Rabbit Carbonic Anhydrase VII (CA7) Polyclonal Antibody | anti-CA7 antibody
Polyclonal Antibody to Carbonic Anhydrase VII (CA7)
Gene Names
Car7; Ca7; AV343731
Reactivity
Mouse, Human, Rat
Applications
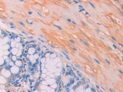
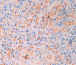
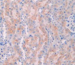
Flow Cytometry, Functional Assay, Immunofluorescence, Immunoprecipitation, ELISA, Immunohistochemistry, Immunohistochemistry, Immunocytochemistry, Western Blot
Purity
Antigen-specific Affinity Chromatography
Synonyms
Carbonic Anhydrase VII (CA7), Antibody; Polyclonal Antibody to Carbonic Anhydrase VII (CA7); anti-CA7 antibody
Host
Rabbit
Reactivity
Mouse, Human, Rat
Clonality
Polyclonal
Specificity
The antibody is a rabbit polyclonal antibody raised against CA7. It has been selected for its ability to recognize CA7 in immunohistochemical staining andwestern blotting.
Purity/Purification
Antigen-specific Affinity Chromatography
Form/Format
Supplied as solution form in 0.01M PBS, pH7.4, containing 0.05% Proclin-300, 50% glycerol
Concentration
500ug/mL (varies by lot)
Applicable Applications for anti-CA7 antibody
FCM/FACS (Flow Cytometry), IF (Immunofluorescence), IP (Immunoprecipitation), ELISA, IHC (Immunohistochemistry), IHC (Immunohistochemistry), ICC (Immunocytochemistry), WB (Western Blot)
Source
Polyclonal antibody preparation
Traits
Liquid
Immunogen
Recombinant CA7 (Ser58~Pro217) expressed in E.coli
Cross Reactivity
Mouse
Conjugated Antibody
The APC conjugated antibody version of this item is also available as
Preparation and Storage
Storage: Avoid repeated freeze/thaw cycles.
Store at 4 degree for frequent use.
Aliquot and store at -20 degree C for 12 months.
Stability TestThe thermal stability is described by the loss rate. The loss rate was determined by accelerated thermal degradation test, that is, incubate the protein at 37 degree C for 48h, and no obvious degradation and precipitation were observed. The loss rate is less than 5% within the expiration date under appropriate storage condition.
Store at 4 degree for frequent use.
Aliquot and store at -20 degree C for 12 months.
Stability TestThe thermal stability is described by the loss rate. The loss rate was determined by accelerated thermal degradation test, that is, incubate the protein at 37 degree C for 48h, and no obvious degradation and precipitation were observed. The loss rate is less than 5% within the expiration date under appropriate storage condition.
NCBI and Uniprot Product Information
NCBI GI #
NCBI GeneID
NCBI Accession #
NCBI GenBank Nucleotide #
Molecular Weight
29,915 Da
NCBI Official Full Name
carbonic anhydrase 7 isoform b
NCBI Official Synonym Full Names
carbonic anhydrase 7
NCBI Official Symbol
Car7
NCBI Official Synonym Symbols
Ca7; AV343731
NCBI Protein Information
carbonic anhydrase 7
UniProt Protein Name
Carbonic anhydrase 7
UniProt Gene Name
Ca7
UniProt Synonym Gene Names
Car7; CA-VII
Customer Reviews
Loading reviews...
Share Your Experience
Similar Products
Product Notes
The CA7 ca7 (Catalog #AAA130893) is an Antibody produced from Rabbit and is intended for research purposes only. The product is available for immediate purchase. The Polyclonal Antibody to Carbonic Anhydrase VII (CA7) reacts with Mouse, Human, Rat and may cross-react with other species as described in the data sheet. AAA Biotech's Carbonic Anhydrase VII (CA7) can be used in a range of immunoassay formats including, but not limited to, FCM/FACS (Flow Cytometry), IF (Immunofluorescence), IP (Immunoprecipitation), ELISA, IHC (Immunohistochemistry), IHC (Immunohistochemistry), ICC (Immunocytochemistry), WB (Western Blot). Researchers should empirically determine the suitability of the CA7 ca7 for an application not listed in the data sheet. Researchers commonly develop new applications and it is an integral, important part of the investigative research process. It is sometimes possible for the material contained within the vial of "Carbonic Anhydrase VII (CA7), Polyclonal Antibody" to become dispersed throughout the inside of the vial, particularly around the seal of said vial, during shipment and storage. We always suggest centrifuging these vials to consolidate all of the liquid away from the lid and to the bottom of the vial prior to opening. Please be advised that certain products may require dry ice for shipping and that, if this is the case, an additional dry ice fee may also be required.Precautions
All products in the AAA Biotech catalog are strictly for research-use only, and are absolutely not suitable for use in any sort of medical, therapeutic, prophylactic, in-vivo, or diagnostic capacity. By purchasing a product from AAA Biotech, you are explicitly certifying that said products will be properly tested and used in line with industry standard. AAA Biotech and its authorized distribution partners reserve the right to refuse to fulfill any order if we have any indication that a purchaser may be intending to use a product outside of our accepted criteria.Disclaimer
Though we do strive to guarantee the information represented in this datasheet, AAA Biotech cannot be held responsible for any oversights or imprecisions. AAA Biotech reserves the right to adjust any aspect of this datasheet at any time and without notice. It is the responsibility of the customer to inform AAA Biotech of any product performance issues observed or experienced within 30 days of receipt of said product. To see additional details on this or any of our other policies, please see our Terms & Conditions page.Item has been added to Shopping Cart
If you are ready to order, navigate to Shopping Cart and get ready to checkout.
