Rabbit anti-Human, Mouse CCM2 Polyclonal Antibody | anti-CCM2 antibody
CCM2 Antibody
Gene Names
CCM2; OSM; C7orf22; PP10187
Reactivity
Human, Mouse
Applications
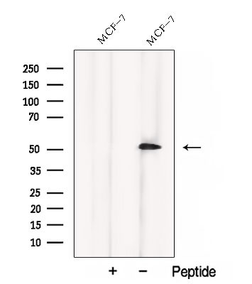
Western Blot
Purity
The antiserum was purified by peptide affinity chromatography using SulfoLink Coupling Resin (Thermo Fisher Scientific).
Synonyms
CCM2, Antibody; CCM2 Antibody; C7orf22; Ccm2; CCM2 gene; CCM2_HUMAN; Cerebral cavernous malformation 2; Cerebral cavernous malformations 2 protein; Chromosome 7 open reading frame 22; Malcavernin; MGC4067; MGC4607; MGC74868; OSM; Osmosensing scaffold for MEKK3; OTTHUMP00000159554; OTTHUMP00000214270; OTTHUMP00000214271; OTTHUMP00000214273; PP10187; anti-CCM2 antibody
Host
Rabbit
Reactivity
Human, Mouse
Clonality
Polyclonal
Isotype
IgG
Specificity
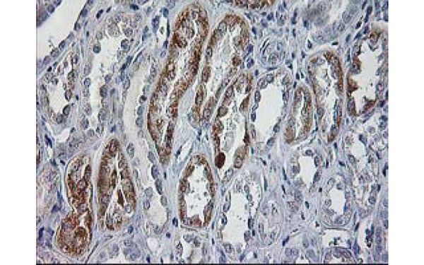
CCM2 Antibody detects endogenous levels of CCM2.
Purity/Purification
The antiserum was purified by peptide affinity chromatography using SulfoLink Coupling Resin (Thermo Fisher Scientific).
Form/Format
Rabbit IgG in phosphate buffered saline , pH 7.4, 150mM NaCl, 0.02% sodium azide and 50% glycerol
Concentration
1mg/ml (varies by lot)
Sequence Length
465
Applicable Applications for anti-CCM2 antibody
WB (Western Blot)
Immunogen
A synthesized peptide derived from human CCM2, corresponding to a region within the internal amino acids.
Preparation and Storage
Store at -20°C. Stable for 12 months from date of receipt.
Related Product Information for anti-CCM2 antibody
Description: Component of the CCM signaling pathway which is a crucial regulator of heart and vessel formation and integrity. May act through the stabilization of endothelial cell junctions (By similarity). May function as a scaffold protein for MAP2K3-MAP3K3 signaling. Seems to play a major role in the modulation of MAP3K3-dependent p38 activation induced by hyperosmotic shock (By similarity).
Subunit Structure: Part of a complex with MAP2K3, MAP3K3 and RAC1. Binds RAC1 directly and independently of its nucleotide-bound state (By similarity). Interacts with HEG1 and KRIT1; KRIT1 greatly facilitates the interaction with HEG1 (By similarity). Interacts with PDCD10.
Similarity: The C-terminal region constitutes an independently folded domain that has structural similarity with the USH1C (harmonin) N-terminus, despite very low sequence similarity. Belongs to the CCM2 family.
Subunit Structure: Part of a complex with MAP2K3, MAP3K3 and RAC1. Binds RAC1 directly and independently of its nucleotide-bound state (By similarity). Interacts with HEG1 and KRIT1; KRIT1 greatly facilitates the interaction with HEG1 (By similarity). Interacts with PDCD10.
Similarity: The C-terminal region constitutes an independently folded domain that has structural similarity with the USH1C (harmonin) N-terminus, despite very low sequence similarity. Belongs to the CCM2 family.
NCBI and Uniprot Product Information
NCBI GI #
NCBI GeneID
NCBI Accession #
NCBI GenBank Nucleotide #
UniProt Accession #
Molecular Weight
52 kDa
NCBI Official Full Name
cerebral cavernous malformations 2 protein isoform 1
NCBI Official Synonym Full Names
CCM2 scaffold protein
NCBI Official Symbol
CCM2
NCBI Official Synonym Symbols
OSM; C7orf22; PP10187
NCBI Protein Information
cerebral cavernous malformations 2 protein
UniProt Protein Name
Malcavernin
UniProt Gene Name
CCM2
UniProt Synonym Gene Names
C7orf22
UniProt Entry Name
CCM2_HUMAN
Customer Reviews
Loading reviews...
Share Your Experience
Similar Products
Product Notes
The CCM2 ccm2 (Catalog #AAA328802) is an Antibody produced from Rabbit and is intended for research purposes only. The product is available for immediate purchase. The CCM2 Antibody reacts with Human, Mouse and may cross-react with other species as described in the data sheet. AAA Biotech's CCM2 can be used in a range of immunoassay formats including, but not limited to, WB (Western Blot). Researchers should empirically determine the suitability of the CCM2 ccm2 for an application not listed in the data sheet. Researchers commonly develop new applications and it is an integral, important part of the investigative research process. It is sometimes possible for the material contained within the vial of "CCM2, Polyclonal Antibody" to become dispersed throughout the inside of the vial, particularly around the seal of said vial, during shipment and storage. We always suggest centrifuging these vials to consolidate all of the liquid away from the lid and to the bottom of the vial prior to opening. Please be advised that certain products may require dry ice for shipping and that, if this is the case, an additional dry ice fee may also be required.Precautions
All products in the AAA Biotech catalog are strictly for research-use only, and are absolutely not suitable for use in any sort of medical, therapeutic, prophylactic, in-vivo, or diagnostic capacity. By purchasing a product from AAA Biotech, you are explicitly certifying that said products will be properly tested and used in line with industry standard. AAA Biotech and its authorized distribution partners reserve the right to refuse to fulfill any order if we have any indication that a purchaser may be intending to use a product outside of our accepted criteria.Disclaimer
Though we do strive to guarantee the information represented in this datasheet, AAA Biotech cannot be held responsible for any oversights or imprecisions. AAA Biotech reserves the right to adjust any aspect of this datasheet at any time and without notice. It is the responsibility of the customer to inform AAA Biotech of any product performance issues observed or experienced within 30 days of receipt of said product. To see additional details on this or any of our other policies, please see our Terms & Conditions page.Item has been added to Shopping Cart
If you are ready to order, navigate to Shopping Cart and get ready to checkout.
