Rabbit Catenin alpha-1 Polyclonal Antibody | anti-CTNNA1 antibody
Anti-CTNNA1 Antibody
Each vial contains 5mg BSA, 0.9mg NaCl, 0.2mg Na2HPO4, 0.05mg NaN3.
IHC (Immunohistochemistry)
(Anti-CTNNA1 Picoband antibody, AAA46069-5.JPGIHC(P): Mouse Intestine Tissue)
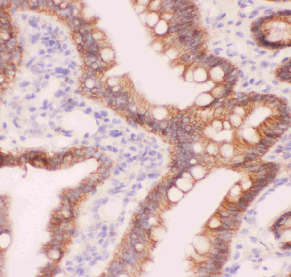
IHC (Immunohistochemistry)
(Anti-CTNNA1 Picoband antibody, AAA46069-4.JPGIHC(P): Human Mammary Tissue)
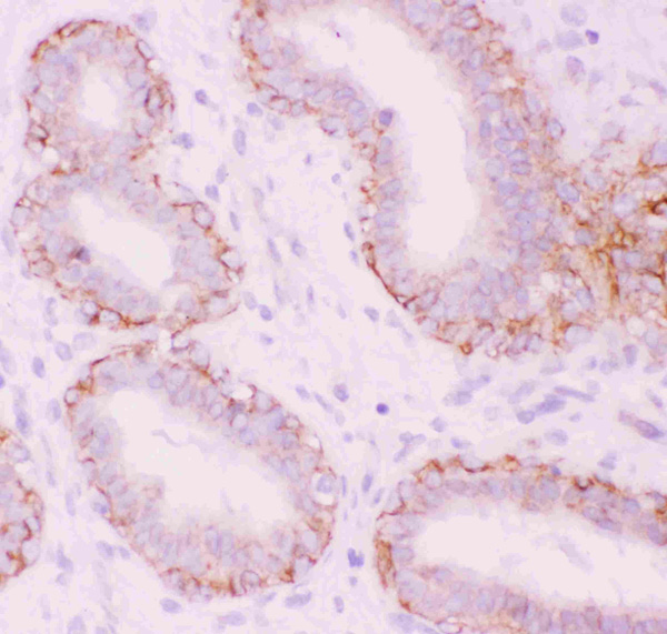
IHC (Immunohistochemisry)
(Anti-CTNNA1 Picoband antibody, AAA46069-3.JPGIHC(P): Rat Intestine Tissue)
Application Data
(Anti-CTNNA1 Picoband antibody, AAA46069-2.jpgAll lanes: Anti CTNNA1 (AAA46069) at 0.5ug/mlLane 1: Rat Liver Tissue Lysate at 50ugLane 2: Rat Lung Tissue Lysate at 50ugLane 3: Rat Cardiac Muscle Tissue Lysate at 50ugLane 4: NIH3T3 Whole Cell Lysate at 40ugLane 5: PC-12 Whole Cell Lysate at 40ugLane 6: HEPG2 Whole Cell Lysate at 40ugLane 7: HELA Whole Cell Lysate at 40ugLane 8: MCF-7 Whole Cell Lysate at 40ugLane 9: HEPA Whole Cell Lysate at 40ugPredicted bind size: 100KDObserved bind size: 100KD)
Application Data
(Anti-CTNNA1 Picoband antibody, AAA46069-1.jpgAll lanes: Anti CTNNA1 (AAA46069) at 0.5ug/mlWB: Human Recombinant CTNNA1 Protein 0.5ngPredicted bind size: 47KDObserved bind size: 47KD)
Background: CTNNA1, also known as Catenin alpha-1 or Catenin (cadherin-associated protein), alpha 1, is a protein that in humans is encoded by the CTNNA1 gene. It is mapped to 5q31.2. When surface epithelium CTNNA1 was ablated, hair follicle development was blocked and epidermal morphogenesis was dramatically affected, with defects in adherens junction formation, intercellular adhesion, and epithelial polarity. In vitro, CTNNA1 null keratinocytes were poorly contact inhibited and grew rapidly. These differences were not dependent upon intercellular adhesion and were in marked contrast to keratinocytes conditionally null for another essential intercellular adhesion protein, desmoplakin Knockout keratinocytes exhibited sustained activation of the Ras-MAPK cascade due to aberrations in growth factor responses. It is concluded that features of precancerous lesions often attributed to defects in cell cycle regulatory genes can be generated by compromising the function of CTNNA1.
NCBI and Uniprot Product Information
Customer Reviews
Loading reviews...
Share Your Experience
Similar Products
Product Notes
The CTNNA1 ctnna1 (Catalog #AAA46069) is an Antibody produced from Rabbit and is intended for research purposes only. The product is available for immediate purchase. The Anti-CTNNA1 Antibody reacts with Human, Mouse, Rat. No cross reactivity with other proteins. and may cross-react with other species as described in the data sheet. AAA Biotech's Catenin alpha-1 can be used in a range of immunoassay formats including, but not limited to, IHC (Immunohistochemistry), IHC (Immunohistochemistry), WB (Western Blot). Researchers should empirically determine the suitability of the CTNNA1 ctnna1 for an application not listed in the data sheet. Researchers commonly develop new applications and it is an integral, important part of the investigative research process. It is sometimes possible for the material contained within the vial of "Catenin alpha-1, Polyclonal Antibody" to become dispersed throughout the inside of the vial, particularly around the seal of said vial, during shipment and storage. We always suggest centrifuging these vials to consolidate all of the liquid away from the lid and to the bottom of the vial prior to opening. Please be advised that certain products may require dry ice for shipping and that, if this is the case, an additional dry ice fee may also be required.Precautions
All products in the AAA Biotech catalog are strictly for research-use only, and are absolutely not suitable for use in any sort of medical, therapeutic, prophylactic, in-vivo, or diagnostic capacity. By purchasing a product from AAA Biotech, you are explicitly certifying that said products will be properly tested and used in line with industry standard. AAA Biotech and its authorized distribution partners reserve the right to refuse to fulfill any order if we have any indication that a purchaser may be intending to use a product outside of our accepted criteria.Disclaimer
Though we do strive to guarantee the information represented in this datasheet, AAA Biotech cannot be held responsible for any oversights or imprecisions. AAA Biotech reserves the right to adjust any aspect of this datasheet at any time and without notice. It is the responsibility of the customer to inform AAA Biotech of any product performance issues observed or experienced within 30 days of receipt of said product. To see additional details on this or any of our other policies, please see our Terms & Conditions page.Item has been added to Shopping Cart
If you are ready to order, navigate to Shopping Cart and get ready to checkout.
