Rabbit anti-Human CDH17 Polyclonal Antibody | anti-CDH17 antibody
CDH17 Polyclonal Antibody
Gene Names
CDH17; HPT1; CDH16; HPT-1
Reactivity
Human
Applications
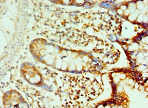
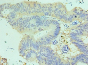
Immunohistochemistry
Purity
Antigen Affinity Purified
Synonyms
CDH17, Antibody; CDH17 Polyclonal Antibody; Intestinal peptide-associated transporter HPT-1; Liver-intestine cadherin; LI-cadherin; CDH17; anti-CDH17 antibody
Host
Rabbit
Reactivity
Human
Clonality
Polyclonal
Specificity
The antibody detects endogenous level of total CDH17 polyclonal antibody.
Purity/Purification
Antigen Affinity Purified
Form/Format
PBS with 0.02% Sodium Azide, 50% Glycerol, pH7.3.
Concentration
1.0 mg/ml (varies by lot)
Sequence Length
832
Applicable Applications for anti-CDH17 antibody
IHC (Immunohistochemistry)
Immunogen
Recombinant Human Cadherin-17 protein (573-832aa)
Immunogen Type
Protein
Preparation and Storage
Store at -20 degree C
Related Product Information for anti-CDH17 antibody
Cadherins are calcium-dependent cell adhesion proteins. They preferentially interact with themselves in a homophilic manner in connecting cells; cadherins may thus contribute to the sorting of heterogeneous cell types. LI-cadherin may have a role in the morphological organization of liver and intestine. Involved in intestinal peptide transport.
Product Categories/Family for anti-CDH17 antibody
NCBI and Uniprot Product Information
NCBI GI #
NCBI GeneID
NCBI Accession #
NCBI GenBank Nucleotide #
Molecular Weight
92,219 Da
NCBI Official Full Name
cadherin-17
NCBI Official Synonym Full Names
cadherin 17
NCBI Official Symbol
CDH17
NCBI Official Synonym Symbols
HPT1; CDH16; HPT-1
NCBI Protein Information
cadherin-17
UniProt Protein Name
Cadherin-17
UniProt Gene Name
CDH17
UniProt Synonym Gene Names
LI-cadherin
UniProt Entry Name
CAD17_HUMAN
Customer Reviews
Loading reviews...
Share Your Experience
Similar Products
Product Notes
The CDH17 cdh17 (Catalog #AAA308533) is an Antibody produced from Rabbit and is intended for research purposes only. The product is available for immediate purchase. The CDH17 Polyclonal Antibody reacts with Human and may cross-react with other species as described in the data sheet. AAA Biotech's CDH17 can be used in a range of immunoassay formats including, but not limited to, IHC (Immunohistochemistry). Researchers should empirically determine the suitability of the CDH17 cdh17 for an application not listed in the data sheet. Researchers commonly develop new applications and it is an integral, important part of the investigative research process. It is sometimes possible for the material contained within the vial of "CDH17, Polyclonal Antibody" to become dispersed throughout the inside of the vial, particularly around the seal of said vial, during shipment and storage. We always suggest centrifuging these vials to consolidate all of the liquid away from the lid and to the bottom of the vial prior to opening. Please be advised that certain products may require dry ice for shipping and that, if this is the case, an additional dry ice fee may also be required.Precautions
All products in the AAA Biotech catalog are strictly for research-use only, and are absolutely not suitable for use in any sort of medical, therapeutic, prophylactic, in-vivo, or diagnostic capacity. By purchasing a product from AAA Biotech, you are explicitly certifying that said products will be properly tested and used in line with industry standard. AAA Biotech and its authorized distribution partners reserve the right to refuse to fulfill any order if we have any indication that a purchaser may be intending to use a product outside of our accepted criteria.Disclaimer
Though we do strive to guarantee the information represented in this datasheet, AAA Biotech cannot be held responsible for any oversights or imprecisions. AAA Biotech reserves the right to adjust any aspect of this datasheet at any time and without notice. It is the responsibility of the customer to inform AAA Biotech of any product performance issues observed or experienced within 30 days of receipt of said product. To see additional details on this or any of our other policies, please see our Terms & Conditions page.Item has been added to Shopping Cart
If you are ready to order, navigate to Shopping Cart and get ready to checkout.
