Rabbit anti-Human CASP9 Polyclonal Antibody | anti-CASP9 antibody
CASP9 (active) Antibody
Gene Names
CASP9; MCH6; APAF3; APAF-3; PPP1R56; ICE-LAP6
Reactivity
Human
Applications
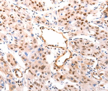
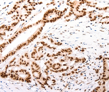
Immunohistochemistry
Purity
Antigen affinity purification.
Synonyms
CASP9, Antibody; CASP9 (active) Antibody; MCH6; APAF3; APAF-3; PPP1R56; ICE-LAP6; CASPASE-9c; anti-CASP9 antibody
Host
Rabbit
Reactivity
Human
Clonality
Polyclonal
Specificity
The antibody detects endogenous levels of total CASP9 (active) protein.
Purity/Purification
Antigen affinity purification.
Form/Format
Rabbit IgG in pH7.3 PBS, 0.05% NaN3, 50% Glycerol.
Concentration
2.4 mg/ml (varies by lot)
Sequence Length
416
Applicable Applications for anti-CASP9 antibody
IHC (Immunohistochemistry)
Immunogen Type
Peptide
Immunogen Description
Synthetic peptide corresponding to a region derived from internal residues of human caspase 9, apoptosis-related cysteine peptidase
Target Name
CASP9 (active)
Preparation and Storage
Store at -20 degree C
Related Product Information for anti-CASP9 antibody
This gene encodes a member of the cysteine-aspartic acid protease (caspase) family. Sequential activation of caspases plays a central role in the execution-phase of cell apoptosis. Caspases exist as inactive proenzymes which undergo proteolytic processing at conserved aspartic residues to produce two subunits, large and small, that dimerize to form the active enzyme. This protein is processed by caspase APAF1; this step is thought to be one of the earliest in the caspase activation cascade. Alternative splicing results in two transcript variants which encode different isoforms.
Product Categories/Family for anti-CASP9 antibody
NCBI and Uniprot Product Information
NCBI GI #
NCBI GeneID
NCBI Accession #
NCBI GenBank Nucleotide #
Molecular Weight
36,564 Da
NCBI Official Full Name
caspase-9 isoform alpha
NCBI Official Synonym Full Names
caspase 9, apoptosis-related cysteine peptidase
NCBI Official Symbol
CASP9
NCBI Official Synonym Symbols
MCH6; APAF3; APAF-3; PPP1R56; ICE-LAP6
NCBI Protein Information
caspase-9
UniProt Protein Name
Caspase-9
UniProt Gene Name
CASP9
UniProt Synonym Gene Names
MCH6; CASP-9; APAF-3; ICE-LAP6
UniProt Entry Name
CASP9_HUMAN
Customer Reviews
Loading reviews...
Share Your Experience
Similar Products
Product Notes
The CASP9 casp9 (Catalog #AAA302652) is an Antibody produced from Rabbit and is intended for research purposes only. The product is available for immediate purchase. The CASP9 (active) Antibody reacts with Human and may cross-react with other species as described in the data sheet. AAA Biotech's CASP9 can be used in a range of immunoassay formats including, but not limited to, IHC (Immunohistochemistry). Researchers should empirically determine the suitability of the CASP9 casp9 for an application not listed in the data sheet. Researchers commonly develop new applications and it is an integral, important part of the investigative research process. It is sometimes possible for the material contained within the vial of "CASP9, Polyclonal Antibody" to become dispersed throughout the inside of the vial, particularly around the seal of said vial, during shipment and storage. We always suggest centrifuging these vials to consolidate all of the liquid away from the lid and to the bottom of the vial prior to opening. Please be advised that certain products may require dry ice for shipping and that, if this is the case, an additional dry ice fee may also be required.Precautions
All products in the AAA Biotech catalog are strictly for research-use only, and are absolutely not suitable for use in any sort of medical, therapeutic, prophylactic, in-vivo, or diagnostic capacity. By purchasing a product from AAA Biotech, you are explicitly certifying that said products will be properly tested and used in line with industry standard. AAA Biotech and its authorized distribution partners reserve the right to refuse to fulfill any order if we have any indication that a purchaser may be intending to use a product outside of our accepted criteria.Disclaimer
Though we do strive to guarantee the information represented in this datasheet, AAA Biotech cannot be held responsible for any oversights or imprecisions. AAA Biotech reserves the right to adjust any aspect of this datasheet at any time and without notice. It is the responsibility of the customer to inform AAA Biotech of any product performance issues observed or experienced within 30 days of receipt of said product. To see additional details on this or any of our other policies, please see our Terms & Conditions page.Item has been added to Shopping Cart
If you are ready to order, navigate to Shopping Cart and get ready to checkout.
