Rabbit C14orf169 Polyclonal Antibody | anti-C14orf169 antibody
C14orf169 Antibody
Gene Names
RIOX1; ROX; NO66; JMJD9; MAPJD; URLC2; hsNO66; C14orf169
Reactivity
Human, Mouse, Rat
Applications
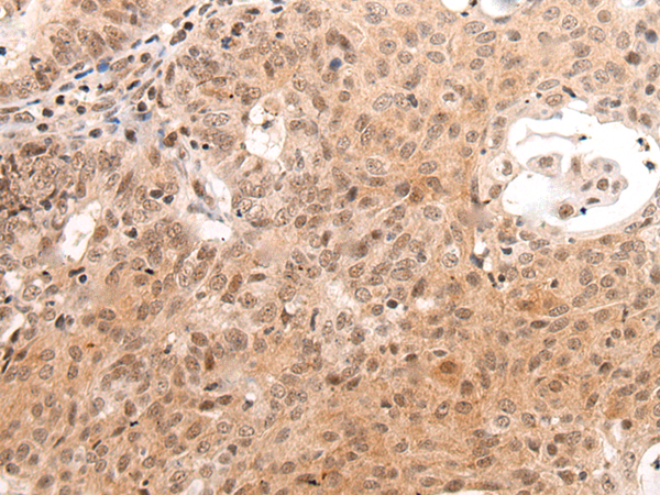
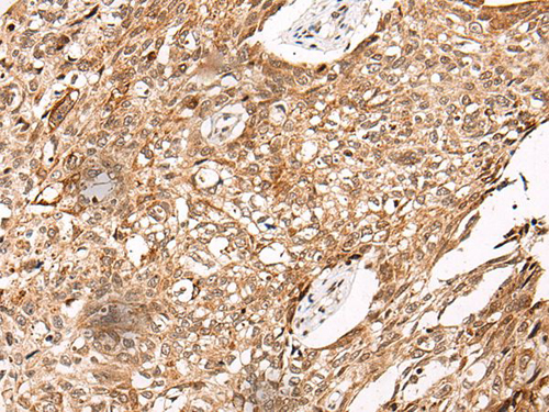
Immunohistochemistry
Purity
Antigen affinity purification
Synonyms
C14orf169, Antibody; C14orf169 Antibody; ROX; NO66; MAPJD; URLC2; hsNO66; anti-C14orf169 antibody
Host
Rabbit
Reactivity
Human, Mouse, Rat
Clonality
Polyclonal
Specificity
The antibody detects endogenous levels of total C14orf169 protein.
Purity/Purification
Antigen affinity purification
Form/Format
Rabbit IgG in pH7.4 PBS, 0.05% NaN3, 40% Glycerol.
Concentration
1.1mg/ml (varies by lot)
Sequence Length
641
Applicable Applications for anti-C14orf169 antibody
IHC (Immunohistochemistry)
Immunogen
Synthetic peptide of human C14orf169
Immunogen Type
Peptide
Preparation and Storage
Store at -20 degree C
Related Product Information for anti-C14orf169 antibody
Oxygenase that can act as both a histone lysine demethylase and a ribosomal histidine hydroxylase. Specifically demethylates 'Lys-4' (H3K4me) and 'Lys-36' (H3K36me) of histone H3, thereby playing a central role in histone code. Preferentially demethylates trimethylated H3 'Lys-4' (H3K4me3) and monomethylated H3 'Lys-4' (H3K4me1) residues, while it has weaker activity for dimethylated H3 'Lys-36' (H3K36me2). Also catalyzes the hydroxylation of 60S ribosomal protein L8 on 'His-216'. Acts as a regulator of osteoblast differentiation via its interaction with SP7/OSX by demethylating H3K4me and H3K36me, thereby inhibiting SP7/OSX-mediated promoter activation (By similarity). May also play a role in ribosome biogenesis and in the replication or remodeling of certain heterochromatic region. Participates in MYC-induced transcriptional activation.
Product Categories/Family for anti-C14orf169 antibody
NCBI and Uniprot Product Information
NCBI GI #
NCBI GeneID
NCBI Accession #
NCBI GenBank Nucleotide #
Molecular Weight
48,687 Da
NCBI Official Full Name
bifunctional lysine-specific demethylase and histidyl-hydroxylase NO66
NCBI Official Synonym Full Names
ribosomal oxygenase 1
NCBI Official Symbol
RIOX1
NCBI Official Synonym Symbols
ROX; NO66; JMJD9; MAPJD; URLC2; hsNO66; C14orf169
NCBI Protein Information
bifunctional lysine-specific demethylase and histidyl-hydroxylase NO66
UniProt Protein Name
Bifunctional lysine-specific demethylase and histidyl-hydroxylase NO66
UniProt Gene Name
NO66
UniProt Synonym Gene Names
C14orf169; MAPJD; hsNO66; ROX
UniProt Entry Name
NO66_HUMAN
Customer Reviews
Loading reviews...
Share Your Experience
Similar Products
Product Notes
The C14orf169 no66 (Catalog #AAA309361) is an Antibody produced from Rabbit and is intended for research purposes only. The product is available for immediate purchase. The C14orf169 Antibody reacts with Human, Mouse, Rat and may cross-react with other species as described in the data sheet. AAA Biotech's C14orf169 can be used in a range of immunoassay formats including, but not limited to, IHC (Immunohistochemistry). Researchers should empirically determine the suitability of the C14orf169 no66 for an application not listed in the data sheet. Researchers commonly develop new applications and it is an integral, important part of the investigative research process. It is sometimes possible for the material contained within the vial of "C14orf169, Polyclonal Antibody" to become dispersed throughout the inside of the vial, particularly around the seal of said vial, during shipment and storage. We always suggest centrifuging these vials to consolidate all of the liquid away from the lid and to the bottom of the vial prior to opening. Please be advised that certain products may require dry ice for shipping and that, if this is the case, an additional dry ice fee may also be required.Precautions
All products in the AAA Biotech catalog are strictly for research-use only, and are absolutely not suitable for use in any sort of medical, therapeutic, prophylactic, in-vivo, or diagnostic capacity. By purchasing a product from AAA Biotech, you are explicitly certifying that said products will be properly tested and used in line with industry standard. AAA Biotech and its authorized distribution partners reserve the right to refuse to fulfill any order if we have any indication that a purchaser may be intending to use a product outside of our accepted criteria.Disclaimer
Though we do strive to guarantee the information represented in this datasheet, AAA Biotech cannot be held responsible for any oversights or imprecisions. AAA Biotech reserves the right to adjust any aspect of this datasheet at any time and without notice. It is the responsibility of the customer to inform AAA Biotech of any product performance issues observed or experienced within 30 days of receipt of said product. To see additional details on this or any of our other policies, please see our Terms & Conditions page.Item has been added to Shopping Cart
If you are ready to order, navigate to Shopping Cart and get ready to checkout.
