Rabbit anti-Human Cathepsin V (CTSV) Polyclonal Antibody | anti-CTSV antibody
Polyclonal Antibody to Cathepsin V (CTSV)
Gene Names
CTSV; CTSU; CATL2; CTSL2
Reactivity
Human
Applications
Flow Cytometry, Functional Assay, Immunofluorescence, Immunoprecipitation, Western Blot, ELISA, Immunohistochemistry, Immunocytochemistry
Purity
Antigen-specific Affinity Chromatography.
Synonyms
Cathepsin V (CTSV), Antibody; Polyclonal Antibody to Cathepsin V (CTSV); anti-CTSV antibody
Host
Rabbit
Reactivity
Human
Clonality
Polyclonal
Specificity
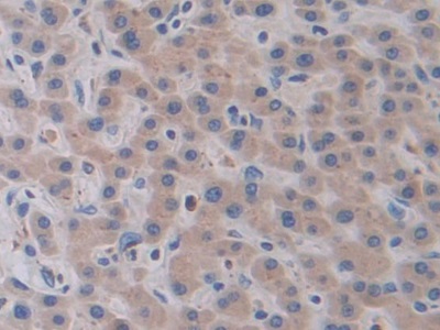
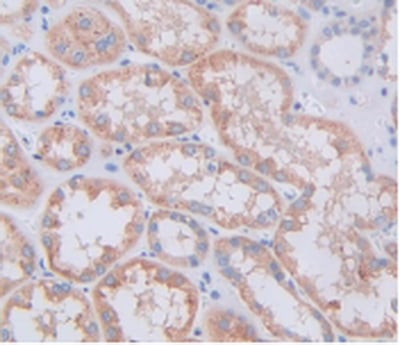
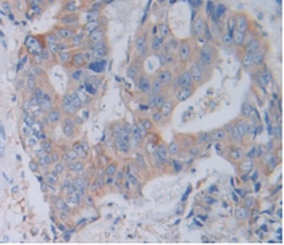
The antibody is a rabbit polyclonal antibody raised against CTSV. It has been selected for its ability to recognize CTSV in immunohistochemical staining andwestern blotting.
Purity/Purification
Antigen-specific Affinity Chromatography.
Form/Format
Supplied as solution form in PBS, pH7.4, containing 0.02% NaN3,50% glycerol.
Concentration
500ug/mL (varies by lot)
Sequence
Antigen: The target protein is fused with N-terminal His-Tag and its sequence is listed below.
MGHHHHHHSGS-GEYSQGK HGFTMAMNAF GDMTNEEFRQ MMGCFRNQKF RKGKVFREPL FLDLPKSVDW RKKGYVTPVK NQKQCGSCWA FSATGALEGQ MFRKTGKLVS LSEQNLVDCS RPQGNQGCNG GFMARAFQYV KENGGLDSEE SYPYVAVDEI CKYRPENSVA NDTGFTVVAP GKEKALMKAV ATVGPISVAM DAGHSSFQFY KSGIYFEPDC SSKNLDHGVL VVGYGFEGAN SNNSKYWLVK NSWGPEWGSN GYVKIAKDKN NHCGIATAAS YPNV
MGHHHHHHSGS-GEYSQGK HGFTMAMNAF GDMTNEEFRQ MMGCFRNQKF RKGKVFREPL FLDLPKSVDW RKKGYVTPVK NQKQCGSCWA FSATGALEGQ MFRKTGKLVS LSEQNLVDCS RPQGNQGCNG GFMARAFQYV KENGGLDSEE SYPYVAVDEI CKYRPENSVA NDTGFTVVAP GKEKALMKAV ATVGPISVAM DAGHSSFQFY KSGIYFEPDC SSKNLDHGVL VVGYGFEGAN SNNSKYWLVK NSWGPEWGSN GYVKIAKDKN NHCGIATAAS YPNV
Sequence Length
334
Applicable Applications for anti-CTSV antibody
FCM/FACS (Flow Cytometry), IF (Immunofluorescence), IP (Immunoprecipitation), WB (Western Blot), ELISA, IHC (Immunohistochemistry), ICC (Immunocytochemistry)
Source
Polyclonal antibody preparation
Immunogen
Recombinant Cathepsin V (CTSV)
Cross Reactivity
Human
Traits
Liquid
Conjugated Antibody
The APC conjugated antibody version of this item is also available as
Preparation and Storage
Storage: Avoid repeated freeze/thaw cycles. Store at 4oC for frequent use. Aliquot and store at -20 degree C for 12 months.
Stability Test: The thermal stability is described by the loss rate. The loss rate was determined by accelerated thermal degradation test, that is, incubate the protein at 37 degree C for 48h, and no obvious degradation and precipitation were observed.The loss rate is less than 5% within the expiration date under appropriate storage condition.
Stability Test: The thermal stability is described by the loss rate. The loss rate was determined by accelerated thermal degradation test, that is, incubate the protein at 37 degree C for 48h, and no obvious degradation and precipitation were observed.The loss rate is less than 5% within the expiration date under appropriate storage condition.
NCBI and Uniprot Product Information
NCBI GI #
NCBI GeneID
NCBI Accession #
NCBI GenBank Nucleotide #
Molecular Weight
37,329 Da
NCBI Official Full Name
cathepsin L2 preproprotein
NCBI Official Synonym Full Names
cathepsin V
NCBI Official Symbol
CTSV
NCBI Official Synonym Symbols
CTSU; CATL2; CTSL2
NCBI Protein Information
cathepsin L2
UniProt Protein Name
Cathepsin L2
UniProt Gene Name
CTSV
UniProt Synonym Gene Names
CATL2; CTSL2; CTSU
Customer Reviews
Loading reviews...
Share Your Experience
Similar Products
Product Notes
The CTSV ctsv (Catalog #AAA133164) is an Antibody produced from Rabbit and is intended for research purposes only. The product is available for immediate purchase. The Polyclonal Antibody to Cathepsin V (CTSV) reacts with Human and may cross-react with other species as described in the data sheet. AAA Biotech's Cathepsin V (CTSV) can be used in a range of immunoassay formats including, but not limited to, FCM/FACS (Flow Cytometry), IF (Immunofluorescence), IP (Immunoprecipitation), WB (Western Blot), ELISA, IHC (Immunohistochemistry), ICC (Immunocytochemistry). Researchers should empirically determine the suitability of the CTSV ctsv for an application not listed in the data sheet. Researchers commonly develop new applications and it is an integral, important part of the investigative research process. The amino acid sequence is listed below: Antigen: The target protein is fused with N-terminal His-Tag and its sequence is listed below. MGHHHHHHSG S-GEYSQGK HGFTMAMNAF GDMTNEEFRQ MMGCFRNQKF RKGKVFREPL FLDLPKSVDW RKKGYVTPVK NQKQCGSCWA FSATGALEGQ MFRKTGKLVS LSEQNLVDCS RPQGNQGCNG GFMARAFQYV KENGGLDSEE SYPYVAVDEI CKYRPENSVA NDTGFTVVAP GKEKALMKAV ATVGPISVAM DAGHSSFQFY KSGIYFEPDC SSKNLDHGVL VVGYGFEGAN SNNSKYWLVK NSWGPEWGSN GYVKIAKDKN NHCGIATAAS YPNV. It is sometimes possible for the material contained within the vial of "Cathepsin V (CTSV), Polyclonal Antibody" to become dispersed throughout the inside of the vial, particularly around the seal of said vial, during shipment and storage. We always suggest centrifuging these vials to consolidate all of the liquid away from the lid and to the bottom of the vial prior to opening. Please be advised that certain products may require dry ice for shipping and that, if this is the case, an additional dry ice fee may also be required.Precautions
All products in the AAA Biotech catalog are strictly for research-use only, and are absolutely not suitable for use in any sort of medical, therapeutic, prophylactic, in-vivo, or diagnostic capacity. By purchasing a product from AAA Biotech, you are explicitly certifying that said products will be properly tested and used in line with industry standard. AAA Biotech and its authorized distribution partners reserve the right to refuse to fulfill any order if we have any indication that a purchaser may be intending to use a product outside of our accepted criteria.Disclaimer
Though we do strive to guarantee the information represented in this datasheet, AAA Biotech cannot be held responsible for any oversights or imprecisions. AAA Biotech reserves the right to adjust any aspect of this datasheet at any time and without notice. It is the responsibility of the customer to inform AAA Biotech of any product performance issues observed or experienced within 30 days of receipt of said product. To see additional details on this or any of our other policies, please see our Terms & Conditions page.Item has been added to Shopping Cart
If you are ready to order, navigate to Shopping Cart and get ready to checkout.
