Rabbit CDC2 Polyclonal Antibody | anti-CDC2 antibody
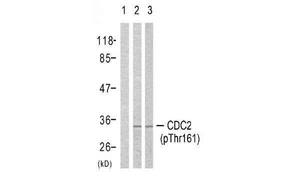
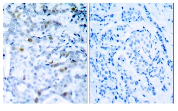
CDC2 Antibody (Thr161)
Applications
Immunohistochemistry, Western Blot
Purity
Affinity Chromatography
Synonyms
CDC2, Antibody; CDC2 Antibody (Thr161); Rabbit Polyclonal CDC2 Antibody (Thr161); Polyclonal CDC2 antibody; Anti-CDC2 antibody; CDC28A antibody; CDK1 antibody; cell cycle controller CDC2 antibody; Cell division control protein 2 homolog antibody; cell division cycle 2 antibody; cell division cycle 2 G1 to S and G2 to M antibody; Cyclin-dependent kinase 1 antibody; DKFZp686L20222 antibody; MGC111195 antibody; p34 protein kinase antibody; P34CDC2 antibody; anti-CDC2 antibody
Host
Rabbit
Clonality
Polyclonal
Isotype
IgG
Specificity
CDC2 antibody (Thr161) detects endogenous levels of CDC2 only when phosphorylated at threonine 161
Purity/Purification
Affinity Chromatography
Form/Format
Supplied in PBS buffer (without Mg2+ and Ca2+), pH 7.4, 150mM NaCl, 0.02% Sodium Azide and 50% Glycerol
Concentration
1 mg/ml (varies by lot)
Applicable Applications for anti-CDC2 antibody
IHC (Immunohistochemistry), WB (Western Blot)
Immunogen
CDC2 antibody was raised in Rabbit using a synthesized phosphopeptide derived from human CDC2 around the phosphorylation site of threonine161 (T-Y-TP-H-E) as the immunogen.
Cross-Reactivity
Mouse, Rat
Preparation and Storage
Store at -20 degree C in small aliquots. Avoid repeat freeze/thaw cycles.
Related Product Information for anti-CDC2 antibody
CDC2 is a catalytic subunit of the conserved protein complex known as M-phase promoting factor (MPF), which is essential for G1/S and G2/M phase transitions. Mitotic cyclins stably associate with this protein and function as regulatory subunits.
Product Categories/Family for anti-CDC2 antibody
Customer Reviews
Loading reviews...
Share Your Experience
Similar Products
Product Notes
The CDC2 (Catalog #AAA226059) is an Antibody produced from Rabbit and is intended for research purposes only. The product is available for immediate purchase. AAA Biotech's CDC2 can be used in a range of immunoassay formats including, but not limited to, IHC (Immunohistochemistry), WB (Western Blot). Researchers should empirically determine the suitability of the CDC2 for an application not listed in the data sheet. Researchers commonly develop new applications and it is an integral, important part of the investigative research process. It is sometimes possible for the material contained within the vial of "CDC2, Polyclonal Antibody" to become dispersed throughout the inside of the vial, particularly around the seal of said vial, during shipment and storage. We always suggest centrifuging these vials to consolidate all of the liquid away from the lid and to the bottom of the vial prior to opening. Please be advised that certain products may require dry ice for shipping and that, if this is the case, an additional dry ice fee may also be required.Precautions
All products in the AAA Biotech catalog are strictly for research-use only, and are absolutely not suitable for use in any sort of medical, therapeutic, prophylactic, in-vivo, or diagnostic capacity. By purchasing a product from AAA Biotech, you are explicitly certifying that said products will be properly tested and used in line with industry standard. AAA Biotech and its authorized distribution partners reserve the right to refuse to fulfill any order if we have any indication that a purchaser may be intending to use a product outside of our accepted criteria.Disclaimer
Though we do strive to guarantee the information represented in this datasheet, AAA Biotech cannot be held responsible for any oversights or imprecisions. AAA Biotech reserves the right to adjust any aspect of this datasheet at any time and without notice. It is the responsibility of the customer to inform AAA Biotech of any product performance issues observed or experienced within 30 days of receipt of said product. To see additional details on this or any of our other policies, please see our Terms & Conditions page.Item has been added to Shopping Cart
If you are ready to order, navigate to Shopping Cart and get ready to checkout.
