Cdc25B Polyclonal Antibody | anti-CDC25B antibody
Anti-Cdc25B Antibody
Predicted to work with: Human
Predicted to work with: Human
IHC (Immunohistochemisry)
(Anti- Cdc25B Picoband antibody, AAA46406, IHC(P)IHC(P): Rat Brain Tissue)
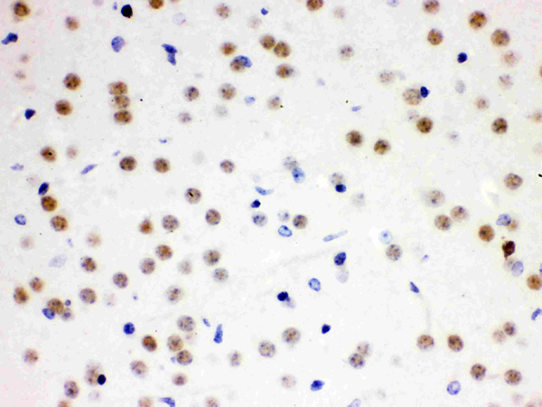
IHC (Immunohiostchemistry)
(Anti- Cdc25B Picoband antibody, AAA46406, IHC(P)IHC(P): Mouse Brain Tissue)
WB (Western Blot)
(Anti- Cdc25B Picoband antibody, AAA46406, Western blottingAll lanes: Anti Cdc25B (AAA46406) at 0.5ug/mlLane 1: Rat Liver Tissue Lysate at 50ugLane 2: Rat Testis Tissue Lysate at 50ugPredicted bind size: 65KDObserved bind size: 65KD)
Background: Central to the onset of mitosis in all eukaryotic cells is the CDC2 protein kinase, the activity of which is negatively regulated by phosphorylation and positively activated by dephosphorylation. The latter function is carried out by a specific phosphatase, CDC25. At least 3 human CDC25 genes code for the A, B, and C forms of CDC25. CDC25B is mapped to 20p13. P38 kinase has a critical role in the initiation of a G2 delay after ultraviolet radiation. Inhibition of p38 blocks the rapid initiation of this checkpoint in both human and murine cells after ultraviolet radiation. In vitro, p38 binds and phosphorylates CDC25B at serines 309 and 361, and CDC25C at serine-216; phosphorylation of these residues is required for binding to 14-3-3 proteins. In vivo, inhibition of p38 prevents both phosphorylation of CDC25B at serine-309 and 14-3-3 binding after ultraviolet radiation, and mutation of this site is sufficient to inhibit the checkpoint initiation. Regulation of CDC25B phosphorylation by p38 is a critical event for initiating the G2/M checkpoint after ultraviolet radiation.
NCBI and Uniprot Product Information
Customer Reviews
Loading reviews...
Share Your Experience
Similar Products
Product Notes
The CDC25B cdc25b (Catalog #AAA46406) is an Antibody and is intended for research purposes only. The product is available for immediate purchase. The Anti-Cdc25B Antibody reacts with Mouse, Rat Predicted to work with: Human and may cross-react with other species as described in the data sheet. AAA Biotech's Cdc25B can be used in a range of immunoassay formats including, but not limited to, IHC (Immunohistochemistry), WB (Western Blot). Researchers should empirically determine the suitability of the CDC25B cdc25b for an application not listed in the data sheet. Researchers commonly develop new applications and it is an integral, important part of the investigative research process. It is sometimes possible for the material contained within the vial of "Cdc25B, Polyclonal Antibody" to become dispersed throughout the inside of the vial, particularly around the seal of said vial, during shipment and storage. We always suggest centrifuging these vials to consolidate all of the liquid away from the lid and to the bottom of the vial prior to opening. Please be advised that certain products may require dry ice for shipping and that, if this is the case, an additional dry ice fee may also be required.Precautions
All products in the AAA Biotech catalog are strictly for research-use only, and are absolutely not suitable for use in any sort of medical, therapeutic, prophylactic, in-vivo, or diagnostic capacity. By purchasing a product from AAA Biotech, you are explicitly certifying that said products will be properly tested and used in line with industry standard. AAA Biotech and its authorized distribution partners reserve the right to refuse to fulfill any order if we have any indication that a purchaser may be intending to use a product outside of our accepted criteria.Disclaimer
Though we do strive to guarantee the information represented in this datasheet, AAA Biotech cannot be held responsible for any oversights or imprecisions. AAA Biotech reserves the right to adjust any aspect of this datasheet at any time and without notice. It is the responsibility of the customer to inform AAA Biotech of any product performance issues observed or experienced within 30 days of receipt of said product. To see additional details on this or any of our other policies, please see our Terms & Conditions page.Item has been added to Shopping Cart
If you are ready to order, navigate to Shopping Cart and get ready to checkout.
