Rabbit anti-Human Caspase recruitment domain-containing protein 8 Polyclonal Antibody | anti-CARD8 antibody
Rabbit anti-human Caspase recruitment domain-containing protein 8 polyclonal Antibody(CARD8)
Gene Names
CARD8; NDPP; DACAR; DAKAR; NDPP1; TUCAN; CARDINAL
Reactivity
Human
Applications
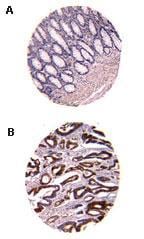
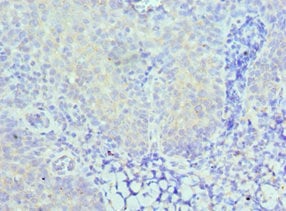
Immunohistochemistry, ELISA
Purity
Antigen Affinity Purified
Synonyms
Caspase recruitment domain-containing protein 8, Antibody; Rabbit anti-human Caspase recruitment domain-containing protein 8 polyclonal Antibody(CARD8); Apoptotic protein NDPP1; CARD-inhibitor of NF-kappa-B-activating ligand; CARDINAL; DACAR; Tumor up-regulated CARD-containing antagonist of CASP9; TUCAN; CARD8; KIAA0955; NDPP1; anti-CARD8 antibody
Host
Rabbit
Reactivity
Human
Clonality
Polyclonal
Isotype
IgG
Purity/Purification
Antigen Affinity Purified
Sequence Length
537
Applicable Applications for anti-CARD8 antibody
IHC (Immunohistochemistry), ELISA
Storage Buffer
PBS with 0.02% sodium azide, 50% glycerol, pH7.3.
Conjugate
Non-conjugated
Immunogen
Recombinant human Caspase recruitment domain-containing protein 8 protein(1-200aa)
Santa Cruz Alternative
Potential replacement for Santa Cruz Biotechnology antibody catalog# sc-68154 / sc-68156
Preparation and Storage
Shipped at 4 degree C. Upon delivery aliquot and store at -20 degree C or -80 degree C. Avoid repeated freeze.
Related Product Information for anti-CARD8 antibody
Inhibits NF-kappa-B activation. May participate in a regulatory mechanism that coordinates cellular responses controlled by NF-kappa-B transcription factor. May be a component of the inflammasome, a protein complex which also includes PYCARD, NALP2 and CASP1 and whose function would be the activation of proinflammatory caspases.
NCBI and Uniprot Product Information
NCBI GI #
NCBI GeneID
NCBI Accession #
NCBI GenBank Nucleotide #
Molecular Weight
60,652 Da
NCBI Official Full Name
caspase recruitment domain-containing protein 8 isoform a
NCBI Official Synonym Full Names
caspase recruitment domain family member 8
NCBI Official Symbol
CARD8
NCBI Official Synonym Symbols
NDPP; DACAR; DAKAR; NDPP1; TUCAN; CARDINAL
NCBI Protein Information
caspase recruitment domain-containing protein 8
UniProt Protein Name
Caspase recruitment domain-containing protein 8
UniProt Gene Name
CARD8
UniProt Synonym Gene Names
KIAA0955; NDPP1; CARDINAL; TUCAN
UniProt Entry Name
CARD8_HUMAN
Customer Reviews
Loading reviews...
Share Your Experience
Similar Products
Product Notes
The CARD8 card8 (Catalog #AAA118335) is an Antibody produced from Rabbit and is intended for research purposes only. The product is available for immediate purchase. The Rabbit anti-human Caspase recruitment domain-containing protein 8 polyclonal Antibody(CARD8) reacts with Human and may cross-react with other species as described in the data sheet. AAA Biotech's Caspase recruitment domain-containing protein 8 can be used in a range of immunoassay formats including, but not limited to, IHC (Immunohistochemistry), ELISA. Researchers should empirically determine the suitability of the CARD8 card8 for an application not listed in the data sheet. Researchers commonly develop new applications and it is an integral, important part of the investigative research process. It is sometimes possible for the material contained within the vial of "Caspase recruitment domain-containing protein 8, Polyclonal Antibody" to become dispersed throughout the inside of the vial, particularly around the seal of said vial, during shipment and storage. We always suggest centrifuging these vials to consolidate all of the liquid away from the lid and to the bottom of the vial prior to opening. Please be advised that certain products may require dry ice for shipping and that, if this is the case, an additional dry ice fee may also be required.Precautions
All products in the AAA Biotech catalog are strictly for research-use only, and are absolutely not suitable for use in any sort of medical, therapeutic, prophylactic, in-vivo, or diagnostic capacity. By purchasing a product from AAA Biotech, you are explicitly certifying that said products will be properly tested and used in line with industry standard. AAA Biotech and its authorized distribution partners reserve the right to refuse to fulfill any order if we have any indication that a purchaser may be intending to use a product outside of our accepted criteria.Disclaimer
Though we do strive to guarantee the information represented in this datasheet, AAA Biotech cannot be held responsible for any oversights or imprecisions. AAA Biotech reserves the right to adjust any aspect of this datasheet at any time and without notice. It is the responsibility of the customer to inform AAA Biotech of any product performance issues observed or experienced within 30 days of receipt of said product. To see additional details on this or any of our other policies, please see our Terms & Conditions page.Item has been added to Shopping Cart
If you are ready to order, navigate to Shopping Cart and get ready to checkout.
