Rabbit anti-Human BPI Polyclonal Antibody | anti-BPI antibody
BPI Polyclonal Antibody
Gene Names
BPI; rBPI; BPIFD1
Reactivity
Human
Applications
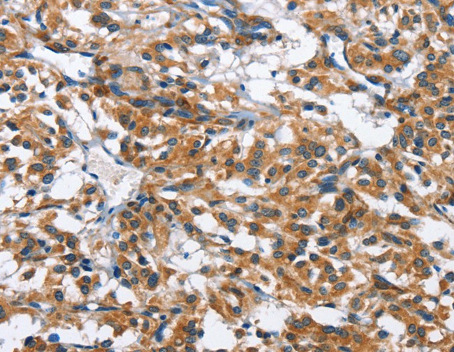
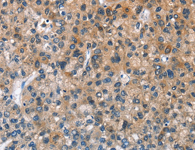
Immunohistochemistry, ELISA
Purity
Affinity purification
Synonyms
BPI, Antibody; BPI Polyclonal Antibody; rBPI; BPIFD1; anti-BPI antibody
Host
Rabbit
Reactivity
Human
Clonality
Polyclonal
Isotype
IgG
Purity/Purification
Affinity purification
Concentration
0.6mg/mL (varies by lot)
Sequence Length
487
Applicable Applications for anti-BPI antibody
IHC (Immunohistochemistry), ELISA
Preparation and Storage
Store at -20 degree C (regular) and -80 degree C (long term). Avoid freeze / thaw cycles.
Related Product Information for anti-BPI antibody
Background/Introduction: This gene encodes a lipopolysaccharide binding protein. It is associated with human neutrophil granules and has bactericidal activity on gram-negative organisms. The cytotoxic action of BPI is limited to many species of Gram-negative bacteria; this specificity may be explained by a strong affinity of the very basic N-terminal half for the negatively charged lipopolysaccharides that are unique to the Gram-negative bacterial outer envelope. Has antibacterial activity against the Gram-nagative bacterium P.aeruginosa, this activity is inhibited by LPS from P.aeruginosa.
Product Categories/Family for anti-BPI antibody
NCBI and Uniprot Product Information
NCBI GI #
NCBI GeneID
NCBI Accession #
NCBI GenBank Nucleotide #
NCBI Official Full Name
bactericidal permeability-increasing protein
NCBI Official Synonym Full Names
bactericidal/permeability-increasing protein
NCBI Official Symbol
BPI
NCBI Official Synonym Symbols
rBPI; BPIFD1
NCBI Protein Information
bactericidal permeability-increasing protein; BPI fold containing family D, member 1; CAP 57; recombinant BPI holoprotein, rBPI
UniProt Protein Name
Bactericidal permeability-increasing protein
UniProt Gene Name
BPI
UniProt Synonym Gene Names
BPI
UniProt Entry Name
BPI_HUMAN
Similar Products
Product Notes
The BPI bpi (Catalog #AAA167258) is an Antibody produced from Rabbit and is intended for research purposes only. The product is available for immediate purchase. The BPI Polyclonal Antibody reacts with Human and may cross-react with other species as described in the data sheet. AAA Biotech's BPI can be used in a range of immunoassay formats including, but not limited to, IHC (Immunohistochemistry), ELISA. Researchers should empirically determine the suitability of the BPI bpi for an application not listed in the data sheet. Researchers commonly develop new applications and it is an integral, important part of the investigative research process. It is sometimes possible for the material contained within the vial of "BPI, Polyclonal Antibody" to become dispersed throughout the inside of the vial, particularly around the seal of said vial, during shipment and storage. We always suggest centrifuging these vials to consolidate all of the liquid away from the lid and to the bottom of the vial prior to opening. Please be advised that certain products may require dry ice for shipping and that, if this is the case, an additional dry ice fee may also be required.Precautions
All products in the AAA Biotech catalog are strictly for research-use only, and are absolutely not suitable for use in any sort of medical, therapeutic, prophylactic, in-vivo, or diagnostic capacity. By purchasing a product from AAA Biotech, you are explicitly certifying that said products will be properly tested and used in line with industry standard. AAA Biotech and its authorized distribution partners reserve the right to refuse to fulfill any order if we have any indication that a purchaser may be intending to use a product outside of our accepted criteria.Disclaimer
Though we do strive to guarantee the information represented in this datasheet, AAA Biotech cannot be held responsible for any oversights or imprecisions. AAA Biotech reserves the right to adjust any aspect of this datasheet at any time and without notice. It is the responsibility of the customer to inform AAA Biotech of any product performance issues observed or experienced within 30 days of receipt of said product. To see additional details on this or any of our other policies, please see our Terms & Conditions page.Item has been added to Shopping Cart
If you are ready to order, navigate to Shopping Cart and get ready to checkout.
