Rabbit anti-Human CADPS Polyclonal Antibody | anti-CADPS antibody
CADPS Rabbit pAb
Gene Names
METTL1; TRM8; TRMT8; C12orf1; YDL201w
Reactivity
Human
Applications
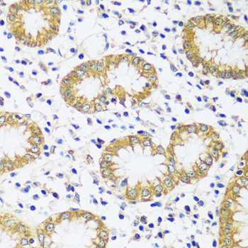
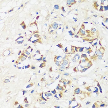
Immunohistochemistry
Purity
Affinity purification
Synonyms
CADPS, Antibody; CADPS Rabbit pAb; CADPS; CADPS1; CAPS; CAPS1; UNC-31; anti-CADPS antibody
Host
Rabbit
Reactivity
Human
Clonality
Polyclonal
Isotype
IgG
Purity/Purification
Affinity purification
Form/Format
PBS with 0.01% thiomersal, 50% glycerol, pH7.3.
Sequence
MAAETRNVAGAEAPPPQKRYYRQRAHSNPMADHTLRYPVKPEEMDWSELYPEFFAPLTQNQSHDDPKDKKEKRAQAQVEFADIGCGYGGLLVELSPLFPDTLILGLEIRVKVSDYVQDRIRALRAAPAGGFQNIACLRSNAMKHLPNFFYKGQLTKMFFLFPDPHFKRTKHKWRIISPTLLAEYAYVLRVGGLVYTITDVLELHDWMCTHFEEHPLFERVPLEDLSEDPVVGHLGTSTEEGKKVLRNGGKNFPAIFRRIQDPVLQAVTSQTSLPGH
Applicable Applications for anti-CADPS antibody
IHC (Immunohistochemistry)
Immunogen
Recombinant fusion protein containing a sequence corresponding to amino acids 1020-1100 of human CADPS (NP_899630.1).
Preparation and Storage
Store at -20 degree C. Avoid freeze/thaw cycles.
Related Product Information for anti-CADPS antibody
This gene encodes a novel neural/endocrine-specific cytosolic and peripheral membrane protein required for the Ca2+-regulated exocytosis of secretory vesicles. The protein acts at a stage in exocytosis that follows ATP-dependent priming, which involves the essential synthesis of phosphatidylinositol 4, 5-bisphosphate (PtdIns(4, 5)P2). Alternative splicing has been observed at this locus and three variants, encoding distinct isoforms, are described.
Product Categories/Family for anti-CADPS antibody
NCBI and Uniprot Product Information
NCBI GI #
NCBI GeneID
NCBI Accession #
NCBI GenBank Nucleotide #
Molecular Weight
17,423 Da
NCBI Official Full Name
tRNA (guanine-N(7)-)-methyltransferase isoform a
NCBI Official Synonym Full Names
methyltransferase like 1
NCBI Official Symbol
METTL1
NCBI Official Synonym Symbols
TRM8; TRMT8; C12orf1; YDL201w
NCBI Protein Information
tRNA (guanine-N(7)-)-methyltransferase; tRNA (guanine-N(7)-)-methyltransferase; D1075-like gene product; METTL1; methyltransferase-like 1; methyltransferase-like protein 1; tRNA (guanine(46)-N(7))-methyltransferase; tRNA(m7G46)-methyltransferase
UniProt Protein Name
tRNA (guanine-N(7)-)-methyltransferase
UniProt Gene Name
METTL1
UniProt Entry Name
TRMB_HUMAN
Customer Reviews
Loading reviews...
Share Your Experience
Similar Products
Product Notes
The CADPS mettl1 (Catalog #AAA282309) is an Antibody produced from Rabbit and is intended for research purposes only. The product is available for immediate purchase. The CADPS Rabbit pAb reacts with Human and may cross-react with other species as described in the data sheet. AAA Biotech's CADPS can be used in a range of immunoassay formats including, but not limited to, IHC (Immunohistochemistry). Researchers should empirically determine the suitability of the CADPS mettl1 for an application not listed in the data sheet. Researchers commonly develop new applications and it is an integral, important part of the investigative research process. The amino acid sequence is listed below: MAAETRNVAG AEAPPPQKRY YRQRAHSNPM ADHTLRYPVK PEEMDWSELY PEFFAPLTQN QSHDDPKDKK EKRAQAQVEF ADIGCGYGGL LVELSPLFPD TLILGLEIRV KVSDYVQDRI RALRAAPAGG FQNIACLRSN AMKHLPNFFY KGQLTKMFFL FPDPHFKRTK HKWRIISPTL LAEYAYVLRV GGLVYTITDV LELHDWMCTH FEEHPLFERV PLEDLSEDPV VGHLGTSTEE GKKVLRNGGK NFPAIFRRIQ DPVLQAVTSQ TSLPGH. It is sometimes possible for the material contained within the vial of "CADPS, Polyclonal Antibody" to become dispersed throughout the inside of the vial, particularly around the seal of said vial, during shipment and storage. We always suggest centrifuging these vials to consolidate all of the liquid away from the lid and to the bottom of the vial prior to opening. Please be advised that certain products may require dry ice for shipping and that, if this is the case, an additional dry ice fee may also be required.Precautions
All products in the AAA Biotech catalog are strictly for research-use only, and are absolutely not suitable for use in any sort of medical, therapeutic, prophylactic, in-vivo, or diagnostic capacity. By purchasing a product from AAA Biotech, you are explicitly certifying that said products will be properly tested and used in line with industry standard. AAA Biotech and its authorized distribution partners reserve the right to refuse to fulfill any order if we have any indication that a purchaser may be intending to use a product outside of our accepted criteria.Disclaimer
Though we do strive to guarantee the information represented in this datasheet, AAA Biotech cannot be held responsible for any oversights or imprecisions. AAA Biotech reserves the right to adjust any aspect of this datasheet at any time and without notice. It is the responsibility of the customer to inform AAA Biotech of any product performance issues observed or experienced within 30 days of receipt of said product. To see additional details on this or any of our other policies, please see our Terms & Conditions page.Item has been added to Shopping Cart
If you are ready to order, navigate to Shopping Cart and get ready to checkout.
