Rabbit anti-Human CD84 Polyclonal Antibody | anti-CD84 antibody
Anti-CD84 Antibody, Rabbit Polyclonal
WB (Western Blot)
(Anti-CD84 rabbit polyclonal antibody at 1:500 dilutionLane A: Raji Whole Cell LysateLysates/proteins at 30 ug per lane.SecondaryGoat Anti-Rabbit IgG (H+L)/HRP at 1/10000 dilution.Developed using the ECL technique.Performed under reducing conditions.Predicted band size:39 kDaObserved band size:72 kDa)
IP (Immunoprecipitation)
(CD84 was immunoprecipitated using:Lane A:0.5 mg Raji Whole Cell Lysate4 uL anti-CD84 rabbit polyclonal antibody and 60 ug of Immunomagnetic beads Protein A/G.Primary antibody:Anti-CD84 rabbit polyclonal antibody,at 1:100 dilutionSecondary antibody:Goat Anti-Rabbit IgG (H+L)/HRP at 1/10000 dilutionDeveloped using the ECL technique.Performed under reducing conditions.Predicted band size: 39 kDaObserved band size :75 kDa)
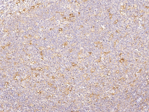
IHC (Immunohiostchemistry)
(Immunochemical staining of human CD84 in human tonsil with rabbit polyclonal antibody at 1:1000 dilution, formalin-fixed paraffin embedded sections.)
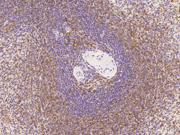
IHC (Immunohistochemistry)
(Immunochemical staining of human CD84 in human spleen with rabbit polyclonal antibody at 1:1000 dilution, formalin-fixed paraffin embedded sections.)
Tangye SG, et al. (2002) CD84 is up-regulated on a major population of human memory B cells and recruits the SH2 domain containing proteins SAP and EAT-2. Eur J Immunol. 32(6): 1640-9.
Zaiss M, et al. (2003) CD84 expression on human hematopoietic progenitor cells. Exp Hematol. 31(9): 798-805.
Tangye SG, et al. (2003) Functional requirements for interactions between CD84 and Src homology 2 domain-containing proteins and their contribution to human T cell activation. J Immunol. 171(5): 2485-95.
Yan Q, et al. (2007) Structure of CD84 provides insight into SLAM family function. Proc Natl Acad Sci U S A. 104(25): 10583-8.
Customer Reviews
Loading reviews...
Share Your Experience
Similar Products
Product Notes
The CD84 (Catalog #AAA258742) is an Antibody produced from Rabbit and is intended for research purposes only. The product is available for immediate purchase. The Anti-CD84 Antibody, Rabbit Polyclonal reacts with Human and may cross-react with other species as described in the data sheet. AAA Biotech's CD84 can be used in a range of immunoassay formats including, but not limited to, IHC (Immunohistochemistry), ELISA, IP (Immunoprecipitation), WB (Western Blot). Researchers should empirically determine the suitability of the CD84 for an application not listed in the data sheet. Researchers commonly develop new applications and it is an integral, important part of the investigative research process. It is sometimes possible for the material contained within the vial of "CD84, Polyclonal Antibody" to become dispersed throughout the inside of the vial, particularly around the seal of said vial, during shipment and storage. We always suggest centrifuging these vials to consolidate all of the liquid away from the lid and to the bottom of the vial prior to opening. Please be advised that certain products may require dry ice for shipping and that, if this is the case, an additional dry ice fee may also be required.Precautions
All products in the AAA Biotech catalog are strictly for research-use only, and are absolutely not suitable for use in any sort of medical, therapeutic, prophylactic, in-vivo, or diagnostic capacity. By purchasing a product from AAA Biotech, you are explicitly certifying that said products will be properly tested and used in line with industry standard. AAA Biotech and its authorized distribution partners reserve the right to refuse to fulfill any order if we have any indication that a purchaser may be intending to use a product outside of our accepted criteria.Disclaimer
Though we do strive to guarantee the information represented in this datasheet, AAA Biotech cannot be held responsible for any oversights or imprecisions. AAA Biotech reserves the right to adjust any aspect of this datasheet at any time and without notice. It is the responsibility of the customer to inform AAA Biotech of any product performance issues observed or experienced within 30 days of receipt of said product. To see additional details on this or any of our other policies, please see our Terms & Conditions page.Item has been added to Shopping Cart
If you are ready to order, navigate to Shopping Cart and get ready to checkout.
