Rabbit anti-Mouse, Rat CD20 Polyclonal Antibody | anti-CD20 antibody
CD20 Polyclonal Antibody
Gene Names
Ms4a1; Cd20; Ly-44; Ms4a2; AA960661
Reactivity
Mouse, Rat
Applications
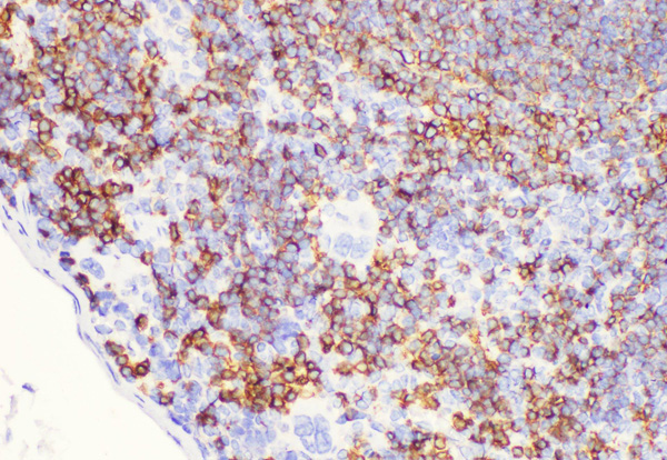
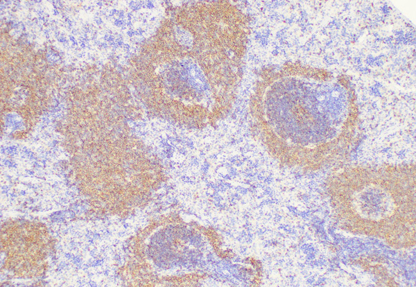
Immunohistochemistry
Purity
Antigen affinity purification
Synonyms
CD20, Antibody; CD20 Polyclonal Antibody; APY; ATOPY; B lymphocyte antigen CD20; B Lymphocyte Cell Surface Antigen B1; Bp35; CD20; CD20 antigen; CD20 receptor; CVID5; Fc epsilon receptor I beta chain; IGEL; IGER; IGHER; LEU16; leukocyte surface antigen Leu 16; MS4A1; S7; anti-CD20 antibody
Host
Rabbit
Reactivity
Mouse, Rat
Clonality
Polyclonal
Isotype
IgG
Purity/Purification
Antigen affinity purification
Form/Format
PBS with 0.05% Proclin300, 50% glycerol, pH7.3
Concentration
0.55mg/mL (varies by lot)
Applicable Applications for anti-CD20 antibody
IHC (Immunohistochemistry)
Immunogen
Recombinant Mouse B-lymphocyte antigen CD20 protein
Conjugation
Unconjugated
Preparation and Storage
Store at -20 degree C. Avoid freeze/thaw cycles.
Related Product Information for anti-CD20 antibody
CD20 is a 33-37 kDa transmembrane phosphoprotein. CD20 is a B-lymphocyte surface molecule that is widely expressed during B-cell ontogeny, from early pre-B-cell developmental stages until final differentiation into plasma cells. CD20 functions as calcium-permeable cation channel. It is involved in the regulation of B-cell activation and proliferation. CD20 serves as a useful target for antibody-mediated therapeutic depletion of B-cells.
Product Categories/Family for anti-CD20 antibody
NCBI and Uniprot Product Information
NCBI GI #
NCBI GeneID
NCBI Accession #
NCBI GenBank Nucleotide #
UniProt Accession #
Molecular Weight
31,958 Da
NCBI Official Full Name
B-lymphocyte antigen CD20
NCBI Official Synonym Full Names
membrane-spanning 4-domains, subfamily A, member 1
NCBI Official Symbol
Ms4a1
NCBI Official Synonym Symbols
Cd20; Ly-44; Ms4a2; AA960661
NCBI Protein Information
B-lymphocyte antigen CD20
UniProt Protein Name
B-lymphocyte antigen CD20
UniProt Gene Name
Ms4a1
UniProt Synonym Gene Names
Cd20; Ly-44; Ms4a2
Similar Products
Product Notes
The CD20 ms4a1 (Catalog #AAA177039) is an Antibody produced from Rabbit and is intended for research purposes only. The product is available for immediate purchase. The CD20 Polyclonal Antibody reacts with Mouse, Rat and may cross-react with other species as described in the data sheet. AAA Biotech's CD20 can be used in a range of immunoassay formats including, but not limited to, IHC (Immunohistochemistry). Researchers should empirically determine the suitability of the CD20 ms4a1 for an application not listed in the data sheet. Researchers commonly develop new applications and it is an integral, important part of the investigative research process. It is sometimes possible for the material contained within the vial of "CD20, Polyclonal Antibody" to become dispersed throughout the inside of the vial, particularly around the seal of said vial, during shipment and storage. We always suggest centrifuging these vials to consolidate all of the liquid away from the lid and to the bottom of the vial prior to opening. Please be advised that certain products may require dry ice for shipping and that, if this is the case, an additional dry ice fee may also be required.Precautions
All products in the AAA Biotech catalog are strictly for research-use only, and are absolutely not suitable for use in any sort of medical, therapeutic, prophylactic, in-vivo, or diagnostic capacity. By purchasing a product from AAA Biotech, you are explicitly certifying that said products will be properly tested and used in line with industry standard. AAA Biotech and its authorized distribution partners reserve the right to refuse to fulfill any order if we have any indication that a purchaser may be intending to use a product outside of our accepted criteria.Disclaimer
Though we do strive to guarantee the information represented in this datasheet, AAA Biotech cannot be held responsible for any oversights or imprecisions. AAA Biotech reserves the right to adjust any aspect of this datasheet at any time and without notice. It is the responsibility of the customer to inform AAA Biotech of any product performance issues observed or experienced within 30 days of receipt of said product. To see additional details on this or any of our other policies, please see our Terms & Conditions page.Item has been added to Shopping Cart
If you are ready to order, navigate to Shopping Cart and get ready to checkout.
