Rabbit CDK9 Polyclonal Antibody | anti-CDK9 antibody
Phospho-CDK9 (Ser347) Antibody
Predicted: Pig, Bovine, Horse, Sheep, Dog
Predicted: Pig, Bovine, Horse, Sheep, Dog
WB (Western Blot)
(Western blot analysis of Phospho-CDK9 (Ser347) in lysates of NIH-3T3 Forskolin 40nM 30', using Phospho-CDK9 (Ser347) Antibody.)
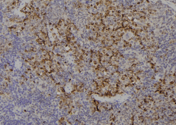
IHC (Immunohistochemistry)
(At 1/100 staining mouse spleen tissue sections by IHC-P. The tissue was formaldehyde fixed and a heat mediated antigen retrieval step in citrate buffer was performed. The tissue was then blocked and incubated with the antibody for 1.5 hours at 22 degree C. An HRP conjugated goat anti-rabbit antibody was used as the secondary)
Post Translational Modifications: Autophosphorylation at Thr-186, Ser-347, Thr-350, Ser-353, Thr-354 and Ser-357 triggers kinase activity by promoting cyclin and substrate binding (e.g. HIV TAT) upon conformational changes. Thr-186 phosphorylation requires the calcium Ca2+ signaling pathway, including CaMK1D and calmodulin. This inhibition is relieved by Thr-29 dephosphorylation. However, phosphorylation at Thr-29 is inhibitory within the HIV transcription initiation complex. Phosphorylation at Ser-175 inhibits kinase activity. Can be phosphorylated on either Thr-362 or Thr-363 but not on both simultaneously (PubMed:18566585). Dephosphorylation of Thr-186 by PPM1A and PPM1B blocks CDK9 activity and may lead to CDK9 proteasomal degradation. However, PPP1CA-mediated Thr-186 dephosphorylation is required to release P-TEFb from its inactive P-TEFb/7SK snRNP complex. Dephosphorylation of C-terminus Thr and Ser residues by protein phosphatase-1 (PP1) triggers CDK9 activity, contributing to the activation of HIV-1 transcription. N6-acetylation of Lys-44 by CBP/p300 promotes kinase activity, whereas acetylation of both Lys-44 and Lys-48 mediated by PCAF/KAT2B and GCN5/KAT2A reduces kinase activity. The acetylated form associates with PML bodies in the nuclear matrix and with the transcriptionally silent HIV-1 genome; deacetylated upon transcription stimulation. Polyubiquitinated and thus activated by UBR5. This ubiquitination is promoted by TFIIS/TCEA1 and favors 'Ser-2' phosphorylation of RPB1/POLR2A CTD.
Subunit Structure: Component of the super elongation complex (SEC), at least composed of EAF1, EAF2, CDK9, MLLT3/AF9, AFF (AFF1 or AFF4), the P-TEFb complex and ELL (ELL, ELL2 or ELL3). Associates with CCNT1/cyclin-T1, CCNT2/cyclin-T2 (isoform A and isoform B) or CCNK/cyclin-K to form active P-TEFb. P-TEFb forms a complex with AFF4/AF5Q31 and is part of the super elongation complex (SEC). Component of a complex which is composed of at least 5 members: HTATSF1/Tat-SF1, P-TEFb complex, RNA pol II, SUPT5H, and NCL/nucleolin. Associates with UBR5 and forms a transcription regulatory complex composed of CDK9, RNAP II, UBR5 and TFIIS/TCEA1 that can stimulate target gene transcription (e.g. gamma fibrinogen/FGG) by recruiting their promoters. Component of the 7SK snRNP inactive complex which is composed of at least 8 members: P-TEFb (composed of CDK9 and CCNT1/cyclin-T1), HEXIM1, HEXIM2, LARP7, BCDIN3, SART3 proteins and 7SK and U6 snRNAs. This inactive 7SK snRNP complex can also interact with NCOR1 and HDAC3, probably to regulate CDK9 acetylation. Release of P-TEFb from P-TEFb/7SK snRNP complex requires both PP2B to transduce calcium Ca2+ signaling in response to stimuli (e.g. UV or hexamethylene bisacetamide (HMBA)), and PPP1CA to dephosphorylate Thr-186. This released P-TEFb remains inactive in the pre-initiation complex with BRD4 until new Thr-186 phosphorylation occurs after the synthesis of a short RNA. Interacts with BRD4, probably to target chromatin binding. Interacts with the acidic/proline-rich region of HIV-1 and HIV-2 Tat via T-loop region, and is thus required for HIV to hijack host transcription machinery during its replication through cooperative binding to viral TAR RNA. Interacts with activated nuclear STAT3 and RELA/p65. Binds to AR and MYOD1. Forms a complex composed of CDK9, CCNT1/cyclin-T1, EP300 and GATA4 that stimulates hypertrophy in cardiomyocytes. The large PER complex involved in the repression of transcriptional termination is composed of at least PER2, CDK9, DDX5, DHX9, NCBP1 and POLR2A. Isoform 3 binds to KU70/XRCC6. Interacts with herpes simplex virus 1 protein ICP22; this interaction inhibits the positive transcription elongation factor b (P-TEFb). Interacts with HSF1 (PubMed:27189267). Interacts with TBX21 (By similarity).
Similarity: Belongs to the protein kinase superfamily. CMGC Ser/Thr protein kinase family. CDC2/CDKX subfamily.
NCBI and Uniprot Product Information
Predicted: 43 kDa
Customer Reviews
Loading reviews...
Share Your Experience
Similar Products
Product Notes
The CDK9 cdk9 (Catalog #AAA328462) is an Antibody produced from Rabbit and is intended for research purposes only. The product is available for immediate purchase. The Phospho-CDK9 (Ser347) Antibody reacts with Human, Mouse, Rat Predicted: Pig, Bovine, Horse, Sheep, Dog and may cross-react with other species as described in the data sheet. AAA Biotech's CDK9 can be used in a range of immunoassay formats including, but not limited to, ELISA (Peptide ELISA), IHC (Immunohistochemistry), WB (Western Blot). Researchers should empirically determine the suitability of the CDK9 cdk9 for an application not listed in the data sheet. Researchers commonly develop new applications and it is an integral, important part of the investigative research process. It is sometimes possible for the material contained within the vial of "CDK9, Polyclonal Antibody" to become dispersed throughout the inside of the vial, particularly around the seal of said vial, during shipment and storage. We always suggest centrifuging these vials to consolidate all of the liquid away from the lid and to the bottom of the vial prior to opening. Please be advised that certain products may require dry ice for shipping and that, if this is the case, an additional dry ice fee may also be required.Precautions
All products in the AAA Biotech catalog are strictly for research-use only, and are absolutely not suitable for use in any sort of medical, therapeutic, prophylactic, in-vivo, or diagnostic capacity. By purchasing a product from AAA Biotech, you are explicitly certifying that said products will be properly tested and used in line with industry standard. AAA Biotech and its authorized distribution partners reserve the right to refuse to fulfill any order if we have any indication that a purchaser may be intending to use a product outside of our accepted criteria.Disclaimer
Though we do strive to guarantee the information represented in this datasheet, AAA Biotech cannot be held responsible for any oversights or imprecisions. AAA Biotech reserves the right to adjust any aspect of this datasheet at any time and without notice. It is the responsibility of the customer to inform AAA Biotech of any product performance issues observed or experienced within 30 days of receipt of said product. To see additional details on this or any of our other policies, please see our Terms & Conditions page.Item has been added to Shopping Cart
If you are ready to order, navigate to Shopping Cart and get ready to checkout.
