Rabbit anti-Human, Rat CD40L Polyclonal Antibody | anti-CD40L antibody
CD40L Antibody
Phosphate buffered saline, pH 7.4, 150mM NaCl, 0.02% sodium azide and 50% glycerol.
WB (Western Blot)
(Western blot analysis of CD40L expression in rat spleen tissue lysate, The lane on the left is treated with the antigen-specific peptide.)
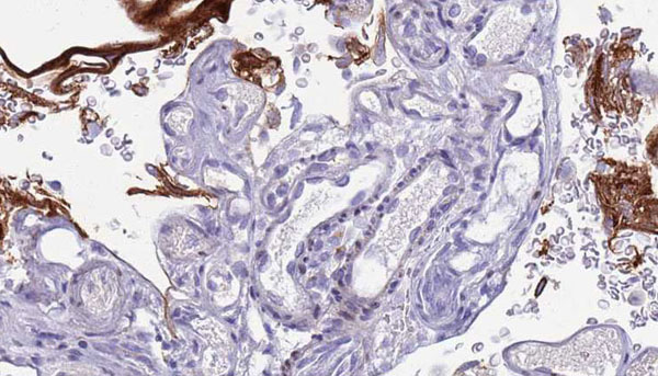
IHC (Immunohistochemistry)
(AAA323369 at 1/100 staining Human urothelial cancer tissue by IHC-P. The sample was formaldehyde fixed and a heat mediated antigen retrieval step in citrate buffer was performed. The sample was then blocked and incubated with the antibody for 1.5 hours at 22 degree C. An HRP conjugated goat anti-rabbit antibody was used as the secondary.)
Function: Cytokine that binds to CD40/TNFRSF5 (PubMed:1280226). Costimulates T-cell proliferation and cytokine production. Its cross-linking on T-cells generates a costimulatory signal which enhances the production of IL4 and IL10 in conjunction with the TCR/CD3 ligation and CD28 costimulation (PubMed:8617933). Induces the activation of NF-kappa-B and kinases MAPK8 and PAK2 in T-cells. Induces tyrosine phosphorylation of isoform 3 of CD28 (PubMed:15067037). Mediates B-cell proliferation in the absence of co-stimulus as well as IgE production in the presence of IL4. Involved in immunoglobulin class switching (By similarity).
Subunit Structure: Homotrimer (PubMed:8589998, PubMed:8626375, PubMed:11676606). Interacts with isoform 3 of CD28 (PubMed:15067037).
Post-translational Modifications: The soluble form derives from the membrane form by proteolytic processing. N-linked glycan is a mixture of high mannose and complex type. Glycan structure does not influence binding affinity to CD40. Not O-glycosylated.
Similarity: Belongs to the tumor necrosis factor family.
NCBI and Uniprot Product Information
Predicted: 30 kDa
Customer Reviews
Loading reviews...
Share Your Experience
Similar Products
Product Notes
The CD40L cd40lg (Catalog #AAA323369) is an Antibody produced from Rabbit and is intended for research purposes only. The product is available for immediate purchase. The CD40L Antibody reacts with Human, Rat and may cross-react with other species as described in the data sheet. AAA Biotech's CD40L can be used in a range of immunoassay formats including, but not limited to, ELISA, IHC (Immunohistochemistry), WB (Western Blot). Researchers should empirically determine the suitability of the CD40L cd40lg for an application not listed in the data sheet. Researchers commonly develop new applications and it is an integral, important part of the investigative research process. It is sometimes possible for the material contained within the vial of "CD40L, Polyclonal Antibody" to become dispersed throughout the inside of the vial, particularly around the seal of said vial, during shipment and storage. We always suggest centrifuging these vials to consolidate all of the liquid away from the lid and to the bottom of the vial prior to opening. Please be advised that certain products may require dry ice for shipping and that, if this is the case, an additional dry ice fee may also be required.Precautions
All products in the AAA Biotech catalog are strictly for research-use only, and are absolutely not suitable for use in any sort of medical, therapeutic, prophylactic, in-vivo, or diagnostic capacity. By purchasing a product from AAA Biotech, you are explicitly certifying that said products will be properly tested and used in line with industry standard. AAA Biotech and its authorized distribution partners reserve the right to refuse to fulfill any order if we have any indication that a purchaser may be intending to use a product outside of our accepted criteria.Disclaimer
Though we do strive to guarantee the information represented in this datasheet, AAA Biotech cannot be held responsible for any oversights or imprecisions. AAA Biotech reserves the right to adjust any aspect of this datasheet at any time and without notice. It is the responsibility of the customer to inform AAA Biotech of any product performance issues observed or experienced within 30 days of receipt of said product. To see additional details on this or any of our other policies, please see our Terms & Conditions page.Item has been added to Shopping Cart
If you are ready to order, navigate to Shopping Cart and get ready to checkout.
