Rabbit CD66/CEACAM1 Polyclonal Antibody | anti-CD66/CEACAM1 antibody
Phospho-CD66/CEACAM1 (Ser508) Antibody
Tissue Specificity: Expressed in columnar epithelial cells of the colon (at protein level). The predominant forms expressed by T cells are those containing a long cytoplasmic domain. Expressed in granulocytes and lymphocytes. Leukocytes only express isoforms 6 and isoform 1.
Note: Canalicular domain of hepatocyte plasma membranes. Found as a mixture of monomer, dimer and oligomer in the plasma membrane. Occurs predominantly as cis-dimers and/or small cis-oligomers in the cell junction regions. Found as dimer in the solution. Predominantly localized to the lateral cell membranes. Secreted. Secreted. Secreted. Cell membrane>Single-pass type I membrane protein. Cell membrane>Single-pass type I membrane protein. Cell membrane>Single-pass type I membrane protein. Cell membrane>Single-pass type I membrane protein. Cytoplasmic vesicle>Secretory vesicle membrane. Lateral cell membrane. Apical cell membrane. Basal cell membrane. Cell junction. Cell junction>Adherens junction.
Note: Predominantly localized to the lateral cell membranes. Found as a mixture of monomer, dimer and oligomer in the plasma membrane. Occurs predominantly as cis-dimers and/or small cis-oligomers in the cell junction regions (By similarity). Co-localizes with ANXA2 in secretory vesicles and with S100A10/p11 at the plasma membrane (PubMed:14522961).Cell projection>Microvillus membrane>Single-pass type I membrane protein. Apical cell membrane>Single-pass type I membrane protein.
Note: Localized to the apical glycocalyx surface (PubMed:10436421). Colocalizes with CEACAM20 at the apical brush border of intestinal cells.
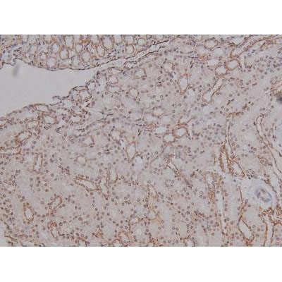
IHC (Immunohistochemistry)
(At 1/200 staining Human kidney tissue sections by IHC-P. The tissue was formaldehyde fixed and a heat mediated antigen retrieval step in citrate buffer was performed. The tissue was then blocked and incubated with the antibody for 1.5 hours at 22 degree C. An HRP conjugated goat anti-rabbit antibody was used as the secondary antibody.)
IHC (Immunohistochemisry)
(At 1/200 staining Mouse ganstric tissue sections by IHC-P. The tissue was formaldehyde fixed and a heat mediated antigen retrieval step in citrate buffer was performed. The tissue was then blocked and incubated with the antibody for 1.5 hours at 22 degree C. An HRP conjugated goat anti-rabbit antibody was used as the secondary antibody.)
IHC (Immunohiostchemistry)
(Staining Rat kidney tissue sections by IHC-P. The tissue was formaldehyde fixed and a heat mediated antigen retrieval step in citrate buffer was performed. The tissue was then blocked and incubated with the antibody for 1.5 hours at 22 degree C. An HRP conjugated goat anti-rabbit antibody was used as the secondary antibody.)
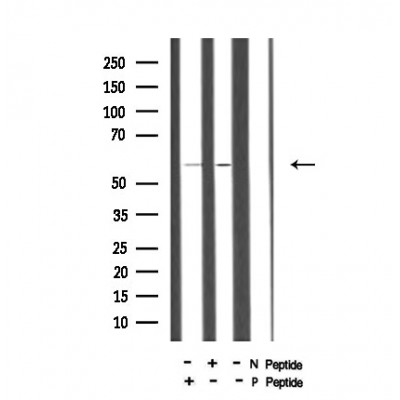
WB (Western Blot)
(Western blot analysis of CD66/CEACAM1 (Phospho-Ser508) using LPS treated HeLa whole cell lysates.-/+ means absence or presence of N peptide(non-phospho peptide) and P peptide(phospho peptide).)
NCBI and Uniprot Product Information
Customer Reviews
Loading reviews...
Share Your Experience
Similar Products
Product Notes
The CD66/CEACAM1 ceacam1 (Catalog #AAA329641) is an Antibody produced from Rabbit and is intended for research purposes only. The product is available for immediate purchase. The Phospho-CD66/CEACAM1 (Ser508) Antibody reacts with Human, Mouse, Rat and may cross-react with other species as described in the data sheet. AAA Biotech's CD66/CEACAM1 can be used in a range of immunoassay formats including, but not limited to, ELISA (Peptide ELISA), IHC (Immunohistochemistry), WB (Western Blot). Researchers should empirically determine the suitability of the CD66/CEACAM1 ceacam1 for an application not listed in the data sheet. Researchers commonly develop new applications and it is an integral, important part of the investigative research process. It is sometimes possible for the material contained within the vial of "CD66/CEACAM1, Polyclonal Antibody" to become dispersed throughout the inside of the vial, particularly around the seal of said vial, during shipment and storage. We always suggest centrifuging these vials to consolidate all of the liquid away from the lid and to the bottom of the vial prior to opening. Please be advised that certain products may require dry ice for shipping and that, if this is the case, an additional dry ice fee may also be required.Precautions
All products in the AAA Biotech catalog are strictly for research-use only, and are absolutely not suitable for use in any sort of medical, therapeutic, prophylactic, in-vivo, or diagnostic capacity. By purchasing a product from AAA Biotech, you are explicitly certifying that said products will be properly tested and used in line with industry standard. AAA Biotech and its authorized distribution partners reserve the right to refuse to fulfill any order if we have any indication that a purchaser may be intending to use a product outside of our accepted criteria.Disclaimer
Though we do strive to guarantee the information represented in this datasheet, AAA Biotech cannot be held responsible for any oversights or imprecisions. AAA Biotech reserves the right to adjust any aspect of this datasheet at any time and without notice. It is the responsibility of the customer to inform AAA Biotech of any product performance issues observed or experienced within 30 days of receipt of said product. To see additional details on this or any of our other policies, please see our Terms & Conditions page.Item has been added to Shopping Cart
If you are ready to order, navigate to Shopping Cart and get ready to checkout.
