Rabbit anti-Human CCDC106 Polyclonal Antibody | anti-CCDC106 antibody
CCDC106 Antibody
Gene Names
CCDC106; ZNF581; HSU79303
Reactivity
Human
Applications
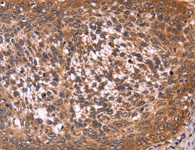
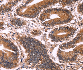
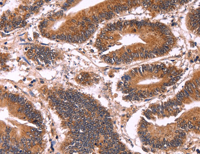
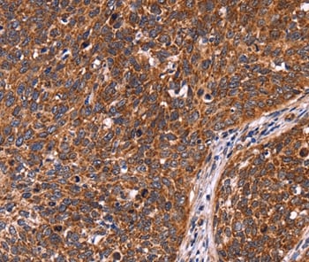
Immunohistochemistry
Purity
Antigen affinity purification.
Synonyms
CCDC106, Antibody; CCDC106 Antibody; ZNF581; HSU79303; anti-CCDC106 antibody
Host
Rabbit
Reactivity
Human
Clonality
Polyclonal
Specificity
The antibody detects endogenous levels of total CCDC106 protein.
Purity/Purification
Antigen affinity purification.
Form/Format
Rabbit IgG in pH7.3 PBS, 0.05% NaN3, 50% Glycerol.
Concentration
2.6 mg/ml (varies by lot)
Sequence Length
280
Applicable Applications for anti-CCDC106 antibody
IHC (Immunohistochemistry)
Immunogen Type
Recombinant Protein
Immunogen Description
Fusion protein corresponding to residues near the N terminal of human coiled-coil domain containing 106
Target Name
CCDC106
Preparation and Storage
Store at -20 degree C
Related Product Information for anti-CCDC106 antibody
The coiled-coil domain is a common protein motif that is often involved in protein oligomerization and is found in proteins such as transcription factors and intermediate filaments. CCDC106 was initially identified as a p53-interacting protein by yeast two-hybrid screening. Other experiments demonstrated that CCDC106 co-localizes and interacts with p53 in the nucleus, inhibiting the transcriptional activity of p53 and stimulating p53 protein degradation, indicating that at least one of the functions of CCDC106 is acting as a negative regulator of p53.
Product Categories/Family for anti-CCDC106 antibody
NCBI and Uniprot Product Information
NCBI GI #
NCBI GeneID
NCBI Accession #
NCBI GenBank Nucleotide #
Molecular Weight
32,032 Da
NCBI Official Full Name
coiled-coil domain-containing protein 106
NCBI Official Synonym Full Names
coiled-coil domain containing 106
NCBI Official Symbol
CCDC106
NCBI Official Synonym Symbols
ZNF581; HSU79303
NCBI Protein Information
coiled-coil domain-containing protein 106
UniProt Protein Name
Coiled-coil domain-containing protein 106
UniProt Gene Name
CCDC106
UniProt Entry Name
CC106_HUMAN
Customer Reviews
Loading reviews...
Share Your Experience
Similar Products
Product Notes
The CCDC106 ccdc106 (Catalog #AAA305850) is an Antibody produced from Rabbit and is intended for research purposes only. The product is available for immediate purchase. The CCDC106 Antibody reacts with Human and may cross-react with other species as described in the data sheet. AAA Biotech's CCDC106 can be used in a range of immunoassay formats including, but not limited to, IHC (Immunohistochemistry). Researchers should empirically determine the suitability of the CCDC106 ccdc106 for an application not listed in the data sheet. Researchers commonly develop new applications and it is an integral, important part of the investigative research process. It is sometimes possible for the material contained within the vial of "CCDC106, Polyclonal Antibody" to become dispersed throughout the inside of the vial, particularly around the seal of said vial, during shipment and storage. We always suggest centrifuging these vials to consolidate all of the liquid away from the lid and to the bottom of the vial prior to opening. Please be advised that certain products may require dry ice for shipping and that, if this is the case, an additional dry ice fee may also be required.Precautions
All products in the AAA Biotech catalog are strictly for research-use only, and are absolutely not suitable for use in any sort of medical, therapeutic, prophylactic, in-vivo, or diagnostic capacity. By purchasing a product from AAA Biotech, you are explicitly certifying that said products will be properly tested and used in line with industry standard. AAA Biotech and its authorized distribution partners reserve the right to refuse to fulfill any order if we have any indication that a purchaser may be intending to use a product outside of our accepted criteria.Disclaimer
Though we do strive to guarantee the information represented in this datasheet, AAA Biotech cannot be held responsible for any oversights or imprecisions. AAA Biotech reserves the right to adjust any aspect of this datasheet at any time and without notice. It is the responsibility of the customer to inform AAA Biotech of any product performance issues observed or experienced within 30 days of receipt of said product. To see additional details on this or any of our other policies, please see our Terms & Conditions page.Item has been added to Shopping Cart
If you are ready to order, navigate to Shopping Cart and get ready to checkout.
