Rabbit anti-Human CD40L Polyclonal Antibody | anti-CD40LG antibody
Anti-CD40L antibody
IHC (Immunohistochemistry)
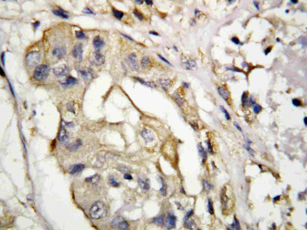
(Figure 3. IHC analysis of sCD40L using anti- sCD40L antibody (AAA45024).sCD40L was detected in paraffin-embedded section of human mammary cancer tissues. Heat mediated antigen retrieval was performed in citrate buffer (pH6, epitope retrieval solution) for 20 mins. The tissue section was blocked with 10% goat serum. The tissue section was then incubated with 1ug/ml rabbit anti- sCD40L Antibody (AAA45024) overnight at 4 degree C. Biotinylated goat anti-rabbit IgG was used as secondary antibody and incubated for 30 minutes at 37 degree C. The tissue section was developed using Strepavidin-Biotin-Complex (SABC) with DAB as the chromogen.)
IHC (Immunohistochemisry)
(Figure 3. IHC analysis of sCD40L using anti- sCD40L antibody (AAA45024).sCD40L was detected in paraffin-embedded section of human mammary cancer tissues. Heat mediated antigen retrieval was performed in citrate buffer (pH6, epitope retrieval solution) for 20 mins. The tissue section was blocked with 10% goat serum. The tissue section was then incubated with 1ug/ml rabbit anti- sCD40L Antibody (AAA45024) overnight at 4 degree C. Biotinylated goat anti-rabbit IgG was used as secondary antibody and incubated for 30 minutes at 37 degree C. The tissue section was developed using Strepavidin-Biotin-Complex (SABC) with DAB as the chromogen.)
IHC (Immunohiostchemistry)
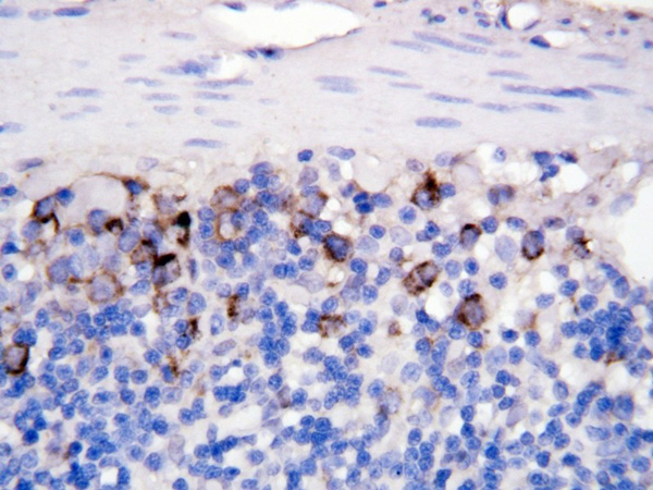
(Figure 2. IHC analysis of sCD40L using anti- sCD40L antibody (AAA45024).sCD40L was detected in paraffin-embedded section of rat intestine tissues. Heat mediated antigen retrieval was performed in citrate buffer (pH6, epitope retrieval solution) for 20 mins. The tissue section was blocked with 10% goat serum. The tissue section was then incubated with 1ug/ml rabbit anti- sCD40L Antibody (AAA45024) overnight at 4 degree C. Biotinylated goat anti-rabbit IgG was used as secondary antibody and incubated for 30 minutes at 37 degree C. The tissue section was developed using Strepavidin-Biotin-Complex (SABC) with DAB as the chromogen.)
WB (Western Blot)
(Figure 1. Western blot analysis of sCD40L using anti- sCD40L antibody (AAA45024).Electrophoresis was performed on a 5-20% SDS-PAGE gel at 70V (Stacking gel) / 90V (Resolving gel) for 2-3 hours. The sample well of each lane was loaded with 50ug of sample under reducing conditions.Lane 1: MCF-7 Whole Cell Lysate,Lane 2: HELA Whole Cell Lysate,Lane 3: JURKAT Whole Cell Lysate,Lane 4: HMY2 Whole Cell Lysate,Lane 5: COLO320 Whole Cell Lysate.After Electrophoresis, proteins were transferred to a Nitrocellulose membrane at 150mA for 50-90 minutes. Blocked the membrane with 5% Non-fat Milk/ TBS for 1.5 hour at RT. The membrane was incubated with rabbit anti- sCD40L antigen affinity purified polyclonal antibody at 0.5ug/mL overnight at 4 degree C, then washed with TBS-0.1%Tween 3 times with 5 minutes each and probed with a goat anti-rabbit IgG-HRP secondary antibody at a dilution of 1:10000 for 1.5 hour at RT. The signal is developed using an Enhanced Chemiluminescent detection (ECL) kit with Tanon 5200 system. A specific band was detected for sCD40L at approximately 29KD. The expected band size for sCD40L is at 29KD.)
Background: CD40 ligand(CD40L) is a type II membrane protein of 261 amino acids on activated T cells that induces B cell proliferation and immunoglobulin secretion. It has homology with tumour necrosis factor-alpha and -beta, and has important functions in B-cell activation and differentiation. Human CD40L with 5 exons, is mapped to the proximal region of the mouse X chromosome on Xq26.3-27.1, and can be detected on T cells but is absent from B cells and monocytes. Since CD40L is expressed on platelets and released from them on activation, its predictive value as a marker for clinical outcome and the therapeutic effect of inhibition of glycoprotein IIb /IIIa receptor in patients with acute coronary syndromes was investigated. The soluble CD40L may be involved in the process of restenosis and that it exerts its effect by triggering a complex group of inflammatory reactions on endothelial and mononuclear cells. CD40L plays a central role in the pathophysiology of acute coronary syndromes, and has a role in the pathogenesis of coronary artery lesions.
NCBI and Uniprot Product Information
Customer Reviews
Loading reviews...
Share Your Experience
Similar Products
Product Notes
The CD40LG cd40lg (Catalog #AAA45024) is an Antibody produced from Rabbit and is intended for research purposes only. The product is available for immediate purchase. The Anti-CD40L antibody reacts with Human and may cross-react with other species as described in the data sheet. AAA Biotech's CD40L can be used in a range of immunoassay formats including, but not limited to, IHC (Immunohistochemistry), WB (Western Blot). Researchers should empirically determine the suitability of the CD40LG cd40lg for an application not listed in the data sheet. Researchers commonly develop new applications and it is an integral, important part of the investigative research process. It is sometimes possible for the material contained within the vial of "CD40L, Polyclonal Antibody" to become dispersed throughout the inside of the vial, particularly around the seal of said vial, during shipment and storage. We always suggest centrifuging these vials to consolidate all of the liquid away from the lid and to the bottom of the vial prior to opening. Please be advised that certain products may require dry ice for shipping and that, if this is the case, an additional dry ice fee may also be required.Precautions
All products in the AAA Biotech catalog are strictly for research-use only, and are absolutely not suitable for use in any sort of medical, therapeutic, prophylactic, in-vivo, or diagnostic capacity. By purchasing a product from AAA Biotech, you are explicitly certifying that said products will be properly tested and used in line with industry standard. AAA Biotech and its authorized distribution partners reserve the right to refuse to fulfill any order if we have any indication that a purchaser may be intending to use a product outside of our accepted criteria.Disclaimer
Though we do strive to guarantee the information represented in this datasheet, AAA Biotech cannot be held responsible for any oversights or imprecisions. AAA Biotech reserves the right to adjust any aspect of this datasheet at any time and without notice. It is the responsibility of the customer to inform AAA Biotech of any product performance issues observed or experienced within 30 days of receipt of said product. To see additional details on this or any of our other policies, please see our Terms & Conditions page.Item has been added to Shopping Cart
If you are ready to order, navigate to Shopping Cart and get ready to checkout.
