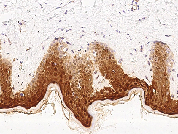
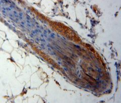
Rabbit anti-Human Caspase 14 Polyclonal Antibody | anti-CASP14 antibody
Caspase 14 antibody
Reactivity
Human
Applications
Immunofluorescence, Western Blot
Purity
Purified by antigen-affinity chromatography.
Synonyms
Caspase 14, Antibody; Caspase 14 antibody; anti-CASP14 antibody
Host
Rabbit
Reactivity
Human
Clonality
Polyclonal
Purity/Purification
Purified by antigen-affinity chromatography.
Form/Format
Supplied in 0.1M Tris-buffered saline with 10% Glycerol (pH7.0). 0.01% Thimerosal was added as a preservative.
Sequence Length
242
Applicable Applications for anti-CASP14 antibody
IF (Immunofluorescence), WB (Western Blot)
Immunogen Type
Peptide
Immunogen Description
Synthetic peptide contain a sequence corresponding to a region within amino acids 171 and 230 of Caspase 14
Target Name
Caspase 14
Preparation and Storage
Store at -20 degree C for long term preservation (recommended). Store at 4 degree C for short term use.
Related Product Information for anti-CASP14 antibody
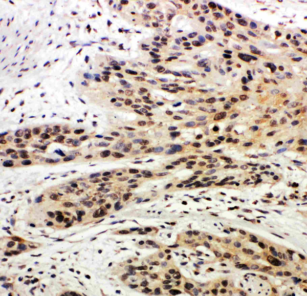
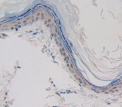
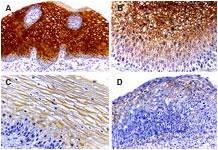
This gene encodes a member of the cysteine-aspartic acid protease (caspase) family. Sequential activation of caspases plays a central role in the execution-phase of cell apoptosis. Caspases exist as inactive proenzymes which undergo proteolytic processing at conserved aspartic residues to produce two subunits, large and small, that dimerize to form the active enzyme. This caspase has been shown to be processed and activated by caspase 8 and caspase 10 in vitro, and by anti-Fas agonist antibody or TNF-related apoptosis inducing ligand in vivo. The expression and processing of this caspase may be involved in keratinocyte terminal differentiation, which is important for the formation of the skin barrier. [provided by RefSeq]
Product Categories/Family for anti-CASP14 antibody
NCBI and Uniprot Product Information
NCBI GI #
NCBI GeneID
NCBI Accession #
NCBI GenBank Nucleotide #
Molecular Weight
27,680 Da
NCBI Official Full Name
caspase-14
NCBI Official Synonym Full Names
caspase 14, apoptosis-related cysteine peptidase
NCBI Official Symbol
CASP14
NCBI Protein Information
caspase-14
UniProt Protein Name
Caspase-14
UniProt Gene Name
CASP14
UniProt Synonym Gene Names
CASP-14
UniProt Entry Name
CASPE_HUMAN
Customer Reviews
Loading reviews...
Share Your Experience
Similar Products
Product Notes
The CASP14 casp14 (Catalog #AAA306193) is an Antibody produced from Rabbit and is intended for research purposes only. The product is available for immediate purchase. The Caspase 14 antibody reacts with Human and may cross-react with other species as described in the data sheet. AAA Biotech's Caspase 14 can be used in a range of immunoassay formats including, but not limited to, IF (Immunofluorescence), WB (Western Blot). Researchers should empirically determine the suitability of the CASP14 casp14 for an application not listed in the data sheet. Researchers commonly develop new applications and it is an integral, important part of the investigative research process. It is sometimes possible for the material contained within the vial of "Caspase 14, Polyclonal Antibody" to become dispersed throughout the inside of the vial, particularly around the seal of said vial, during shipment and storage. We always suggest centrifuging these vials to consolidate all of the liquid away from the lid and to the bottom of the vial prior to opening. Please be advised that certain products may require dry ice for shipping and that, if this is the case, an additional dry ice fee may also be required.Precautions
All products in the AAA Biotech catalog are strictly for research-use only, and are absolutely not suitable for use in any sort of medical, therapeutic, prophylactic, in-vivo, or diagnostic capacity. By purchasing a product from AAA Biotech, you are explicitly certifying that said products will be properly tested and used in line with industry standard. AAA Biotech and its authorized distribution partners reserve the right to refuse to fulfill any order if we have any indication that a purchaser may be intending to use a product outside of our accepted criteria.Disclaimer
Though we do strive to guarantee the information represented in this datasheet, AAA Biotech cannot be held responsible for any oversights or imprecisions. AAA Biotech reserves the right to adjust any aspect of this datasheet at any time and without notice. It is the responsibility of the customer to inform AAA Biotech of any product performance issues observed or experienced within 30 days of receipt of said product. To see additional details on this or any of our other policies, please see our Terms & Conditions page.Item has been added to Shopping Cart
If you are ready to order, navigate to Shopping Cart and get ready to checkout.
