Rabbit c-Jun Polyclonal Antibody | anti-JUN antibody
c-Jun Antibody
Phosphate buffered saline, pH 7.4, 150mM NaCl, 0.02% sodium azide and 50% glycerol.
WB (Western Blot)
(Western blot analysis of c-Jun expression in HeLa whole cell lysates, The lane on the left is treated with the antigen-specific peptide.)
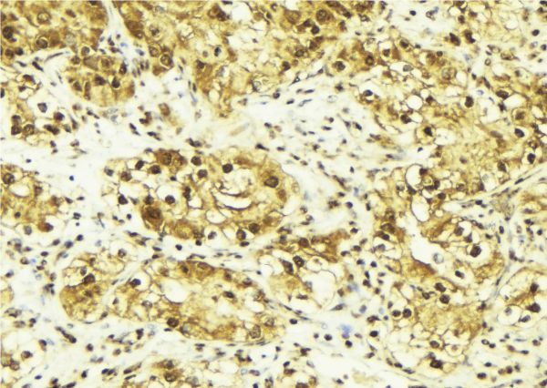
IHC (Immunohiostchemistry)
(AAA322180 at 1/100 staining Human breast cancer tissue by IHC-P. The sample was formaldehyde fixed and a heat mediated antigen retrieval step in citrate buffer was performed. The sample was then blocked and incubated with the antibody for 1.5 hours at 22 degree C. An HRP conjugated goat anti-rabbit antibody was used as the secondary.)
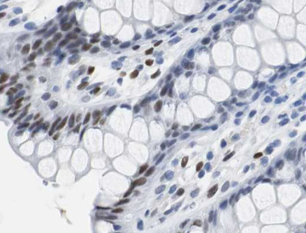
IHC (Immunohistochemistry)
(AAA322180 at 1/100 staining human colon tissues sections by IHC-P. The tissue was formaldehyde fixed and a heat mediated antigen retrieval step in citrate buffer was performed. The tissue was then blocked and incubated with the antibody for 1.5 hours at113 degree)
Function: Transcription factor that recognizes and binds to the enhancer heptamer motif 5'-TGA[CG]TCA-3'. Promotes activity of NR5A1 when phosphorylated by HIPK3 leading to increased steroidogenic gene expression upon cAMP signaling pathway stimulation. Involved in activated KRAS-mediated transcriptional activation of USP28 in colorectal cancer (CRC) cells (PubMed:24623306). Binds to the USP28 promoter in colorectal cancer (CRC) cells (PubMed:24623306).
Subunit Structure: Heterodimer with either FOS or BATF3 or ATF7 (PubMed:10376527, PubMed:12087103, PubMed:15467742). The ATF7/JUN heterodimer is essential for ATF7 transactivation activity (PubMed:10376527). Interacts with DSIPI; the interaction inhibits the binding of active AP1 to its target DNA (By similarity). Interacts with HIVEP3 and MYBBP1A (By similarity). Interacts with SP1, SPIB and TCF20 (PubMed:10196196, PubMed:16478997, PubMed:8663478). Interacts with COPS5; the interaction leads indirectly to its phosphorylation (PubMed:8837781). Component of the SMAD3/SMAD4/JUN/FOS/complex which forms at the AP1 promoter site (PubMed:10995748). The SMAD3/SMAD4 heterodimer acts synergistically with the JUN/FOS heterodimer to activate transcription in response to TGF-beta (PubMed:9732876). Interacts (via its basic DNA binding and leucine zipper domains) with SMAD3 (via an N-terminal domain); the interaction is required for TGF-beta-mediated transactivation of the SMAD3/SMAD4/JUN/FOS/complex (PubMed:10995748). Interacts with methylated RNF187 (PubMed:20852630, PubMed:23624934). Binds to HIPK3. Interacts (when phosphorylated) with FBXW7 (PubMed:14739463). Found in a complex with PRR7 and FBXW7 (PubMed:27458189). Interacts with PRR7 and FBXW7; the interaction inhibits ubiquitination-mediated JUN degradation promoting its phosphorylation and transcriptional activity (PubMed:27458189).
Post-translational Modifications: Ubiquitinated by the SCF(FBXW7), leading to its degradation (PubMed:14739463, PubMed:27458189). Ubiquitination takes place following phosphorylation, that promotes interaction with FBXW7 (PubMed:14739463). Phosphorylated by CaMK4 and PRKDC; phosphorylation enhances the transcriptional activity. Phosphorylated by HIPK3. Phosphorylated by DYRK2 at Ser-243; this primes the protein for subsequent phosphorylation by GSK3B at Thr-239. Phosphorylated at Thr-239, Ser-243 and Ser-249 by GSK3B; phosphorylation reduces its ability to bind DNA. Phosphorylated by PAK2 at Thr-2, Thr-8, Thr-89, Thr-93 and Thr-286 thereby promoting JUN-mediated cell proliferation and transformation. Phosphorylated by PLK3 following hypoxia or UV irradiation, leading to increase DNA-binding activity. Acetylated at Lys-271 by EP300.
Similarity: Belongs to the bZIP family. Jun subfamily.
NCBI and Uniprot Product Information
Predicted: 36 kDa
Customer Reviews
Loading reviews...
Share Your Experience
Similar Products
Product Notes
The JUN jun (Catalog #AAA322180) is an Antibody produced from Rabbit and is intended for research purposes only. The product is available for immediate purchase. The c-Jun Antibody reacts with Human, Mouse, Rat and may cross-react with other species as described in the data sheet. AAA Biotech's c-Jun can be used in a range of immunoassay formats including, but not limited to, ELISA, IP (Immunoprecipitation), IHC (Immunohistochemistry), WB (Western Blot). Researchers should empirically determine the suitability of the JUN jun for an application not listed in the data sheet. Researchers commonly develop new applications and it is an integral, important part of the investigative research process. It is sometimes possible for the material contained within the vial of "c-Jun, Polyclonal Antibody" to become dispersed throughout the inside of the vial, particularly around the seal of said vial, during shipment and storage. We always suggest centrifuging these vials to consolidate all of the liquid away from the lid and to the bottom of the vial prior to opening. Please be advised that certain products may require dry ice for shipping and that, if this is the case, an additional dry ice fee may also be required.Precautions
All products in the AAA Biotech catalog are strictly for research-use only, and are absolutely not suitable for use in any sort of medical, therapeutic, prophylactic, in-vivo, or diagnostic capacity. By purchasing a product from AAA Biotech, you are explicitly certifying that said products will be properly tested and used in line with industry standard. AAA Biotech and its authorized distribution partners reserve the right to refuse to fulfill any order if we have any indication that a purchaser may be intending to use a product outside of our accepted criteria.Disclaimer
Though we do strive to guarantee the information represented in this datasheet, AAA Biotech cannot be held responsible for any oversights or imprecisions. AAA Biotech reserves the right to adjust any aspect of this datasheet at any time and without notice. It is the responsibility of the customer to inform AAA Biotech of any product performance issues observed or experienced within 30 days of receipt of said product. To see additional details on this or any of our other policies, please see our Terms & Conditions page.Item has been added to Shopping Cart
If you are ready to order, navigate to Shopping Cart and get ready to checkout.
