Host
Rabbit
Reactivity
Human
Clonality
Polyclonal
Specificity
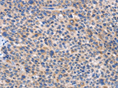
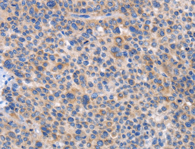
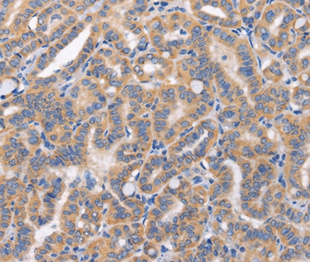
The antibody detects endogenous levels of total CARD17 protein.
Purity/Purification
Antigen affinity purification.
Form/Format
Rabbit IgG in pH7.3 PBS, 0.05% NaN3, 50% Glycerol.
Concentration
3 mg/ml (varies by lot)
Sequence Length
110
Applicable Applications for anti-CARD17 antibody
IHC (Immunohistochemistry)
Immunogen Type
Peptide
Immunogen Description
Synthetic peptide corresponding to residues near the C terminal of human caspase recruitment domain family, member 17
Target Name
CARD17
Preparation and Storage
Store at -20 degree C
Related Product Information for anti-CARD17 antibody
Regulator of procaspase-1/CASP1 activation implicated in the regulation of the proteolytic maturation of pro-IL-1beta/IL1B and its release during inflammation. Inhibits the release of IL1B in response to LPS in monocytes. However, unlike CASP1, do not induce NF-kappa-B activation.
Product Categories/Family for anti-CARD17 antibody
NCBI and Uniprot Product Information
NCBI GI #
NCBI GeneID
NCBI Accession #
NCBI GenBank Nucleotide #
UniProt Accession #
Molecular Weight
11,868 Da
NCBI Official Full Name
caspase recruitment domain-containing protein 17
NCBI Official Synonym Full Names
caspase recruitment domain family, member 17
NCBI Official Symbol
CARD17
NCBI Official Synonym Symbols
INCA
NCBI Protein Information
caspase recruitment domain-containing protein 17
UniProt Protein Name
Caspase recruitment domain-containing protein 17
UniProt Gene Name
CARD17
UniProt Synonym Gene Names
INCA
UniProt Entry Name
CAR17_HUMAN
Customer Reviews
Loading reviews...
Share Your Experience
Similar Products
Product Notes
The CARD17 card17 (Catalog #AAA301326) is an Antibody produced from Rabbit and is intended for research purposes only. The product is available for immediate purchase. The CARD17 Antibody reacts with Human and may cross-react with other species as described in the data sheet. AAA Biotech's CARD17 can be used in a range of immunoassay formats including, but not limited to, IHC (Immunohistochemistry). Researchers should empirically determine the suitability of the CARD17 card17 for an application not listed in the data sheet. Researchers commonly develop new applications and it is an integral, important part of the investigative research process. It is sometimes possible for the material contained within the vial of "CARD17, Polyclonal Antibody" to become dispersed throughout the inside of the vial, particularly around the seal of said vial, during shipment and storage. We always suggest centrifuging these vials to consolidate all of the liquid away from the lid and to the bottom of the vial prior to opening. Please be advised that certain products may require dry ice for shipping and that, if this is the case, an additional dry ice fee may also be required.Precautions
All products in the AAA Biotech catalog are strictly for research-use only, and are absolutely not suitable for use in any sort of medical, therapeutic, prophylactic, in-vivo, or diagnostic capacity. By purchasing a product from AAA Biotech, you are explicitly certifying that said products will be properly tested and used in line with industry standard. AAA Biotech and its authorized distribution partners reserve the right to refuse to fulfill any order if we have any indication that a purchaser may be intending to use a product outside of our accepted criteria.Disclaimer
Though we do strive to guarantee the information represented in this datasheet, AAA Biotech cannot be held responsible for any oversights or imprecisions. AAA Biotech reserves the right to adjust any aspect of this datasheet at any time and without notice. It is the responsibility of the customer to inform AAA Biotech of any product performance issues observed or experienced within 30 days of receipt of said product. To see additional details on this or any of our other policies, please see our Terms & Conditions page.Item has been added to Shopping Cart
If you are ready to order, navigate to Shopping Cart and get ready to checkout.
