Rabbit Cav3.2 Polyclonal Antibody | anti-Cav3.2 antibody
Cav3.2 Rabbit Polyclonal Antibody
Gene Names
CACNA1H; ECA6; EIG6; Cav3.2; CACNA1HB
Reactivity
Human, Rat, Mouse
Applications
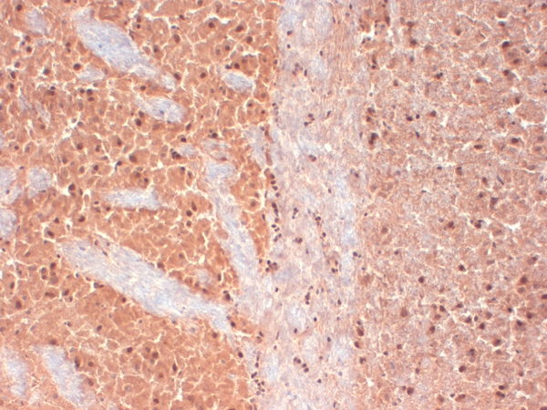
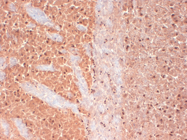
Immunofluorescence, Immunohistochemistry
Purity
The antibody was affinity-purified from rabbit antiserum by affinity-chromatography using specific immunogen.
Synonyms
Cav3.2, Antibody; Cav3.2 Rabbit Polyclonal Antibody; CACNA1H; Voltage-dependent T-type calcium channel subunit alpha-1H; Low-voltage-activated calcium channel alpha1 3.2 subunit; Voltage-gated calcium channel subunit alpha Cav3.2; YM3537; BH6842; Voltage-dependent T-type calcium channel subunit alpha-1H (Low-voltage-activated calcium channel alpha1 3.2 subunit)(Voltage-gated calcium channel subunit alpha Cav3.2); anti-Cav3.2 antibody
Host
Rabbit
Reactivity
Human, Rat, Mouse
Clonality
Polyclonal
Specificity
Cav3.2 protein (A208) detects endogenous levels of Cav3.2
Purity/Purification
The antibody was affinity-purified from rabbit antiserum by affinity-chromatography using specific immunogen.
Form/Format
Liquid in PBS containing 50% glycerol, 0.5% BSA and 0.02% sodium azide.
Concentration
1mg/ml (varies by lot)
Applicable Applications for anti-Cav3.2 antibody
IF (Immunofluorescence), IHC (Immunohistochemistry)
Immunogen
Synthetic Peptide of Cav3.2
Modification
Unmodified/Total
Preparation and Storage
Store at -20 degree C/1 year
Related Product Information for anti-Cav3.2 antibody
calcium voltage-gated channel subunit alpha1 H (CACNA1H) Homo sapiens This gene encodes a T-type member of the alpha-1 subunit family, a protein in the voltage-dependent calcium channel complex. Calcium channels mediate the influx of calcium ions into the cell upon membrane polarization and consist of a complex of alpha-1, alpha-2/delta, beta, and gamma subunits in a 1:1:1:1 ratio. The alpha-1 subunit has 24 transmembrane segments and forms the pore through which ions pass into the cell. There are multiple isoforms of each of the proteins in the complex, either encoded by different genes or the result of alternative splicing of transcripts. Alternate transcriptional splice variants, encoding different isoforms, have been characterized for the gene described here. Studies suggest certain mutations in this gene lead to childhood absence epilepsy (CAE). [provided by RefSeq, Jul 2008]
NCBI and Uniprot Product Information
NCBI GI #
NCBI GeneID
NCBI Accession #
NCBI GenBank Nucleotide #
Molecular Weight
259,163 Da
NCBI Official Full Name
voltage-dependent T-type calcium channel subunit alpha-1H isoform b
NCBI Official Synonym Full Names
calcium channel, voltage-dependent, T type, alpha 1H subunit
NCBI Official Symbol
CACNA1H
NCBI Official Synonym Symbols
ECA6; EIG6; Cav3.2; CACNA1HB
NCBI Protein Information
voltage-dependent T-type calcium channel subunit alpha-1H; voltage-gated calcium channel alpha subunit Cav3.2; voltage-gated calcium channel alpha subunit CavT.2; voltage-gated calcium channel subunit alpha Cav3.2; low-voltage-activated calcium channel al
UniProt Protein Name
Voltage-dependent T-type calcium channel subunit alpha-1H
UniProt Gene Name
CACNA1H
UniProt Entry Name
CAC1H_HUMAN
Customer Reviews
Loading reviews...
Share Your Experience
Similar Products
Product Notes
The Cav3.2 cacna1h (Catalog #AAA318903) is an Antibody produced from Rabbit and is intended for research purposes only. The product is available for immediate purchase. The Cav3.2 Rabbit Polyclonal Antibody reacts with Human, Rat, Mouse and may cross-react with other species as described in the data sheet. AAA Biotech's Cav3.2 can be used in a range of immunoassay formats including, but not limited to, IF (Immunofluorescence), IHC (Immunohistochemistry). Researchers should empirically determine the suitability of the Cav3.2 cacna1h for an application not listed in the data sheet. Researchers commonly develop new applications and it is an integral, important part of the investigative research process. It is sometimes possible for the material contained within the vial of "Cav3.2, Polyclonal Antibody" to become dispersed throughout the inside of the vial, particularly around the seal of said vial, during shipment and storage. We always suggest centrifuging these vials to consolidate all of the liquid away from the lid and to the bottom of the vial prior to opening. Please be advised that certain products may require dry ice for shipping and that, if this is the case, an additional dry ice fee may also be required.Precautions
All products in the AAA Biotech catalog are strictly for research-use only, and are absolutely not suitable for use in any sort of medical, therapeutic, prophylactic, in-vivo, or diagnostic capacity. By purchasing a product from AAA Biotech, you are explicitly certifying that said products will be properly tested and used in line with industry standard. AAA Biotech and its authorized distribution partners reserve the right to refuse to fulfill any order if we have any indication that a purchaser may be intending to use a product outside of our accepted criteria.Disclaimer
Though we do strive to guarantee the information represented in this datasheet, AAA Biotech cannot be held responsible for any oversights or imprecisions. AAA Biotech reserves the right to adjust any aspect of this datasheet at any time and without notice. It is the responsibility of the customer to inform AAA Biotech of any product performance issues observed or experienced within 30 days of receipt of said product. To see additional details on this or any of our other policies, please see our Terms & Conditions page.Item has been added to Shopping Cart
If you are ready to order, navigate to Shopping Cart and get ready to checkout.
