Rabbit BTK Polyclonal Antibody | anti-BTK antibody
Phospho-BTK (Tyr344) Antibody
Predicted: Pig, Bovine, Horse, Sheep, Rabbit, Dog, Chicken, Xenopus
Predicted: Pig, Bovine, Horse, Sheep, Rabbit, Dog, Chicken, Xenopus
WB (Western Blot)
(Western blot analysis of Phospho-BTK (Tyr344) in lysates of HeLa , using Phospho-BTK (Tyr344) Antibody.)
IHC (Immunohistochemistry)
(At 1/100 staining human gastric cancer tissue sections by IHC-P. The tissue was formaldehyde fixed and a heat mediated antigen retrieval step in citrate buffer was performed. The tissue was then blocked and incubated with the antibody for 1.5 hours at 22 degree C. An HRP conjugated goat anti-rabbit antibody was used as the secondary)
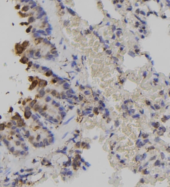
IHC (Immunohistochemisry)
(At 1/100 staining rat lung tissue sections by IHC-P. The tissue was formaldehyde fixed and a heat mediated antigen retrieval step in citrate buffer was performed. The tissue was then blocked and incubated with the antibody for 1.5 hours at 22 degree C. An HRP conjugated goat anti-rabbit antibody was used as the secondary)
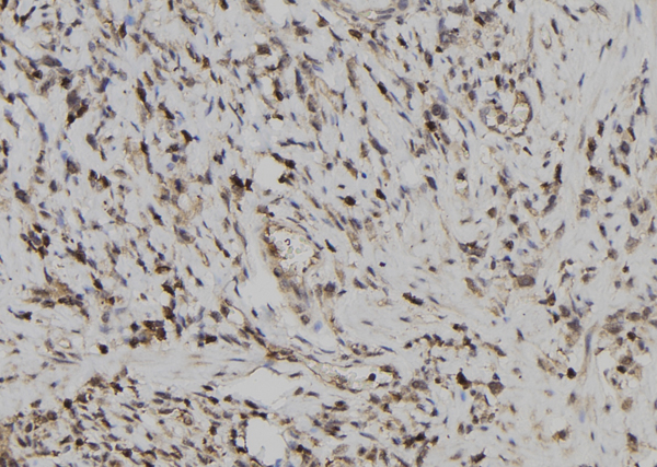
IHC (Immunohiostchemistry)
(At 1/100 staining rat brain tissue sections by IHC-P. The tissue was formaldehyde fixed and a heat mediated antigen retrieval step in citrate buffer was performed. The tissue was then blocked and incubated with the antibody for 1.5 hours at 22 degree C. An HRP conjugated goat anti-rabbit antibody was used as the secondary)
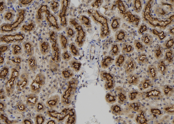
IHC (Immunohistochemistry)
(At 1/100 staining mouse kidney tissue sections by IHC-P. The tissue was formaldehyde fixed and a heat mediated antigen retrieval step in citrate buffer was performed. The tissue was then blocked and incubated with the antibody for 1.5 hours at 22 degree C. An HRP conjugated goat anti-rabbit antibody was used as the secondary)
Post Translational Modifications: Following B-cell receptor (BCR) engagement, translocates to the plasma membrane where it gets phosphorylated at Tyr-551 by LYN and SYK. Phosphorylation at Tyr-551 is followed by autophosphorylation of Tyr-223 which may create a docking site for a SH2 containing protein. Phosphorylation at Ser-180 by PRKCB, leads in translocation of BTK back to the cytoplasmic fraction. Phosphorylation at Ser-21 and Ser-115 creates a binding site for PIN1 at these Ser-Pro motifs, and promotes it's recruitment.
Subunit Structure: Binds GTF2I through the PH domain. Interacts with SH3BP5 via the SH3 domain. Interacts with IBTK via its PH domain. Interacts with ARID3A, CAV1, FASLG, PIN1, TLR8 and TLR9.
Similarity: The PH domain mediates the binding to inositol polyphosphate and phosphoinositides, leading to its targeting to the plasma membrane. It is extended in the BTK kinase family by a region designated the TH (Tec homology) domain, which consists of about 80 residues preceding the SH3 domain. Belongs to the protein kinase superfamily. Tyr protein kinase family. TEC subfamily.
NCBI and Uniprot Product Information
Predicted: 77 kDa
Customer Reviews
Loading reviews...
Share Your Experience
Similar Products
Product Notes
The BTK btk (Catalog #AAA328488) is an Antibody produced from Rabbit and is intended for research purposes only. The product is available for immediate purchase. The Phospho-BTK (Tyr344) Antibody reacts with Human, Mouse, Rat Predicted: Pig, Bovine, Horse, Sheep, Rabbit, Dog, Chicken, Xenopus and may cross-react with other species as described in the data sheet. AAA Biotech's BTK can be used in a range of immunoassay formats including, but not limited to, ELISA (Peptide ELISA), IHC (Immunohistochemistry), WB (Western Blot). Researchers should empirically determine the suitability of the BTK btk for an application not listed in the data sheet. Researchers commonly develop new applications and it is an integral, important part of the investigative research process. It is sometimes possible for the material contained within the vial of "BTK, Polyclonal Antibody" to become dispersed throughout the inside of the vial, particularly around the seal of said vial, during shipment and storage. We always suggest centrifuging these vials to consolidate all of the liquid away from the lid and to the bottom of the vial prior to opening. Please be advised that certain products may require dry ice for shipping and that, if this is the case, an additional dry ice fee may also be required.Precautions
All products in the AAA Biotech catalog are strictly for research-use only, and are absolutely not suitable for use in any sort of medical, therapeutic, prophylactic, in-vivo, or diagnostic capacity. By purchasing a product from AAA Biotech, you are explicitly certifying that said products will be properly tested and used in line with industry standard. AAA Biotech and its authorized distribution partners reserve the right to refuse to fulfill any order if we have any indication that a purchaser may be intending to use a product outside of our accepted criteria.Disclaimer
Though we do strive to guarantee the information represented in this datasheet, AAA Biotech cannot be held responsible for any oversights or imprecisions. AAA Biotech reserves the right to adjust any aspect of this datasheet at any time and without notice. It is the responsibility of the customer to inform AAA Biotech of any product performance issues observed or experienced within 30 days of receipt of said product. To see additional details on this or any of our other policies, please see our Terms & Conditions page.Item has been added to Shopping Cart
If you are ready to order, navigate to Shopping Cart and get ready to checkout.
