Loading...

Skip to main content
Call us at +1-800-604-9114 for more information about our products or contact us online Need help? +1-800-604-9114 or contact us
product-image-AAA49955_AD13.jpg Application Data (Western Blot analysis of THP-1 whole cell lysate probed with Rabbit anti Human CD195 (AAA49955))

Rabbit CD195 Polyclonal Antibody | anti-CD195 antibody

RABBIT ANTI HUMAN CD195 (CCR5)

Average rating 0.0
No ratings yet
Gene Names
CCR5; CKR5; CCR-5; CD195; CKR-5; CCCKR5; CMKBR5; IDDM22; CC-CKR-5
Applications
Western Blot, Immunohistochemistry
Synonyms
CD195, Antibody; RABBIT ANTI HUMAN CD195 (CCR5); anti-CD195 antibody
Ordering
Host
Rabbit
Clonality
Polyclonal
Isotype
IgG
Form/Format
Purified
Purified IgG - liquid
Concentration
IgG concentration 0.5 mg/ml (varies by lot)
Sequence Length
352
Applicable Applications for anti-CD195 antibody
WB (Western Blot), IHC (Immunohistochemistry)
Perservative Stabilisers
0.02% Sodium Azide
Histology Positive Control Tissue
Human lymph node.
Buffer Solution
Antiserum Preparation
Antisera to CCR5 were raised by repeated immunisation of rabbit with highly purified antigen.
Target Species
Human
Preparation and Storage
Store at 4 degree C or at -20 degree C if preferred. This product should be stored undiluted. Storage in frost free freezers is not recommended. Avoid repeated freezing and thawing as this may denature the protein. Should this product contain a precipitate we recommend microcentrifugation before use.
Shelf Life: 18 months from date of despatch.

Application Data

(Western Blot analysis of THP-1 whole cell lysate probed with Rabbit anti Human CD195 (AAA49955))

product-image-AAA49955_AD13.jpg Application Data (Western Blot analysis of THP-1 whole cell lysate probed with Rabbit anti Human CD195 (AAA49955))

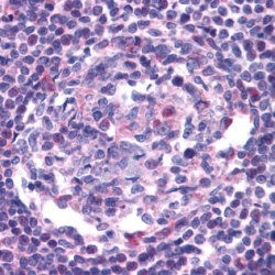
Application Data

(Staining of human lymph node tissue with Rabbit anti Human CCR5 (NT) at 20 ug/ml. Formalin fixed paraffin processed tissue.)

product-image-AAA49955_AD15.jpg Application Data (Staining of human lymph node tissue with Rabbit anti Human CCR5 (NT) at 20 ug/ml. Formalin fixed paraffin processed tissue.)
Related Product Information for anti-CD195 antibody
Rabbit anti Human CD195 antibody recognizes the N-terminal region of the chemokine receptor CCR5, also known as CD195. CCR5 is a receptor for the beta chemokines RANTES, MIP-1alpha and MIP-1beta.

NCBI and Uniprot Product Information

NCBI GI #
NCBI GeneID
NCBI Accession #
NCBI GenBank Nucleotide #
Molecular Weight
40,524 Da
NCBI Official Full Name
C-C chemokine receptor type 5
NCBI Official Synonym Full Names
chemokine (C-C motif) receptor 5 (gene/pseudogene)
NCBI Official Symbol
CCR5
NCBI Official Synonym Symbols
CKR5; CCR-5; CD195; CKR-5; CCCKR5; CMKBR5; IDDM22; CC-CKR-5
NCBI Protein Information
C-C chemokine receptor type 5; C-C motif chemokine receptor 5 A159A; HIV-1 fusion coreceptor; chemokine receptor CCR5; chemr13
UniProt Protein Name
C-C chemokine receptor type 5
UniProt Gene Name
CCR5
UniProt Synonym Gene Names
CMKBR5; C-C CKR-5; CC-CKR-5; CCR-5; CCR5
UniProt Entry Name
CCR5_HUMAN

Customer Reviews

View All Reviews

Loading reviews...

Share Your Experience

Rating

Similar Products

Product Notes

The CD195 ccr5 (Catalog #AAA49955) is an Antibody produced from Rabbit and is intended for research purposes only. The product is available for immediate purchase. AAA Biotech's CD195 can be used in a range of immunoassay formats including, but not limited to, WB (Western Blot), IHC (Immunohistochemistry). Researchers should empirically determine the suitability of the CD195 ccr5 for an application not listed in the data sheet. Researchers commonly develop new applications and it is an integral, important part of the investigative research process. It is sometimes possible for the material contained within the vial of "CD195, Polyclonal Antibody" to become dispersed throughout the inside of the vial, particularly around the seal of said vial, during shipment and storage. We always suggest centrifuging these vials to consolidate all of the liquid away from the lid and to the bottom of the vial prior to opening. Please be advised that certain products may require dry ice for shipping and that, if this is the case, an additional dry ice fee may also be required.

Precautions

All products in the AAA Biotech catalog are strictly for research-use only, and are absolutely not suitable for use in any sort of medical, therapeutic, prophylactic, in-vivo, or diagnostic capacity. By purchasing a product from AAA Biotech, you are explicitly certifying that said products will be properly tested and used in line with industry standard. AAA Biotech and its authorized distribution partners reserve the right to refuse to fulfill any order if we have any indication that a purchaser may be intending to use a product outside of our accepted criteria.

Disclaimer

Though we do strive to guarantee the information represented in this datasheet, AAA Biotech cannot be held responsible for any oversights or imprecisions. AAA Biotech reserves the right to adjust any aspect of this datasheet at any time and without notice. It is the responsibility of the customer to inform AAA Biotech of any product performance issues observed or experienced within 30 days of receipt of said product. To see additional details on this or any of our other policies, please see our Terms & Conditions page.

Item has been added to Shopping Cart

If you are ready to order, navigate to Shopping Cart and get ready to checkout.

Submit a Question

Please complete the form below and a representative will contact you as soon as possible.

Request more Information

Please complete the form below and a representative will contact you as soon as possible.

Request a Manual

Please complete the form below and a representative will contact you as soon as possible.

Request a Quote

Please complete the form below and a representative will contact you as soon as possible.