Rabbit BVES Polyclonal Antibody | anti-BVES antibody
BVES Antibody
Phosphate buffered saline, pH 7.4, 150mM NaCl, 0.02% sodium azide and 50% glycerol.
WB (Western Blot)
(Western blot analysis of Mouse brain lysate, using BVES Antibody. The lane on the left is treated with the antigen-specific peptide.)
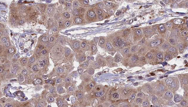
IHC (Immunohistochemistry)
(AAA325829 at 1/100 staining Human liver cancer tissue by IHC-P. The sample was formaldehyde fixed and a heat mediated antigen retrieval step in citrate buffer was performed. The sample was then blocked and incubated with the antibody for 1.5 hours at 22 degree C. An HRP conjugated goat anti-rabbit antibody was used as the secondary.)
Function: Cell adhesion molecule involved in the establishment and/or maintenance of cell integrity. Involved in the formation and regulation of the tight junction (TJ) paracellular permeability barrier in epithelial cells (PubMed:16188940). Plays a role in VAMP3-mediated vesicular transport and recycling of different receptor molecules through its interaction with VAMP3. Plays a role in the regulation of cell shape and movement by modulating the Rho-family GTPase activity through its interaction with ARHGEF25/GEFT. Induces primordial adhesive contact and aggregation of epithelial cells in a Ca2+-independent manner. Also involved in striated muscle regeneration and repair and in the regulation of cell spreading (By similarity). Important for the maintenance of cardiac function. Plays a regulatory function in heart rate dynamics mediated, at least in part, through cAMP-binding and, probably, by increasing cell surface expression of the potassium channel KCNK2 and enhancing current density (PubMed:26642364). Is also a caveolae-associated protein important for the preservation of caveolae structural and functional integrity as well as for heart protection against ischemia injury.
Subunit Structure: Homodimer. Homodimerization requires the C-terminus cytoplasmic region. Interacts (via the C-terminus cytoplasmic tail) with TJP1. Interacts (via the C-terminus cytoplasmic tail) with ARHGEF25/GEFT (via the DH domain). Interacts (via the C-terminus cytoplasmic tail) with VAMP3 (By similarity). Interacts with KCNK2; the interaction enhances KCNK2 surface expression and is inhibited by cAMP (By similarity) (PubMed:26642364). Interacts with CAV3 (By similarity).
Similarity: Belongs to the popeye family.
NCBI and Uniprot Product Information
Predicted: 42 kDa
Customer Reviews
Loading reviews...
Share Your Experience
Similar Products
Product Notes
The BVES bves (Catalog #AAA325829) is an Antibody produced from Rabbit and is intended for research purposes only. The product is available for immediate purchase. The BVES Antibody reacts with Human, Mouse, Rat and may cross-react with other species as described in the data sheet. AAA Biotech's BVES can be used in a range of immunoassay formats including, but not limited to, ELISA, IHC (Immunohistochemistry), WB (Western Blot). Researchers should empirically determine the suitability of the BVES bves for an application not listed in the data sheet. Researchers commonly develop new applications and it is an integral, important part of the investigative research process. It is sometimes possible for the material contained within the vial of "BVES, Polyclonal Antibody" to become dispersed throughout the inside of the vial, particularly around the seal of said vial, during shipment and storage. We always suggest centrifuging these vials to consolidate all of the liquid away from the lid and to the bottom of the vial prior to opening. Please be advised that certain products may require dry ice for shipping and that, if this is the case, an additional dry ice fee may also be required.Precautions
All products in the AAA Biotech catalog are strictly for research-use only, and are absolutely not suitable for use in any sort of medical, therapeutic, prophylactic, in-vivo, or diagnostic capacity. By purchasing a product from AAA Biotech, you are explicitly certifying that said products will be properly tested and used in line with industry standard. AAA Biotech and its authorized distribution partners reserve the right to refuse to fulfill any order if we have any indication that a purchaser may be intending to use a product outside of our accepted criteria.Disclaimer
Though we do strive to guarantee the information represented in this datasheet, AAA Biotech cannot be held responsible for any oversights or imprecisions. AAA Biotech reserves the right to adjust any aspect of this datasheet at any time and without notice. It is the responsibility of the customer to inform AAA Biotech of any product performance issues observed or experienced within 30 days of receipt of said product. To see additional details on this or any of our other policies, please see our Terms & Conditions page.Item has been added to Shopping Cart
If you are ready to order, navigate to Shopping Cart and get ready to checkout.
