Rabbit anti-Mouse Cadherin EGF LAG Seven Pass G-Type Receptor 2 Polyclonal Antibody | anti-CELSR2 antibody
Polyclonal Antibody to Cadherin EGF LAG Seven Pass G-Type Receptor 2 (CELSR2)
Gene Names
Celsr2; EGFL2; mfmi1; Adgrc2; flamingo; Flamingo1; mKIAA0279
Reactivity
Mouse
Applications
ELISA, Immunohistochemistry, Immunocytochemistry, Western Blot
Purity
Affinity Chromatography
Synonyms
Cadherin EGF LAG Seven Pass G-Type Receptor 2, Antibody; Polyclonal Antibody to Cadherin EGF LAG Seven Pass G-Type Receptor 2 (CELSR2); anti-CELSR2 antibody
Host
Rabbit
Reactivity
Mouse
Clonality
Polyclonal
Specificity
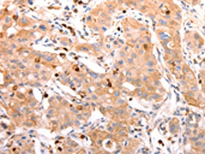
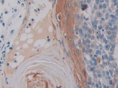
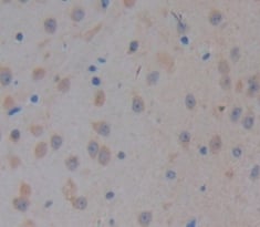
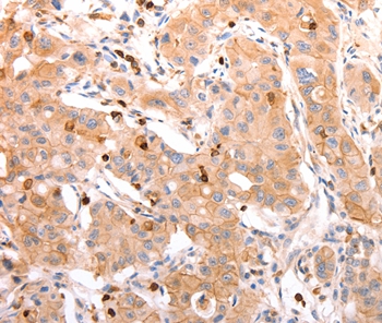
The antibody is a rabbit polyclonal antibody raised against CELSR2. It has beenselected for its ability to recognize CELSR2 in immunohistochemical staining andwestern blotting.
Purity/Purification
Affinity Chromatography
Form/Format
Liquid
Concentration
500ug/mL (varies by lot)
Sequence Length
2917
Applicable Applications for anti-CELSR2 antibody
ELISA, IHC (Immunohistochemistry), ICC (Immunocytochemistry), WB (Western Blot)
Fragment
CELSR2 (Leu2589~Ser2849)
Organism Species
Mus musculus (Mouse)
Cross Reactivity
Mouse
Conjugate
No Conjugate
Immunogen
Recombinant CELSR2 (Leu2589~Ser2849) expressed in E Coli.
Conjugated Antibody
The APC conjugated antibody version of this item is also available as
Preparation and Storage
Store at 4 degree C for frequent use. Stored at -20 degree C to -80 degree C in a manual defrost freezer for one year without detectable loss of activity. Avoid repeated freeze-thaw cycles.
NCBI and Uniprot Product Information
NCBI GI #
NCBI GeneID
Molecular Weight
316,527 Da
NCBI Official Full Name
Cadherin EGF LAG seven-pass G-type receptor 2
NCBI Official Synonym Full Names
cadherin, EGF LAG seven-pass G-type receptor 2
NCBI Official Symbol
Celsr2
NCBI Official Synonym Symbols
EGFL2; mfmi1; Adgrc2; flamingo; Flamingo1; mKIAA0279
NCBI Protein Information
cadherin EGF LAG seven-pass G-type receptor 2
UniProt Protein Name
Cadherin EGF LAG seven-pass G-type receptor 2
UniProt Gene Name
Celsr2
Customer Reviews
Loading reviews...
Share Your Experience
Similar Products
Product Notes
The CELSR2 celsr2 (Catalog #AAA142865) is an Antibody produced from Rabbit and is intended for research purposes only. The product is available for immediate purchase. The Polyclonal Antibody to Cadherin EGF LAG Seven Pass G-Type Receptor 2 (CELSR2) reacts with Mouse and may cross-react with other species as described in the data sheet. AAA Biotech's Cadherin EGF LAG Seven Pass G-Type Receptor 2 can be used in a range of immunoassay formats including, but not limited to, ELISA, IHC (Immunohistochemistry), ICC (Immunocytochemistry), WB (Western Blot). Researchers should empirically determine the suitability of the CELSR2 celsr2 for an application not listed in the data sheet. Researchers commonly develop new applications and it is an integral, important part of the investigative research process. It is sometimes possible for the material contained within the vial of "Cadherin EGF LAG Seven Pass G-Type Receptor 2, Polyclonal Antibody" to become dispersed throughout the inside of the vial, particularly around the seal of said vial, during shipment and storage. We always suggest centrifuging these vials to consolidate all of the liquid away from the lid and to the bottom of the vial prior to opening. Please be advised that certain products may require dry ice for shipping and that, if this is the case, an additional dry ice fee may also be required.Precautions
All products in the AAA Biotech catalog are strictly for research-use only, and are absolutely not suitable for use in any sort of medical, therapeutic, prophylactic, in-vivo, or diagnostic capacity. By purchasing a product from AAA Biotech, you are explicitly certifying that said products will be properly tested and used in line with industry standard. AAA Biotech and its authorized distribution partners reserve the right to refuse to fulfill any order if we have any indication that a purchaser may be intending to use a product outside of our accepted criteria.Disclaimer
Though we do strive to guarantee the information represented in this datasheet, AAA Biotech cannot be held responsible for any oversights or imprecisions. AAA Biotech reserves the right to adjust any aspect of this datasheet at any time and without notice. It is the responsibility of the customer to inform AAA Biotech of any product performance issues observed or experienced within 30 days of receipt of said product. To see additional details on this or any of our other policies, please see our Terms & Conditions page.Item has been added to Shopping Cart
If you are ready to order, navigate to Shopping Cart and get ready to checkout.
