Rabbit CAMK2A Polyclonal Antibody | anti-CAMK2A antibody
CAMK2A Rabbit Polyclonal Antibody
Gene Names
CAMK2A; CAMKA
Reactivity
Human, Mouse, Rat
Applications
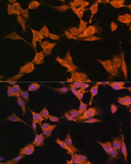
Immunofluorescence, Western Blot
Purity
Affinity purification
Synonyms
CAMK2A, Antibody; CAMK2A Rabbit Polyclonal Antibody; CAMK2A; CAMKA; anti-CAMK2A antibody
Host
Rabbit
Reactivity
Human, Mouse, Rat
Clonality
Polyclonal
Isotype
IgG
Purity/Purification
Affinity purification
Form/Format
Buffer: PBS with 0.02% sodium azide, 50% glycerol, pH7.3.
Applicable Applications for anti-CAMK2A antibody
IF (Immunofluorescence), WB (Western Blot)
Immunogen
A synthetic peptide of human CAMK2A
Preparation and Storage
Store at -20 degree C. Avoid freeze/thaw cycles.
Related Product Information for anti-CAMK2A antibody
The product of this gene belongs to the serine/threonine protein kinases family, and to the Ca(2+)/calmodulin-dependent protein kinases subfamily. Calcium signaling is crucial for several aspects of plasticity at glutamatergic synapses. This calcium calmodulin-dependent protein kinase is composed of four different chains: alpha, beta, gamma, and delta. The alpha chain encoded by this gene is required for hippocampal long-term potentiation (LTP) and spatial learning. In addition to its calcium-calmodulin (CaM)-dependent activity, this protein can undergo autophosphorylation, resulting in CaM-independent activity. Two transcript variants encoding distinct isoforms have been identified for this gene.
Product Categories/Family for anti-CAMK2A antibody
NCBI and Uniprot Product Information
NCBI GI #
NCBI GeneID
NCBI Accession #
NCBI GenBank Nucleotide #
Molecular Weight
54,088 Da
NCBI Official Full Name
calcium/calmodulin-dependent protein kinase type II subunit alpha isoform 2
NCBI Official Synonym Full Names
calcium/calmodulin-dependent protein kinase II alpha
NCBI Official Symbol
CAMK2A
NCBI Official Synonym Symbols
CAMKA
NCBI Protein Information
calcium/calmodulin-dependent protein kinase type II subunit alpha; CaMKIINalpha; CaMK-II alpha subunit; caMK-II subunit alpha; CaM-kinase II alpha chain; CaM kinase II alpha subunit; caM kinase II subunit alpha; calcium/calmodulin-dependent protein kinase
UniProt Protein Name
Calcium/calmodulin-dependent protein kinase type II subunit alpha
UniProt Gene Name
CAMK2A
UniProt Synonym Gene Names
CAMKA; KIAA0968; CaM kinase II subunit alpha
UniProt Entry Name
KCC2A_HUMAN
Customer Reviews
Loading reviews...
Share Your Experience
Similar Products
Product Notes
The CAMK2A camk2a (Catalog #AAA314659) is an Antibody produced from Rabbit and is intended for research purposes only. The product is available for immediate purchase. The CAMK2A Rabbit Polyclonal Antibody reacts with Human, Mouse, Rat and may cross-react with other species as described in the data sheet. AAA Biotech's CAMK2A can be used in a range of immunoassay formats including, but not limited to, IF (Immunofluorescence), WB (Western Blot). Researchers should empirically determine the suitability of the CAMK2A camk2a for an application not listed in the data sheet. Researchers commonly develop new applications and it is an integral, important part of the investigative research process. It is sometimes possible for the material contained within the vial of "CAMK2A, Polyclonal Antibody" to become dispersed throughout the inside of the vial, particularly around the seal of said vial, during shipment and storage. We always suggest centrifuging these vials to consolidate all of the liquid away from the lid and to the bottom of the vial prior to opening. Please be advised that certain products may require dry ice for shipping and that, if this is the case, an additional dry ice fee may also be required.Precautions
All products in the AAA Biotech catalog are strictly for research-use only, and are absolutely not suitable for use in any sort of medical, therapeutic, prophylactic, in-vivo, or diagnostic capacity. By purchasing a product from AAA Biotech, you are explicitly certifying that said products will be properly tested and used in line with industry standard. AAA Biotech and its authorized distribution partners reserve the right to refuse to fulfill any order if we have any indication that a purchaser may be intending to use a product outside of our accepted criteria.Disclaimer
Though we do strive to guarantee the information represented in this datasheet, AAA Biotech cannot be held responsible for any oversights or imprecisions. AAA Biotech reserves the right to adjust any aspect of this datasheet at any time and without notice. It is the responsibility of the customer to inform AAA Biotech of any product performance issues observed or experienced within 30 days of receipt of said product. To see additional details on this or any of our other policies, please see our Terms & Conditions page.Item has been added to Shopping Cart
If you are ready to order, navigate to Shopping Cart and get ready to checkout.
