Rabbit anti-Human CAMSAP2 Polyclonal Antibody | anti-CAMSAP2 antibody
CAMSAP2 Antibody
Gene Names
CAMSAP2; CAMSAP1L1
Reactivity
Human
Applications
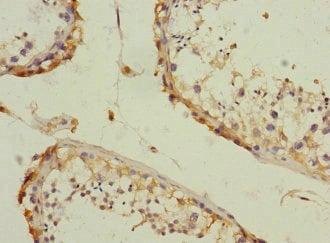
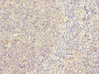
Immunohistochemistry, ELISA
Purity
Antigen Affinity Purified
Synonyms
CAMSAP2, Antibody; CAMSAP2 Antibody; Calmodulin-regulated spectrin-associated protein 2; Calmodulin-regulated spectrin-associated protein 1-like protein 1; CAMSAP2; CAMSAP1L1; KIAA1078; anti-CAMSAP2 antibody
Host
Rabbit
Reactivity
Human
Clonality
Polyclonal
Isotype
IgG
Purity/Purification
Antigen Affinity Purified
Form/Format
Liquid
Applicable Applications for anti-CAMSAP2 antibody
IHC (Immunohistochemistry), ELISA
Species
Human
Conjugate
Non-conjugated
Research Area
Signal Transduction
Storage Buffer
PBS with 0.02% sodium azide, 50% glycerol, pH7.3.
Immunogen
Recombinant human Calmodulin-regulated spectrin-associated protein 2 protein (N-150AA)
Santa Cruz Alternative
Potential replacement for Santa Cruz Biotechnology antibody catalog# sc-242307 / sc-242306
Preparation and Storage
Upon receipt, store at -20°C or -80°C. Avoid repeated freeze.
Related Product Information for anti-CAMSAP2 antibody
Microtubule minus-end binding protein that may regulate the organization of non-centrosomal microtubules. May regulate the nucleation and the polymerization of microtubules. Indirectly, through the microtubule cytoskeleton, may regulate the organization of cellular organelles including the Golgi and the early endosomes.
NCBI and Uniprot Product Information
NCBI GI #
NCBI GeneID
NCBI Accession #
NCBI GenBank Nucleotide #
NCBI Official Full Name
calmodulin-regulated spectrin-associated protein 2 isoform 1
NCBI Official Synonym Full Names
calmodulin regulated spectrin associated protein family member 2
NCBI Official Symbol
CAMSAP2
NCBI Official Synonym Symbols
CAMSAP1L1
NCBI Protein Information
calmodulin-regulated spectrin-associated protein 2
UniProt Protein Name
Calmodulin-regulated spectrin-associated protein 2
UniProt Gene Name
CAMSAP2
UniProt Synonym Gene Names
CAMSAP1L1; KIAA1078
UniProt Entry Name
CAMP2_HUMAN
Customer Reviews
Loading reviews...
Share Your Experience
Similar Products
Product Notes
The CAMSAP2 camsap2 (Catalog #AAA230895) is an Antibody produced from Rabbit and is intended for research purposes only. The product is available for immediate purchase. The CAMSAP2 Antibody reacts with Human and may cross-react with other species as described in the data sheet. AAA Biotech's CAMSAP2 can be used in a range of immunoassay formats including, but not limited to, IHC (Immunohistochemistry), ELISA. Researchers should empirically determine the suitability of the CAMSAP2 camsap2 for an application not listed in the data sheet. Researchers commonly develop new applications and it is an integral, important part of the investigative research process. It is sometimes possible for the material contained within the vial of "CAMSAP2, Polyclonal Antibody" to become dispersed throughout the inside of the vial, particularly around the seal of said vial, during shipment and storage. We always suggest centrifuging these vials to consolidate all of the liquid away from the lid and to the bottom of the vial prior to opening. Please be advised that certain products may require dry ice for shipping and that, if this is the case, an additional dry ice fee may also be required.Precautions
All products in the AAA Biotech catalog are strictly for research-use only, and are absolutely not suitable for use in any sort of medical, therapeutic, prophylactic, in-vivo, or diagnostic capacity. By purchasing a product from AAA Biotech, you are explicitly certifying that said products will be properly tested and used in line with industry standard. AAA Biotech and its authorized distribution partners reserve the right to refuse to fulfill any order if we have any indication that a purchaser may be intending to use a product outside of our accepted criteria.Disclaimer
Though we do strive to guarantee the information represented in this datasheet, AAA Biotech cannot be held responsible for any oversights or imprecisions. AAA Biotech reserves the right to adjust any aspect of this datasheet at any time and without notice. It is the responsibility of the customer to inform AAA Biotech of any product performance issues observed or experienced within 30 days of receipt of said product. To see additional details on this or any of our other policies, please see our Terms & Conditions page.Item has been added to Shopping Cart
If you are ready to order, navigate to Shopping Cart and get ready to checkout.
