Rabbit anti-Human, Mouse Caspase 10 Polyclonal Antibody | anti-CASP10 antibody
Caspase 10 Antibody
Phosphate buffered saline, pH 7.4, 150mM NaCl, 0.02% sodium azide and 50% glycerol.
IF (Immunofluorescence)
(AAA320771 staining A-431 cells by IF/ICC. The sample were fixed with PFA and permeabilized in 0.1% Triton X-100, then blocked in 10% serum for 45 minutes at 25 degree C. The primary antibody was diluted at 1/200 and incubated with the sample for 1 hour at 37 degree C. An Alexa Fluor 594 conjugated goat anti-rabbit IgG (H+L) antibody, diluted at 1/600, was used as secondary antibody.)
WB (Western Blot)
(Western blot analysis of extracts from mouse brain and HepG2, using Caspase 10 Antibody.)
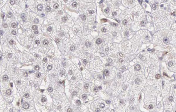
IHC (Immunohistochemisry)
(AAA320771 at 1/200 staining human liver carcinoma tissue sections by IHC-P. The tissue was formaldehyde fixed and a heat mediated antigen retrieval step in citrate buffer was performed. The tissue was then blocked and incubated with the antibody for 1.5 hours at 22 degree C. An HRP conjugated goat anti-rabbit antibody was used as the secondary.)
IF (Immunofluorescence)
(AAA320771 staining HeLa cells by IF/ICC. The sample were fixed with PFA and permeabilized in 0.1% Triton X-100, then blocked in 10% serum for 45 minutes at 25 degree C. The primary antibody was diluted at 1/200 and incubated with the sample for 1 hour at 37 degree C. An Alexa Fluor 594 conjugated goat anti-rabbit IgG (H+L) antibody, diluted at 1/600, was used as secondary antibody.)
WB (Western Blot)
(Western blot analysis on HeLa cell lysate using Caspase 10 Antibody, The lane on the left is treated with the antigen-specific peptide.)
Function: Involved in the activation cascade of caspases responsible for apoptosis execution. Recruited to both Fas-and TNFR-1 receptors in a FADD dependent manner. May participate in the granzyme B apoptotic pathways. Cleaves and activates caspase-3, -4, -6, -7, -8, and-9. Hydrolyzes the small-molecule substrates, Tyr-Val-Ala-Asp-|-AMC and Asp-Glu-Val-Asp-|-AMC.
Subunit Structure: Heterotetramer that consists of two anti-parallel arranged heterodimers, each one formed by a 23/17 kDa (p23/17) (depending on the splicing events) and a 12 kDa (p12) subunit (By similarity). Self-associates. Interacts with FADD and CASP8. Found in a Fas signaling complex consisting of FAS, FADD, CASP8 and CASP10. Interacts with RFFL and RNF34; negatively regulate CASP10 through proteasomal degradation. Interacts with RIOK3.
Post-translational Modifications: Cleavage by granzyme B and autocatalytic activity generate the two active subunits.
Similarity: Belongs to the peptidase C14A family.
NCBI and Uniprot Product Information
Predicted: 59 kDa
Customer Reviews
Loading reviews...
Share Your Experience
Similar Products
Product Notes
The CASP10 casp10 (Catalog #AAA320771) is an Antibody produced from Rabbit and is intended for research purposes only. The product is available for immediate purchase. The Caspase 10 Antibody reacts with Human, Mouse and may cross-react with other species as described in the data sheet. AAA Biotech's Caspase 10 can be used in a range of immunoassay formats including, but not limited to, ELISA, ICC (Immunocytochemistry), IF (Immunofluorescence), IHC (Immunohistochemistry), WB (Western Blot). Researchers should empirically determine the suitability of the CASP10 casp10 for an application not listed in the data sheet. Researchers commonly develop new applications and it is an integral, important part of the investigative research process. It is sometimes possible for the material contained within the vial of "Caspase 10, Polyclonal Antibody" to become dispersed throughout the inside of the vial, particularly around the seal of said vial, during shipment and storage. We always suggest centrifuging these vials to consolidate all of the liquid away from the lid and to the bottom of the vial prior to opening. Please be advised that certain products may require dry ice for shipping and that, if this is the case, an additional dry ice fee may also be required.Precautions
All products in the AAA Biotech catalog are strictly for research-use only, and are absolutely not suitable for use in any sort of medical, therapeutic, prophylactic, in-vivo, or diagnostic capacity. By purchasing a product from AAA Biotech, you are explicitly certifying that said products will be properly tested and used in line with industry standard. AAA Biotech and its authorized distribution partners reserve the right to refuse to fulfill any order if we have any indication that a purchaser may be intending to use a product outside of our accepted criteria.Disclaimer
Though we do strive to guarantee the information represented in this datasheet, AAA Biotech cannot be held responsible for any oversights or imprecisions. AAA Biotech reserves the right to adjust any aspect of this datasheet at any time and without notice. It is the responsibility of the customer to inform AAA Biotech of any product performance issues observed or experienced within 30 days of receipt of said product. To see additional details on this or any of our other policies, please see our Terms & Conditions page.Item has been added to Shopping Cart
If you are ready to order, navigate to Shopping Cart and get ready to checkout.
