Rabbit CD13/Anpep Polyclonal Antibody | anti-Anpep antibody
Anti-CD13/Anpep Antibody
Gene Names
Anpep; Apm; Apn; KZP; AP-M; AP-N; Lap1; rAPN
Reactivity
Human, Mouse, Rat
Applications
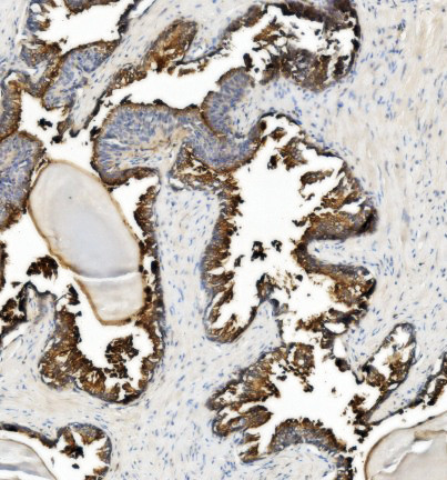
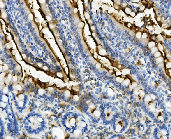
ELISA, Immunohistochemistry, Western Blot
Purity
Immunogen affinity purified.
Synonyms
CD13/Anpep, Antibody; Anti-CD13/Anpep Antibody; Aminopeptidase N; AP-N; rAPN; Alanyl aminopeptidase; Aminopeptidase M; AP-M; Kidney Zn peptidase; KZP; Microsomal aminopeptidase; CD13; Anpep; alanyl aminopeptidase, membrane; anti-Anpep antibody
Host
Rabbit
Reactivity
Human, Mouse, Rat
Clonality
Polyclonal
Isotype
IgG
Specificity
No cross reactivity with other proteins.
Purity/Purification
Immunogen affinity purified.
Form/Format
Lyophilized
Each vial contains 4mg Trehalose, 0.9mg NaCl, 0.2mg Na2HPO4, 0.05mg NaN3.
Each vial contains 4mg Trehalose, 0.9mg NaCl, 0.2mg Na2HPO4, 0.05mg NaN3.
Sequence Length
965
Applicable Applications for anti-Anpep antibody
ELISA (Direct ELISA), IHC (Immunohistochemistry), WB (Western Blot)
Immunogen
E Coli-derived rat CD13/Anpep recombinant protein (Position: Q642-S965).
Reconstitution
Add 0.2ml of distilled water will yield a concentration of 500ug/ml.
Preparation and Storage
Store at -20 degree C for one year. After reconstitution, at 4 degree C for one month. It can also be aliquotted and stored frozen store at -20 degree C for a longer time. Avoid repeated freezing and thawing.
Related Product Information for anti-Anpep antibody
Description: Rabbit IgG polyclonal antibody for CD13/Anpep detection. Tested with WB, IHC-P, Direct ELISA in Human; Mouse; Rat.
Background: Membrane alanyl aminopeptidase (EC 3.4.11.2) also known as alanyl aminopeptidase (AAP) or aminopeptidase N (AP-N) is an enzyme that in humans is encoded by the ANPEP gene. It is mapped to 1q31. Aminopeptidase N is located in the small-intestinal and renal microvillar membrane, and also in other plasma membranes. In the small intestine aminopeptidase N plays a role in the final digestion of peptides generated from hydrolysis of proteins by gastric and pancreatic proteases. Its function in proximal tubular epithelial cells and other cell types is less clear. The large extracellular carboxyterminal domain contains a pentapeptide consensus sequence characteristic of members of the zinc-binding metalloproteinase superfamily. Sequence comparisons with known enzymes of this class showed that CD13 and aminopeptidase N are identical. The latter enzyme was thought to be involved in the metabolism of regulatory peptides by diverse cell types, including small intestinal and renal tubular epithelial cells, macrophages, granulocytes, and synaptic membranes from the CNS. Human aminopeptidase N is a receptor for one strain of human coronavirus that is an important cause of upper respiratory tract infections. Defects in this gene appear to be a cause of various types of leukemia or lymphoma.
Background: Membrane alanyl aminopeptidase (EC 3.4.11.2) also known as alanyl aminopeptidase (AAP) or aminopeptidase N (AP-N) is an enzyme that in humans is encoded by the ANPEP gene. It is mapped to 1q31. Aminopeptidase N is located in the small-intestinal and renal microvillar membrane, and also in other plasma membranes. In the small intestine aminopeptidase N plays a role in the final digestion of peptides generated from hydrolysis of proteins by gastric and pancreatic proteases. Its function in proximal tubular epithelial cells and other cell types is less clear. The large extracellular carboxyterminal domain contains a pentapeptide consensus sequence characteristic of members of the zinc-binding metalloproteinase superfamily. Sequence comparisons with known enzymes of this class showed that CD13 and aminopeptidase N are identical. The latter enzyme was thought to be involved in the metabolism of regulatory peptides by diverse cell types, including small intestinal and renal tubular epithelial cells, macrophages, granulocytes, and synaptic membranes from the CNS. Human aminopeptidase N is a receptor for one strain of human coronavirus that is an important cause of upper respiratory tract infections. Defects in this gene appear to be a cause of various types of leukemia or lymphoma.
References
1. Delmas, B., Gelfi, J., L'Haridon, R., Vogel, L. K., Sjostrom, H., Noren, O., Laude, H. Aminopeptidase N is a major receptor for the enteropathogenic coronavirus TGEV. Nature 357: 417-420, 1992.
2. Kruse, T. A., Bolund, L., Grzeschik, K.-H., Ropers, H. H., Olsen, J., Sjostrom, H., Noren, O. Assignment of the human aminopeptidase N (peptidase E) gene to chromosome 15q13-qter. FEBS Lett. 239: 305-308, 1988.
3. Look, A. T., Ashmun, R. A., Shapiro, L. H., Peiper, S. C. Human myeloid plasma membrane glycoprotein CD13 (gp150) is identical to aminopeptidase N. J. Clin. Invest. 83: 1299-1307, 1989.
2. Kruse, T. A., Bolund, L., Grzeschik, K.-H., Ropers, H. H., Olsen, J., Sjostrom, H., Noren, O. Assignment of the human aminopeptidase N (peptidase E) gene to chromosome 15q13-qter. FEBS Lett. 239: 305-308, 1988.
3. Look, A. T., Ashmun, R. A., Shapiro, L. H., Peiper, S. C. Human myeloid plasma membrane glycoprotein CD13 (gp150) is identical to aminopeptidase N. J. Clin. Invest. 83: 1299-1307, 1989.
NCBI and Uniprot Product Information
NCBI GI #
NCBI GeneID
NCBI Accession #
NCBI GenBank Nucleotide #
UniProt Accession #
NCBI Official Full Name
aminopeptidase N
NCBI Official Synonym Full Names
alanyl aminopeptidase, membrane
NCBI Official Symbol
Anpep
NCBI Official Synonym Symbols
Apm; Apn; KZP; AP-M; AP-N; Lap1; rAPN
NCBI Protein Information
aminopeptidase N
UniProt Protein Name
Aminopeptidase N
UniProt Gene Name
Anpep
UniProt Synonym Gene Names
AP-N; rAPN; AP-M; KZP
UniProt Entry Name
AMPN_RAT
Customer Reviews
Loading reviews...
Share Your Experience
Similar Products
Product Notes
The Anpep anpep (Catalog #AAA125453) is an Antibody produced from Rabbit and is intended for research purposes only. The product is available for immediate purchase. The Anti-CD13/Anpep Antibody reacts with Human, Mouse, Rat and may cross-react with other species as described in the data sheet. AAA Biotech's CD13/Anpep can be used in a range of immunoassay formats including, but not limited to, ELISA (Direct ELISA), IHC (Immunohistochemistry), WB (Western Blot). Researchers should empirically determine the suitability of the Anpep anpep for an application not listed in the data sheet. Researchers commonly develop new applications and it is an integral, important part of the investigative research process. It is sometimes possible for the material contained within the vial of "CD13/Anpep, Polyclonal Antibody" to become dispersed throughout the inside of the vial, particularly around the seal of said vial, during shipment and storage. We always suggest centrifuging these vials to consolidate all of the liquid away from the lid and to the bottom of the vial prior to opening. Please be advised that certain products may require dry ice for shipping and that, if this is the case, an additional dry ice fee may also be required.Precautions
All products in the AAA Biotech catalog are strictly for research-use only, and are absolutely not suitable for use in any sort of medical, therapeutic, prophylactic, in-vivo, or diagnostic capacity. By purchasing a product from AAA Biotech, you are explicitly certifying that said products will be properly tested and used in line with industry standard. AAA Biotech and its authorized distribution partners reserve the right to refuse to fulfill any order if we have any indication that a purchaser may be intending to use a product outside of our accepted criteria.Disclaimer
Though we do strive to guarantee the information represented in this datasheet, AAA Biotech cannot be held responsible for any oversights or imprecisions. AAA Biotech reserves the right to adjust any aspect of this datasheet at any time and without notice. It is the responsibility of the customer to inform AAA Biotech of any product performance issues observed or experienced within 30 days of receipt of said product. To see additional details on this or any of our other policies, please see our Terms & Conditions page.Item has been added to Shopping Cart
If you are ready to order, navigate to Shopping Cart and get ready to checkout.
