Rabbit CA9 Polyclonal Antibody | anti-CA9 antibody
CA9 Polyclonal Antibody
Gene Names
CA9; MN; CAIX
Reactivity
Human, Mouse, Rat
Applications
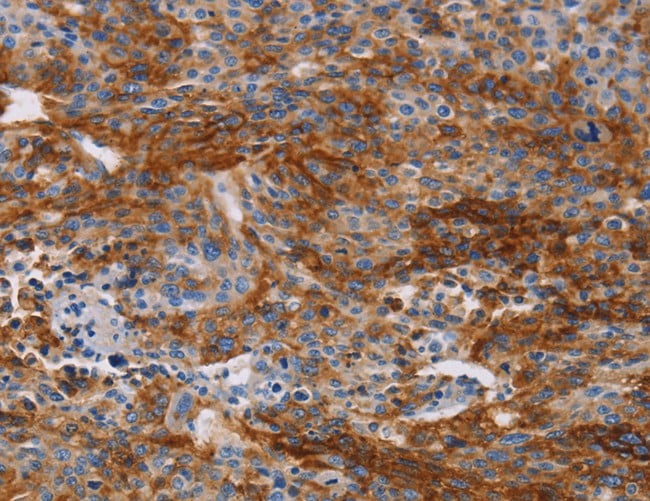
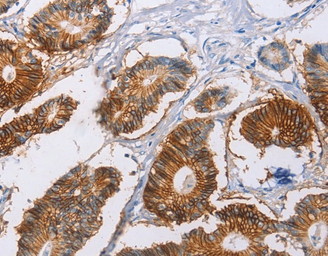
Immunohistochemistry, ELISA
Purity
Antigen affinity purification
Synonyms
CA9, Antibody; CA9 Polyclonal Antibody; MN; CAIX; anti-CA9 antibody
Host
Rabbit
Reactivity
Human, Mouse, Rat
Clonality
Polyclonal
Isotype
IgG
Purity/Purification
Antigen affinity purification
Concentration
1.8mg/mL (varies by lot)
Sequence Length
459
Applicable Applications for anti-CA9 antibody
IHC (Immunohistochemistry), ELISA
Immunogen
Recombinant protein of human CA9
Buffer
PBS with 0.05% sodium azide, 50% glycerol, pH7.3
Preparation and Storage
Store at -20 degree C (regular) and -80 degree C (long term). Avoid freeze / thaw cycles.
Related Product Information for anti-CA9 antibody
Carbonic anhydrases (CAs) are a large family of zinc metalloenzymes that catalyze the reversible hydration of carbon dioxide. They participate in a variety of biological processes, including respiration, calcification, acid-base balance, bone resorption, and the formation of aqueous humor, cerebrospinal fluid, saliva, and gastric acid. They show extensive diversity in tissue distribution and in their subcellular localization. CA IX is a transmembrane protein and the only tumor-associated carbonic anhydrase isoenzyme known. It is expressed in all clear-cell renal cell carcinoma, but is not detected in normal kidney or most other normal tissues. It may be involved in cell proliferation and transformation.
Product Categories/Family for anti-CA9 antibody
NCBI and Uniprot Product Information
NCBI GI #
NCBI GeneID
NCBI Accession #
NCBI GenBank Nucleotide #
Molecular Weight
49,698 Da
NCBI Official Full Name
carbonic anhydrase 9
NCBI Official Synonym Full Names
carbonic anhydrase IX
NCBI Official Symbol
CA9
NCBI Official Synonym Symbols
MN; CAIX
NCBI Protein Information
carbonic anhydrase 9; CA-IX; P54/58N; RCC-associated antigen G250; RCC-associated protein G250; carbonate dehydratase IX; carbonic dehydratase; membrane antigen MN; pMW1; renal cell carcinoma-associated antigen G250
UniProt Protein Name
Carbonic anhydrase 9
UniProt Gene Name
CA9
UniProt Synonym Gene Names
G250; MN; CA-IX; CAIX; RCC-associated antigen G250
UniProt Entry Name
CAH9_HUMAN
Similar Products
Product Notes
The CA9 ca9 (Catalog #AAA170179) is an Antibody produced from Rabbit and is intended for research purposes only. The product is available for immediate purchase. The CA9 Polyclonal Antibody reacts with Human, Mouse, Rat and may cross-react with other species as described in the data sheet. AAA Biotech's CA9 can be used in a range of immunoassay formats including, but not limited to, IHC (Immunohistochemistry), ELISA. Researchers should empirically determine the suitability of the CA9 ca9 for an application not listed in the data sheet. Researchers commonly develop new applications and it is an integral, important part of the investigative research process. It is sometimes possible for the material contained within the vial of "CA9, Polyclonal Antibody" to become dispersed throughout the inside of the vial, particularly around the seal of said vial, during shipment and storage. We always suggest centrifuging these vials to consolidate all of the liquid away from the lid and to the bottom of the vial prior to opening. Please be advised that certain products may require dry ice for shipping and that, if this is the case, an additional dry ice fee may also be required.Precautions
All products in the AAA Biotech catalog are strictly for research-use only, and are absolutely not suitable for use in any sort of medical, therapeutic, prophylactic, in-vivo, or diagnostic capacity. By purchasing a product from AAA Biotech, you are explicitly certifying that said products will be properly tested and used in line with industry standard. AAA Biotech and its authorized distribution partners reserve the right to refuse to fulfill any order if we have any indication that a purchaser may be intending to use a product outside of our accepted criteria.Disclaimer
Though we do strive to guarantee the information represented in this datasheet, AAA Biotech cannot be held responsible for any oversights or imprecisions. AAA Biotech reserves the right to adjust any aspect of this datasheet at any time and without notice. It is the responsibility of the customer to inform AAA Biotech of any product performance issues observed or experienced within 30 days of receipt of said product. To see additional details on this or any of our other policies, please see our Terms & Conditions page.Item has been added to Shopping Cart
If you are ready to order, navigate to Shopping Cart and get ready to checkout.
