Host
Rabbit
Clonality
Polyclonal
Isotype
IgG
Purity/Purification
Affinity purification
Form/Format
PBS with 0.02% sodium azide, 50% glycerol, pH7.3
Sequence Length
93
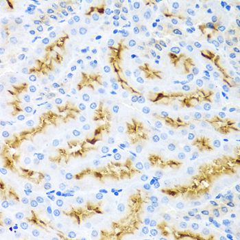
Applicable Applications for anti-CCL22 antibody
IHC (Immunohistochemistry)
Immunogen
Recombinant fusion protein containing a sequence corresponding to amino acids 1-93 of human CCL22 (NP_002981.2)
Species Reactivity/Cross Reactivity
Human, Rat
Preparation and Storage
Store at -20 degree C. Avoid freeze / thaw cycles.|Buffer: PBS with 0.09% Sodium azide,50% glycerol,pH7.3.
Related Product Information for anti-CCL22 antibody
This antimicrobial gene is one of several Cys-Cys (CC) cytokine genes clustered on the q arm of chromosome 16. Cytokines are a family of secreted proteins involved in immunoregulatory and inflammatory processes. The CC cytokines are proteins characterized by two adjacent cysteines. The cytokine encoded by this gene displays chemotactic activity for monocytes, dendritic cells, natural killer cells and for chronically activated T lymphocytes. It also displays a mild activity for primary activated T lymphocytes and has no chemoattractant activity for neutrophils, eosinophils and resting T lymphocytes. The product of this gene binds to chemokine receptor CCR4. This chemokine may play a role in the trafficking of activated T lymphocytes to inflammatory sites and other aspects of activated T lymphocyte physiology.
Product Categories/Family for anti-CCL22 antibody
NCBI and Uniprot Product Information
NCBI GI #
NCBI GeneID
Molecular Weight
Calculated MW: 10 kDa
Observed MW: Refer to figures
Observed MW: Refer to figures
NCBI Official Full Name
C-C motif chemokine 22
NCBI Official Synonym Full Names
chemokine (C-C motif) ligand 22
NCBI Official Symbol
CCL22
NCBI Official Synonym Symbols
MDC; ABCD-1; SCYA22; STCP-1; DC/B-CK; A-152E5.1
NCBI Protein Information
C-C motif chemokine 22; MDC(1-69); CC chemokine STCP-1; macrophage-derived chemokine; small inducible cytokine A22; small-inducible cytokine A22; stimulated T cell chemotactic protein 1; stimulated T-cell chemotactic protein 1; small inducible cytokine subfamily A (Cys-Cys), member 22
UniProt Protein Name
C-C motif chemokine 22
UniProt Gene Name
CCL22
UniProt Synonym Gene Names
MDC; SCYA22
UniProt Entry Name
CCL22_HUMAN
Customer Reviews
Loading reviews...
Share Your Experience
Similar Products
Product Notes
The CCL22 ccl22 (Catalog #AAA36916) is an Antibody produced from Rabbit and is intended for research purposes only. The product is available for immediate purchase. AAA Biotech's CCL22 can be used in a range of immunoassay formats including, but not limited to, IHC (Immunohistochemistry). Researchers should empirically determine the suitability of the CCL22 ccl22 for an application not listed in the data sheet. Researchers commonly develop new applications and it is an integral, important part of the investigative research process. It is sometimes possible for the material contained within the vial of "CCL22, Polyclonal Antibody" to become dispersed throughout the inside of the vial, particularly around the seal of said vial, during shipment and storage. We always suggest centrifuging these vials to consolidate all of the liquid away from the lid and to the bottom of the vial prior to opening. Please be advised that certain products may require dry ice for shipping and that, if this is the case, an additional dry ice fee may also be required.Precautions
All products in the AAA Biotech catalog are strictly for research-use only, and are absolutely not suitable for use in any sort of medical, therapeutic, prophylactic, in-vivo, or diagnostic capacity. By purchasing a product from AAA Biotech, you are explicitly certifying that said products will be properly tested and used in line with industry standard. AAA Biotech and its authorized distribution partners reserve the right to refuse to fulfill any order if we have any indication that a purchaser may be intending to use a product outside of our accepted criteria.Disclaimer
Though we do strive to guarantee the information represented in this datasheet, AAA Biotech cannot be held responsible for any oversights or imprecisions. AAA Biotech reserves the right to adjust any aspect of this datasheet at any time and without notice. It is the responsibility of the customer to inform AAA Biotech of any product performance issues observed or experienced within 30 days of receipt of said product. To see additional details on this or any of our other policies, please see our Terms & Conditions page.Item has been added to Shopping Cart
If you are ready to order, navigate to Shopping Cart and get ready to checkout.
