Host
Rabbit
Reactivity
Human
Clonality
Polyclonal
Specificity
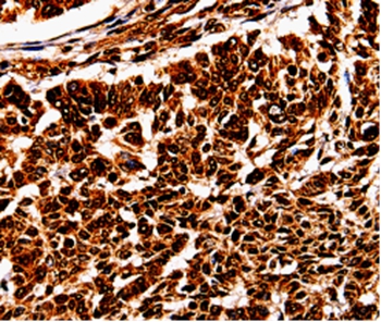
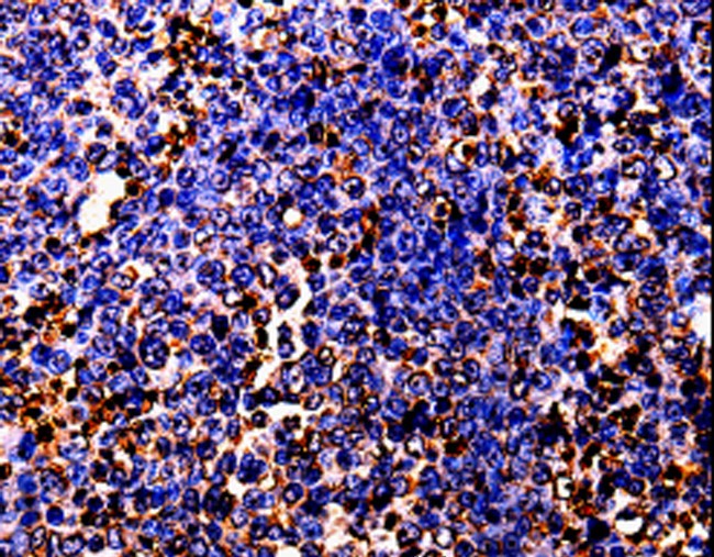
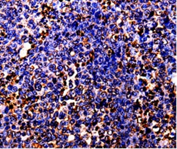
The antibody detects endogenous levels of total BOLL protein.
Purity/Purification
Antigen affinity purification.
Form/Format
Rabbit IgG in pH7.3 PBS, 0.05% NaN3, 50% Glycerol.
Concentration
2.7 mg/ml (varies by lot)
Sequence Length
174
Applicable Applications for anti-BOLL antibody
IHC (Immunohistochemistry)
Immunogen Type
Recombinant Protein
Immunogen Description
Full length fusion protein
Target Name
BOLL
Preparation and Storage
Store at -20 degree C
Related Product Information for anti-BOLL antibody
This gene belongs to the DAZ gene family required for germ cell development. It encodes an RNA-binding protein which is more similar to Drosophila Boule than to human proteins encoded by genes DAZ (deleted in azoospermia) or DAZL (deleted in azoospermia-like). Loss of this gene function results in the absence of sperm in semen (azoospermia). Histological studies demonstrated that the primary defect is at the meiotic G2/M transition. Two alternatively spliced transcript variants encoding distinct isoforms have been found for this gene.
Product Categories/Family for anti-BOLL antibody
NCBI and Uniprot Product Information
NCBI GI #
NCBI GeneID
NCBI Accession #
NCBI GenBank Nucleotide #
Molecular Weight
19,256 Da
NCBI Official Full Name
protein boule-like isoform 3
NCBI Official Synonym Full Names
boule-like RNA-binding protein
NCBI Official Symbol
BOLL
NCBI Official Synonym Symbols
BOULE
NCBI Protein Information
protein boule-like
UniProt Protein Name
Protein boule-like
UniProt Gene Name
BOLL
UniProt Synonym Gene Names
BOULE
UniProt Entry Name
BOLL_HUMAN
Customer Reviews
Loading reviews...
Share Your Experience
Similar Products
Product Notes
The BOLL boll (Catalog #AAA304015) is an Antibody produced from Rabbit and is intended for research purposes only. The product is available for immediate purchase. The BOLL Antibody reacts with Human and may cross-react with other species as described in the data sheet. AAA Biotech's BOLL can be used in a range of immunoassay formats including, but not limited to, IHC (Immunohistochemistry). Researchers should empirically determine the suitability of the BOLL boll for an application not listed in the data sheet. Researchers commonly develop new applications and it is an integral, important part of the investigative research process. It is sometimes possible for the material contained within the vial of "BOLL, Polyclonal Antibody" to become dispersed throughout the inside of the vial, particularly around the seal of said vial, during shipment and storage. We always suggest centrifuging these vials to consolidate all of the liquid away from the lid and to the bottom of the vial prior to opening. Please be advised that certain products may require dry ice for shipping and that, if this is the case, an additional dry ice fee may also be required.Precautions
All products in the AAA Biotech catalog are strictly for research-use only, and are absolutely not suitable for use in any sort of medical, therapeutic, prophylactic, in-vivo, or diagnostic capacity. By purchasing a product from AAA Biotech, you are explicitly certifying that said products will be properly tested and used in line with industry standard. AAA Biotech and its authorized distribution partners reserve the right to refuse to fulfill any order if we have any indication that a purchaser may be intending to use a product outside of our accepted criteria.Disclaimer
Though we do strive to guarantee the information represented in this datasheet, AAA Biotech cannot be held responsible for any oversights or imprecisions. AAA Biotech reserves the right to adjust any aspect of this datasheet at any time and without notice. It is the responsibility of the customer to inform AAA Biotech of any product performance issues observed or experienced within 30 days of receipt of said product. To see additional details on this or any of our other policies, please see our Terms & Conditions page.Item has been added to Shopping Cart
If you are ready to order, navigate to Shopping Cart and get ready to checkout.
