Rabbit Caspase 4 Polyclonal Antibody | anti-CASP4 antibody
Anti-Caspase 4 Picoband antibody
No cross reactivity with other proteins.
No cross reactivity with other proteins.
IHC (Immunohistochemisry)
(Figure 3. IHC analysis of Caspase 4 using anti-Caspase 4 antibody (AAA124698).Caspase 4 was detected in paraffin-embedded section of human mammary cancer tissue. Heat mediated antigen retrieval was performed in citrate buffer (pH6, epitope retrieval solution) for 20 mins. The tissue section was blocked with 10% goat serum. The tissue section was then incubated with 1ug/ml rabbit anti-Caspase 4 Antibody (AAA124698) overnight at 4 degree C. Biotinylated goat anti-rabbit IgG was used as secondary antibody and incubated for 30 minutes at 37 degree C. The tissue section was developed using Strepavidin-Biotin-Complex (SABC) with DAB as the chromogen.)
IHC (Immunohiostchemistry)
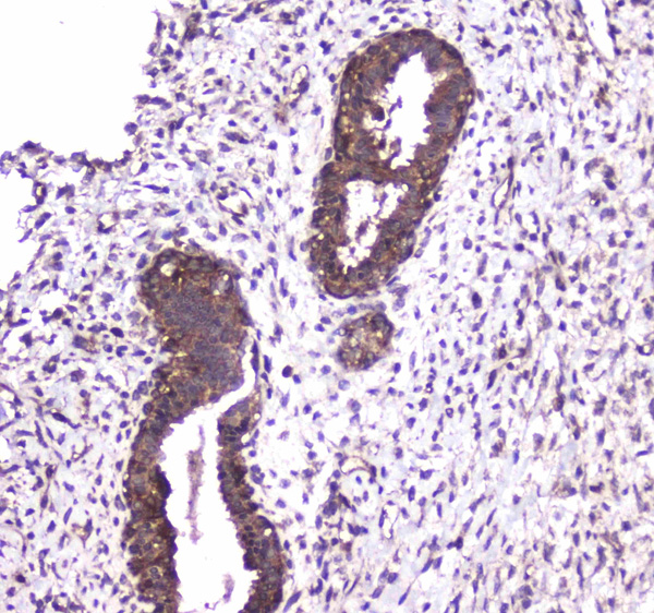
(Figure 2. IHC analysis of Caspase 4 using anti-Caspase 4 antibody (AAA124698).Caspase 4 was detected in paraffin-embedded section of human colon cancer tissue. Heat mediated antigen retrieval was performed in citrate buffer (pH6, epitope retrieval solution) for 20 mins. The tissue section was blocked with 10% goat serum. The tissue section was then incubated with 1ug/ml rabbit anti-Caspase 4 Antibody (AAA124698) overnight at 4 degree C. Biotinylated goat anti-rabbit IgG was used as secondary antibody and incubated for 30 minutes at 37 degree C. The tissue section was developed using Strepavidin-Biotin-Complex (SABC) with DAB as the chromogen.)
WB (Western Blot)
(Figure 1. Western blot analysis of Caspase 4 using anti-Caspase 4 antibody (AAA124698).Electrophoresis was performed on a 5-20% SDS-PAGE gel at 70V (Stacking gel) / 90V (Resolving gel) for 2-3 hours. The sample well of each lane was loaded with 50ug of sample under reducing conditions.Lane 1: human Hela whole cell lysates,Lane 2: human COLO-320 whole cell lysates,Lane 3: human SW620 whole cell lysates,Lane 4: human HepG2 whole cell lysates.After Electrophoresis, proteins were transferred to a Nitrocellulose membrane at 150mA for 50-90 minutes. Blocked the membrane with 5% Non-fat Milk/ TBS for 1.5 hour at RT. The membrane was incubated with rabbit anti-Caspase 4 antigen affinity purified polyclonal antibody at 0.5ug/mL overnight at 4 degree C, then washed with TBS-0.1%Tween 3 times with 5 minutes each and probed with a goat anti-rabbit IgG-HRP secondary antibody at a dilution of 1:10000 for 1.5 hour at RT. The signal is developed using an Enhanced Chemiluminescent detection (ECL) kit with Tanon 5200 system. A specific band was detected for Caspase 4 at approximately 48KD. The expected band size for Caspase 4 is at 43KD.)
Protein Function: Inflammatory caspase (PubMed: 7797510, PubMed: 23516580, PubMed: 25119034). Essential effector of NLRP3 inflammasome- dependent CASP1 activation and IL1B and IL18 secretion in response to non-canonical activators, such as UVB radiation, cholera enterotoxin subunit B and cytosolic LPS (PubMed: 22246630, PubMed: 26174085, PubMed: 26173988, PubMed: 26508369, PubMed: 25964352). Independently of NLRP3 inflammasome and CASP1, promotes pyroptosis, through GSDMD cleavage and activation, and IL1A, IL18 and HMGB1 release in response to non-canonical inflammasome activators (PubMed: 24879791, PubMed: 25964352). Plays a crucial role in the restriction of Salmonella typhimurium replication in colonic epithelial cells during infection (PubMed: 25121752). In later stages of the infection, LPS from cytosolic Salmonella triggers CASP4 activation, which ultimately results in pyroptosis of infected cells and their extrusion into the gut lumen, as well as in IL18 secretion. Pyroptosis limits bacterial replication, while cytokine secretion promotes the recruitment and activation of immune cells and triggers mucosal inflammation. Involved in LPS-induced IL6 secretion; this activity may not require caspase enzymatic activity (PubMed: 26508369). Involved in cell death induced by endoplasmic reticulum stress and by treatment with cytotoxic APP peptides found Alzheimer's patient brains (PubMed: 15123740, PubMed: 22246630, PubMed: 23661706). Activated by direct binding to LPS without the need of an upstream sensor (PubMed: 25119034). Does not directly process IL1B (PubMed: 7743998, PubMed: 7797592, PubMed: 7797510). During non- canonical inflammasome activation, cuts MB21D1 and may play a role in the regulation of antiviral innate immune activation (PubMed: 28314590).
NCBI and Uniprot Product Information
Customer Reviews
Loading reviews...
Share Your Experience
Similar Products
Product Notes
The CASP4 casp4 (Catalog #AAA124698) is an Antibody produced from Rabbit and is intended for research purposes only. The product is available for immediate purchase. The Anti-Caspase 4 Picoband antibody reacts with Human No cross reactivity with other proteins. and may cross-react with other species as described in the data sheet. AAA Biotech's Caspase 4 can be used in a range of immunoassay formats including, but not limited to, WB (Western Blot), IHC (Immunohistochemistry), ELISA. Researchers should empirically determine the suitability of the CASP4 casp4 for an application not listed in the data sheet. Researchers commonly develop new applications and it is an integral, important part of the investigative research process. It is sometimes possible for the material contained within the vial of "Caspase 4, Polyclonal Antibody" to become dispersed throughout the inside of the vial, particularly around the seal of said vial, during shipment and storage. We always suggest centrifuging these vials to consolidate all of the liquid away from the lid and to the bottom of the vial prior to opening. Please be advised that certain products may require dry ice for shipping and that, if this is the case, an additional dry ice fee may also be required.Precautions
All products in the AAA Biotech catalog are strictly for research-use only, and are absolutely not suitable for use in any sort of medical, therapeutic, prophylactic, in-vivo, or diagnostic capacity. By purchasing a product from AAA Biotech, you are explicitly certifying that said products will be properly tested and used in line with industry standard. AAA Biotech and its authorized distribution partners reserve the right to refuse to fulfill any order if we have any indication that a purchaser may be intending to use a product outside of our accepted criteria.Disclaimer
Though we do strive to guarantee the information represented in this datasheet, AAA Biotech cannot be held responsible for any oversights or imprecisions. AAA Biotech reserves the right to adjust any aspect of this datasheet at any time and without notice. It is the responsibility of the customer to inform AAA Biotech of any product performance issues observed or experienced within 30 days of receipt of said product. To see additional details on this or any of our other policies, please see our Terms & Conditions page.Item has been added to Shopping Cart
If you are ready to order, navigate to Shopping Cart and get ready to checkout.
