and used in line with industry standard. AAA Biotech and its authorized distribution partners reserve the right to refuse to fulfill any order if we have any indication that a purchaser may be intending to use a product outside of our accepted criteria.Disclaimer
Though we do strive to guarantee the information represented in this datasheet, AAA Biotech cannot be held responsible for any oversights or imprecisions. AAA Biotech reserves the right to adjust any aspect of this datasheet at any time and without notice. It is the responsibility of the customer to inform AAA Biotech of any product performance issues observed or experienced within 30 days of receipt of said product. To see additional details on this or any of our other policies, please see our Terms & Conditions page.Item has been added to Shopping Cart
If you are ready to order, navigate to Shopping Cart and get ready to checkout.
