Rabbit anti-Human Cardiac FABP Polyclonal Antibody | anti-FABP3 antibody
Anti-Cardiac FABP antibody
WB (Western Blot)
(Figure 1. Western blot analysis of Cardiac FABP using anti-Cardiac FABP antibody (AAA45178).Electrophoresis was performed on a 5-20% SDS-PAGE gel at 70V (Stacking gel) / 90V (Resolving gel) for 2-3 hours. The sample well of each lane was loaded with 50ug of sample under reducing conditions.Lane 1: rat heart tissue lysate,Lane 2: mouse heart tissue lysate.After Electrophoresis, proteins were transferred to a Nitrocellulose membrane at 150mA for 50-90 minutes. Blocked the membrane with 5% Non-fat Milk/ TBS for 1.5 hour at RT. The membrane was incubated with rabbit anti-Cardiac FABP antigen affinity purified polyclonal antibody at 0.5ug/mL overnight at 4 degree C, then washed with TBS-0.1%Tween 3 times with 5 minutes each and probed with a goat anti-rabbit IgG-HRP secondary antibody at a dilution of 1:10000 for 1.5 hour at RT. The signal is developed using an Enhanced Chemiluminescent detection (ECL) kit with Tanon 5200 system. A specific band was detected for Cardiac FABP at approximately 15KD. The expected band size for Cardiac FABP is at 15KD.)
IHC (Immunohistochemisry)
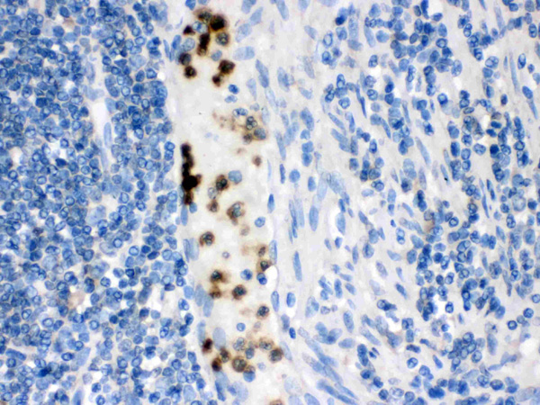
(Cardiac FABP was detected in paraffin-embedded sections of human intestinal cancer tissues using rabbit anti- Cardiac FABP Antigen Affinity purified polyclonal antibody at 1 ug/mL. The immunohistochemical section was developed using SABC method.)
IHC (Immunohiostchemistry)
(Cardiac FABP was detected in paraffin-embedded sections of mouse skeletal muscletissues using rabbit anti- Cardiac FABP Antigen Affinity purified polyclonal antibody at 1ug/mL. The immunohistochemical section was developed using SABC method.)
IHC (Immunohistochemistry)
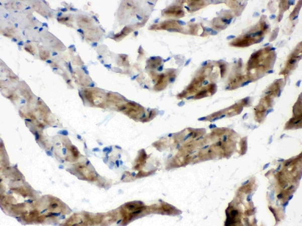
(Cardiac FABP was detected in paraffin-embedded sections of rat cardiac muscle tissues using rabbit anti- Cardiac FABP Antigen Affinity purified polyclonal antibody at 1ug/mL. The immunohistochemical section was developed using SABC method.)
Background: Heart-type fatty acid binding protein(hFABP) also known as mammary-derived growth inhibitor is a protein that in humans is encoded by the FABP3 gene. The intracellular fatty acid-binding proteins(FABPs) belongs to a multigene family. Fatty acid-binding protein 3 gene contains four exons and its function is to arrest growth of mammary epithelial cells. This gene is also a candidate tumor suppressor gene for human breast cancer. Cardiac-type fatty acid-binding protein(cFABP) from human heart muscle of three individuals was isolated and characterized as pI 5.3-cFABP.
NCBI and Uniprot Product Information
Customer Reviews
Loading reviews...
Share Your Experience
Similar Products
Product Notes
The FABP3 fabp3 (Catalog #AAA45178) is an Antibody produced from Rabbit and is intended for research purposes only. The product is available for immediate purchase. The Anti-Cardiac FABP antibody reacts with Human and may cross-react with other species as described in the data sheet. AAA Biotech's Cardiac FABP can be used in a range of immunoassay formats including, but not limited to, IHC (Immunohistochemistry), IHC (Immunohistochemistry), WB (Western Blot). Researchers should empirically determine the suitability of the FABP3 fabp3 for an application not listed in the data sheet. Researchers commonly develop new applications and it is an integral, important part of the investigative research process. It is sometimes possible for the material contained within the vial of "Cardiac FABP, Polyclonal Antibody" to become dispersed throughout the inside of the vial, particularly around the seal of said vial, during shipment and storage. We always suggest centrifuging these vials to consolidate all of the liquid away from the lid and to the bottom of the vial prior to opening. Please be advised that certain products may require dry ice for shipping and that, if this is the case, an additional dry ice fee may also be required.Precautions
All products in the AAA Biotech catalog are strictly for research-use only, and are absolutely not suitable for use in any sort of medical, therapeutic, prophylactic, in-vivo, or diagnostic capacity. By purchasing a product from AAA Biotech, you are explicitly certifying that said products will be properly tested and used in line with industry standard. AAA Biotech and its authorized distribution partners reserve the right to refuse to fulfill any order if we have any indication that a purchaser may be intending to use a product outside of our accepted criteria.Disclaimer
Though we do strive to guarantee the information represented in this datasheet, AAA Biotech cannot be held responsible for any oversights or imprecisions. AAA Biotech reserves the right to adjust any aspect of this datasheet at any time and without notice. It is the responsibility of the customer to inform AAA Biotech of any product performance issues observed or experienced within 30 days of receipt of said product. To see additional details on this or any of our other policies, please see our Terms & Conditions page.Item has been added to Shopping Cart
If you are ready to order, navigate to Shopping Cart and get ready to checkout.
