Rabbit CBLB Polyclonal Antibody | anti-CBLB antibody
CBLB Antibody
Phosphate buffered saline, pH 7.4, 150mM NaCl, 0.02% sodium azide and 50% glycerol.
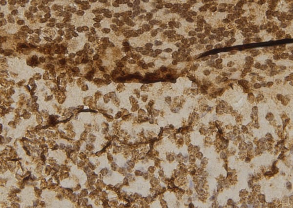
IHC (Immunohiostchemistry)
(AAA326517 at 1/100 staining Mouse brain tissue by IHC-P. The sample was formaldehyde fixed and a heat mediated antigen retrieval step in citrate buffer was performed. The sample was then blocked and incubated with the antibody for 1.5 hours at 22 degree C. An HRP conjugated goat anti-rabbit antibody was used as the secondary.)
WB (Western Blot)
(Western blot analysis of extracts of brain tissue, using CBLB antibody. The lane on the left is treated with the antigen-specific peptide.)
Function: E3 ubiquitin-protein ligase which accepts ubiquitin from specific E2 ubiquitin-conjugating enzymes, and transfers it to substrates, generally promoting their degradation by the proteasome. Negatively regulates TCR (T-cell receptor), BCR (B-cell receptor) and FCER1 (high affinity immunoglobulin epsilon receptor) signal transduction pathways. In naive T-cells, inhibits VAV1 activation upon TCR engagement and imposes a requirement for CD28 costimulation for proliferation and IL-2 production. Also acts by promoting PIK3R1/p85 ubiquitination, which impairs its recruitment to the TCR and subsequent activation. In activated T-cells, inhibits PLCG1 activation and calcium mobilization upon restimulation and promotes anergy. In B-cells, acts by ubiquitinating SYK and promoting its proteasomal degradation. Slightly promotes SRC ubiquitination. May be involved in EGFR ubiquitination and internalization. May be functionally coupled with the E2 ubiquitin-protein ligase UB2D3.
Subunit Structure: Interacts with SH3 domain-containing proteins LCK, CRK and SORBS1. Interacts with LCP2 and ZAP70. May interact with CBL. Interacts with SH3 domain-containing proteins VAV1, FYN, FGR, PLCG1, GRB2, CRKL, PIK3R1 and SH3KBP1/CIN85. Identified in heterotrimeric complexes with SH3KBP1/CIN85, CD2AP and ARHGEF7, where one CBLB peptide binds two copies of the other protein. Interacts with poly-ubiquitinated proteins. Dimerization is required for the binding of poly-ubiquitin, but not for the binding of mono-ubiquitin. Interacts with EGFR (phosphorylated).
Post-translational Modifications: Phosphorylated on tyrosine and serine residues upon TCR or BCR activation, and upon various types of cell stimulation. Auto-ubiquitinated upon EGF-mediated cell activation or upon T-cell costimulation by CD28; which promotes proteasomal degradation.
Similarity: The N-terminus is composed of the phosphotyrosine binding (PTB) domain, a short linker region and the RING-type zinc finger. The PTB domain, which is also called TKB (tyrosine kinase binding) domain, is composed of three different subdomains: a four-helix bundle (4H), a calcium-binding EF hand and a divergent SH2 domain.The RING-type zinc finger domain mediates binding to an E2 ubiquitin-conjugating enzyme.The UBA domain interacts with poly-ubiquitinated proteins.
NCBI and Uniprot Product Information
Predicted: 110 kDa
Customer Reviews
Loading reviews...
Share Your Experience
Similar Products
Product Notes
The CBLB cblb (Catalog #AAA326517) is an Antibody produced from Rabbit and is intended for research purposes only. The product is available for immediate purchase. The CBLB Antibody reacts with Human, Mouse, Rat and may cross-react with other species as described in the data sheet. AAA Biotech's CBLB can be used in a range of immunoassay formats including, but not limited to, ELISA, IHC (Immunohistochemistry), WB (Western Blot). Researchers should empirically determine the suitability of the CBLB cblb for an application not listed in the data sheet. Researchers commonly develop new applications and it is an integral, important part of the investigative research process. It is sometimes possible for the material contained within the vial of "CBLB, Polyclonal Antibody" to become dispersed throughout the inside of the vial, particularly around the seal of said vial, during shipment and storage. We always suggest centrifuging these vials to consolidate all of the liquid away from the lid and to the bottom of the vial prior to opening. Please be advised that certain products may require dry ice for shipping and that, if this is the case, an additional dry ice fee may also be required.Precautions
All products in the AAA Biotech catalog are strictly for research-use only, and are absolutely not suitable for use in any sort of medical, therapeutic, prophylactic, in-vivo, or diagnostic capacity. By purchasing a product from AAA Biotech, you are explicitly certifying that said products will be properly tested and used in line with industry standard. AAA Biotech and its authorized distribution partners reserve the right to refuse to fulfill any order if we have any indication that a purchaser may be intending to use a product outside of our accepted criteria.Disclaimer
Though we do strive to guarantee the information represented in this datasheet, AAA Biotech cannot be held responsible for any oversights or imprecisions. AAA Biotech reserves the right to adjust any aspect of this datasheet at any time and without notice. It is the responsibility of the customer to inform AAA Biotech of any product performance issues observed or experienced within 30 days of receipt of said product. To see additional details on this or any of our other policies, please see our Terms & Conditions page.Item has been added to Shopping Cart
If you are ready to order, navigate to Shopping Cart and get ready to checkout.
