Host
Rabbit
Clonality
Polyclonal
Isotype
IgG
Form/Format
Concentrate or Prediluted
Applicable Applications for anti-C3c antibody
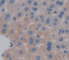
IHC (Immunohistochemistry)
Immunogen
Purified C3c protein isolated fromnormal human serum.
Localization
Cytoplasmic, Membranous
Control
Placenta, Kidney, Fallopian Tube, Lupus Erythematosus
Preparation and Storage
Store at 2-8 degree C in the dark.
Related Product Information for anti-C3c antibody
Complement component 3, often simply called C3, is a protein of the immune system. It plays a central role in the complement system and contributes to innate immunity.
C3 glomerulopathy was recently coined to describe renal biopsy appearances characterized by the presence of glomerular deposits composed predominantly of C3 in the absence of significant amounts of Ig. The presence of C3 in the absence of Ig suggests activation of complement by antibody-independent pathways, typically the alternative pathway, and many patients with this type of renal lesion have evidence of genetic or acquired alternative pathway dysregulation. C3 glomerulopathy has been further divided into dense deposit disease (DDD) and C3 glomerulonephritis (C3GN) based on electron microscopy (EM) appearances. The underlying genetic defect has been identified in some hereditary forms of C3GN such as CFHR5 nephropathy. Lupus nephritis is an inflammation of the kidneys caused by Systemic Lupus Erythematosus. Immunofluorescence reveals positively for IgG, IgA, IgM, C3, and C1q.
C3 glomerulopathy was recently coined to describe renal biopsy appearances characterized by the presence of glomerular deposits composed predominantly of C3 in the absence of significant amounts of Ig. The presence of C3 in the absence of Ig suggests activation of complement by antibody-independent pathways, typically the alternative pathway, and many patients with this type of renal lesion have evidence of genetic or acquired alternative pathway dysregulation. C3 glomerulopathy has been further divided into dense deposit disease (DDD) and C3 glomerulonephritis (C3GN) based on electron microscopy (EM) appearances. The underlying genetic defect has been identified in some hereditary forms of C3GN such as CFHR5 nephropathy. Lupus nephritis is an inflammation of the kidneys caused by Systemic Lupus Erythematosus. Immunofluorescence reveals positively for IgG, IgA, IgM, C3, and C1q.
Product Categories/Family for anti-C3c antibody
Customer Reviews
Loading reviews...
Share Your Experience
Similar Products
Product Notes
The C3c (Catalog #AAA59322) is an Antibody produced from Rabbit and is intended for research purposes only. The product is available for immediate purchase. AAA Biotech's C3c can be used in a range of immunoassay formats including, but not limited to, IHC (Immunohistochemistry). Researchers should empirically determine the suitability of the C3c for an application not listed in the data sheet. Researchers commonly develop new applications and it is an integral, important part of the investigative research process. It is sometimes possible for the material contained within the vial of "C3c, Polyclonal Antibody" to become dispersed throughout the inside of the vial, particularly around the seal of said vial, during shipment and storage. We always suggest centrifuging these vials to consolidate all of the liquid away from the lid and to the bottom of the vial prior to opening. Please be advised that certain products may require dry ice for shipping and that, if this is the case, an additional dry ice fee may also be required.Precautions
All products in the AAA Biotech catalog are strictly for research-use only, and are absolutely not suitable for use in any sort of medical, therapeutic, prophylactic, in-vivo, or diagnostic capacity. By purchasing a product from AAA Biotech, you are explicitly certifying that said products will be properly tested and used in line with industry standard. AAA Biotech and its authorized distribution partners reserve the right to refuse to fulfill any order if we have any indication that a purchaser may be intending to use a product outside of our accepted criteria.Disclaimer
Though we do strive to guarantee the information represented in this datasheet, AAA Biotech cannot be held responsible for any oversights or imprecisions. AAA Biotech reserves the right to adjust any aspect of this datasheet at any time and without notice. It is the responsibility of the customer to inform AAA Biotech of any product performance issues observed or experienced within 30 days of receipt of said product. To see additional details on this or any of our other policies, please see our Terms & Conditions page.Item has been added to Shopping Cart
If you are ready to order, navigate to Shopping Cart and get ready to checkout.
