Rabbit CD303 Polyclonal Antibody | anti-CD303 antibody
CD303 Rabbit Polyclonal Antibody
Gene Names
CLEC4C; DLEC; HECL; BDCA2; CD303; CLECSF7; CLECSF11; PRO34150
Reactivity
Human, Rat, Mouse
Applications
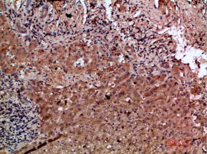
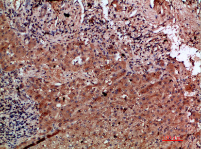
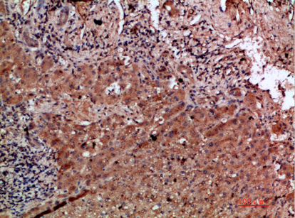
ELISA, Immunofluorescence, Immunohistochemistry
Purity
The antibody was affinity-purified from rabbit antiserum by affinity-chromatography using epitope-specific immunogen.
Synonyms
CD303, Antibody; CD303 Rabbit Polyclonal Antibody; C-type lectin domain family 4 member C (Blood dendritic cell antigen 2)(BDCA-2)(C-type lectin superfamily member 7)(Dendritic lectin)(CD antigen CD303); BH6842; anti-CD303 antibody
Host
Rabbit
Reactivity
Human, Rat, Mouse
Clonality
Polyclonal
Specificity
The antibody detects endogenous CD303
Purity/Purification
The antibody was affinity-purified from rabbit antiserum by affinity-chromatography using epitope-specific immunogen.
Form/Format
Liquid in PBS containing 50% glycerol, 0.5% BSA and 0.02% sodium azide.
Concentration
1mg/ml (varies by lot)
Applicable Applications for anti-CD303 antibody
ELISA, IF (Immunofluorescence), IHC (Immunohistochemistry)
Immunogen
Synthetic peptide from human protein at AA range: 91-140
Modification
Unmodified/Total
Preparation and Storage
Store at -20 degree C/1 year
Related Product Information for anti-CD303 antibody
This gene encodes a member of the C-type lectin/C-type lectin-like domain (CTL/CTLD) superfamily. Members of this family share a common protein fold and have diverse functions, such as cell adhesion, cell-cell signalling, glycoprotein turnover, and roles in inflammation and immune response. The encoded type 2 transmembrane protein may play a role in dendritic cell function. Two transcript variants encoding distinct isoforms have been identified for this gene. [provided by RefSeq, Jul 2008]
NCBI and Uniprot Product Information
NCBI GI #
NCBI GeneID
NCBI Accession #
NCBI GenBank Nucleotide #
Molecular Weight
25,038 Da
NCBI Official Full Name
C-type lectin domain family 4 member C isoform 2
NCBI Official Synonym Full Names
C-type lectin domain family 4, member C
NCBI Official Symbol
CLEC4C
NCBI Official Synonym Symbols
DLEC; HECL; BDCA2; CD303; CLECSF7; CLECSF11; PRO34150
NCBI Protein Information
C-type lectin domain family 4 member C; BDCA-2; dendritic lectin; dendritic cell lectin b; C-type lectin superfamily member 7; blood dendritic cell antigen 2 protein; C-type lectin domain family 4, member C, isoform 1; C-type (calcium dependent, carbohydr
UniProt Protein Name
C-type lectin domain family 4 member C
UniProt Gene Name
CLEC4C
UniProt Synonym Gene Names
BDCA2; CLECSF11; CLECSF7; DLEC; HECL; BDCA-2
UniProt Entry Name
CLC4C_HUMAN
Customer Reviews
Loading reviews...
Share Your Experience
Similar Products
Product Notes
The CD303 clec4c (Catalog #AAA318800) is an Antibody produced from Rabbit and is intended for research purposes only. The product is available for immediate purchase. The CD303 Rabbit Polyclonal Antibody reacts with Human, Rat, Mouse and may cross-react with other species as described in the data sheet. AAA Biotech's CD303 can be used in a range of immunoassay formats including, but not limited to, ELISA, IF (Immunofluorescence), IHC (Immunohistochemistry). Researchers should empirically determine the suitability of the CD303 clec4c for an application not listed in the data sheet. Researchers commonly develop new applications and it is an integral, important part of the investigative research process. It is sometimes possible for the material contained within the vial of "CD303, Polyclonal Antibody" to become dispersed throughout the inside of the vial, particularly around the seal of said vial, during shipment and storage. We always suggest centrifuging these vials to consolidate all of the liquid away from the lid and to the bottom of the vial prior to opening. Please be advised that certain products may require dry ice for shipping and that, if this is the case, an additional dry ice fee may also be required.Precautions
All products in the AAA Biotech catalog are strictly for research-use only, and are absolutely not suitable for use in any sort of medical, therapeutic, prophylactic, in-vivo, or diagnostic capacity. By purchasing a product from AAA Biotech, you are explicitly certifying that said products will be properly tested and used in line with industry standard. AAA Biotech and its authorized distribution partners reserve the right to refuse to fulfill any order if we have any indication that a purchaser may be intending to use a product outside of our accepted criteria.Disclaimer
Though we do strive to guarantee the information represented in this datasheet, AAA Biotech cannot be held responsible for any oversights or imprecisions. AAA Biotech reserves the right to adjust any aspect of this datasheet at any time and without notice. It is the responsibility of the customer to inform AAA Biotech of any product performance issues observed or experienced within 30 days of receipt of said product. To see additional details on this or any of our other policies, please see our Terms & Conditions page.Item has been added to Shopping Cart
If you are ready to order, navigate to Shopping Cart and get ready to checkout.
