anti-Human CD62P Polyclonal Antibody | anti-CD62P antibody
Anti-CD62P Antibody
FCM/FACS (Flow Cytometry)
(Figure 3. Flow Cytometry analysis of THP-1 cells using anti- P-Selectin antibody (AAA46274).Overlay histogram showing THP-1 cells stained with AAA46274 (Blue line).The cells were blocked with 10% normal goat serum. And then incubated with rabbit anti- P-Selectin Antibody (AAA46274,1ug/1x10^6 cells) for 30 min at 20 degree C. DyLight ®488 conjugated goat anti-rabbit IgG (5-10ug/1x10^6 cells) was used as secondary antibody for 30 minutes at 20 degree C. Isotype control antibody (Green line) was rabbit IgG (1ug/1x106) used under the same conditions. Unlabelled sample (Red line) was also used as a control.)
WB (Western Blot)
(Figure 2. Western blot analysis of CD62P using anti-CD62P antibody (AAA46274).Electrophoresis was performed on a 5-20% SDS-PAGE gel at 70V (Stacking gel) / 90V (Resolving gel) for 2-3 hours. The sample well of each lane was loaded with 50ug of sample under reducing conditions.Lane 1: A549 Whole Cell Lysate,Lane 2: K562 Whole Cell Lysate.After Electrophoresis, proteins were transferred to a Nitrocellulose membrane at 150mA for 50-90 minutes. Blocked the membrane with 5% Non-fat Milk/ TBS for 1.5 hour at RT. The membrane was incubated with rabbit anti-CD62P antigen affinity purified polyclonal antibody at 0.5ug/mL overnight at 4 degree C, then washed with TBS-0.1%Tween 3 times with 5 minutes each and probed with a goat anti-rabbit IgG-HRP secondary antibody at a dilution of 1:10000 for 1.5 hour at RT. The signal is developed using an Enhanced Chemiluminescent detection (ECL) kit with Tanon 5200 system. A specific band was detected for CD62P at approximately 91KD. The expected band size for CD62P is at 140KD.)
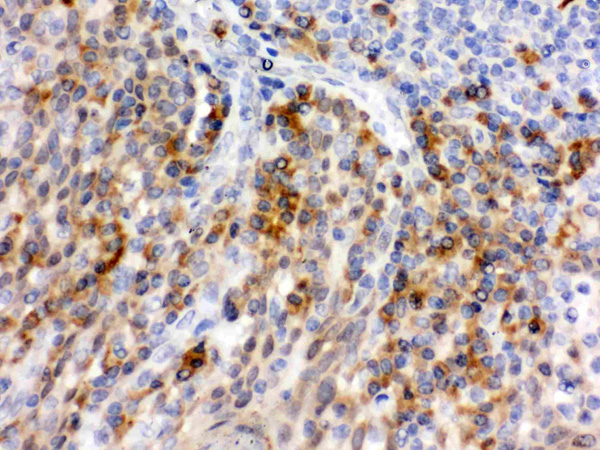
IHC (Immunohistochemistry)
(Figure 1. IHC analysis of CD62P using anti-CD62P antibody (AAA46274).CD62P was detected in paraffin-embedded section of Human Tonsil Tissue. Heat mediated antigen retrieval was performed in citrate buffer (pH6, epitope retrieval solution) for 20 mins. The tissue section was blocked with 10% goat serum. The tissue section was then incubated with 1ug/ml rabbit anti-CD62P Antibody (AAA46274) overnight at 4 degree C. Biotinylated goat anti-rabbit IgG was used as secondary antibody and incubated for 30 minutes at 37 degree C. The tissue section was developed using Strepavidin-Biotin-Complex (SABC) with DAB as the chromogen.)
Background: ABCG2(Atp-binding cassette, subfamily g, member 2) also known as ABCP, BCRP or MRX, is a protein that in humans is encoded by the ABCG2 gene. The ABCG2 gene encodes a membrane transporter belonging to the ATP-binding cassette (ABC) superfamily of membrane transporters, which are involved in the trafficking of biologic molecules across cell membranes. The ABCG2 protein is also a high capacity transporter for uric acid excretion in the kidney, liver, and gut. The ABCG2 gene is mapped on 4q22.1. In vitro assays of isolated membrane preparations revealed a high-capacity, vanadate-sensitive ATPase activity associated with ABCG2 expression that was stimulated by compounds known to be transported by this protein. Ozvegy et al. (2001) concluded that ABCG2 is likely functioning as a homodimer or homooligomer in this expression system since it is unlikely that putative Sf9 transport partners would be overexpressed at similarly high levels.Abcg2 transports pheophorbide-a, which occurs in various plant-derived foods and food supplements and is highly efficient in limiting its uptake from ingested food. ABCG2 is a major factor in the concentrative transfer of drugs, carcinogens, and dietary toxins to the milk of mice, cows, and humans.
NCBI and Uniprot Product Information
Customer Reviews
Loading reviews...
Share Your Experience
Similar Products
Product Notes
The CD62P selp (Catalog #AAA46274) is an Antibody and is intended for research purposes only. The product is available for immediate purchase. The Anti-CD62P Antibody reacts with Human and may cross-react with other species as described in the data sheet. AAA Biotech's CD62P can be used in a range of immunoassay formats including, but not limited to, ELISA, IHC (Immunohistochemistry), WB (Western Blot). Researchers should empirically determine the suitability of the CD62P selp for an application not listed in the data sheet. Researchers commonly develop new applications and it is an integral, important part of the investigative research process. It is sometimes possible for the material contained within the vial of "CD62P, Polyclonal Antibody" to become dispersed throughout the inside of the vial, particularly around the seal of said vial, during shipment and storage. We always suggest centrifuging these vials to consolidate all of the liquid away from the lid and to the bottom of the vial prior to opening. Please be advised that certain products may require dry ice for shipping and that, if this is the case, an additional dry ice fee may also be required.Precautions
All products in the AAA Biotech catalog are strictly for research-use only, and are absolutely not suitable for use in any sort of medical, therapeutic, prophylactic, in-vivo, or diagnostic capacity. By purchasing a product from AAA Biotech, you are explicitly certifying that said products will be properly tested and used in line with industry standard. AAA Biotech and its authorized distribution partners reserve the right to refuse to fulfill any order if we have any indication that a purchaser may be intending to use a product outside of our accepted criteria.Disclaimer
Though we do strive to guarantee the information represented in this datasheet, AAA Biotech cannot be held responsible for any oversights or imprecisions. AAA Biotech reserves the right to adjust any aspect of this datasheet at any time and without notice. It is the responsibility of the customer to inform AAA Biotech of any product performance issues observed or experienced within 30 days of receipt of said product. To see additional details on this or any of our other policies, please see our Terms & Conditions page.Item has been added to Shopping Cart
If you are ready to order, navigate to Shopping Cart and get ready to checkout.
