Host
Rabbit
Reactivity
Human
Clonality
Polyclonal
Specificity
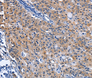
The antibody detects endogenous levels of total CDO1 protein.
Purity/Purification
Antigen affinity purification.
Form/Format
Rabbit IgG in pH7.3 PBS, 0.05% NaN3, 50% Glycerol.
Concentration
2 mg/ml (varies by lot)
Sequence Length
200
Applicable Applications for anti-CDO1 antibody
IHC (Immunohistochemistry)
Immunogen Type
Recombinant Protein
Immunogen Description
Full length fusion protein
Target Name
CDO1
Preparation and Storage
Store at -20 degree C
Related Product Information for anti-CDO1 antibody
CDO1 (cysteine dioxygenase, type I) is a 200 amino acid protein that belongs to the cysteine dioxygenase family and is involved in organosulfur biosynthesis. Existing as a monomer and expressed at high levels in liver and placenta and at lower levels in brain, pancreas and heart, CDO1 functions as a dioxygenase that uses iron and zinc as cofactors to catalyze the conversion of L-cysteine and oxygen to 3-sulfinoalanine.
Product Categories/Family for anti-CDO1 antibody
NCBI and Uniprot Product Information
NCBI GI #
NCBI GeneID
NCBI Accession #
NCBI GenBank Nucleotide #
Molecular Weight
22,972 Da
NCBI Official Full Name
cysteine dioxygenase type 1
NCBI Official Synonym Full Names
cysteine dioxygenase type 1
NCBI Official Symbol
CDO1
NCBI Protein Information
cysteine dioxygenase type 1
UniProt Protein Name
Cysteine dioxygenase type 1
UniProt Gene Name
CDO1
UniProt Synonym Gene Names
CDO; CDO-I
UniProt Entry Name
CDO1_HUMAN
Customer Reviews
Loading reviews...
Share Your Experience
Similar Products
Product Notes
The CDO1 cdo1 (Catalog #AAA307315) is an Antibody produced from Rabbit and is intended for research purposes only. The product is available for immediate purchase. The CDO1 Antibody reacts with Human and may cross-react with other species as described in the data sheet. AAA Biotech's CDO1 can be used in a range of immunoassay formats including, but not limited to, IHC (Immunohistochemistry). Researchers should empirically determine the suitability of the CDO1 cdo1 for an application not listed in the data sheet. Researchers commonly develop new applications and it is an integral, important part of the investigative research process. It is sometimes possible for the material contained within the vial of "CDO1, Polyclonal Antibody" to become dispersed throughout the inside of the vial, particularly around the seal of said vial, during shipment and storage. We always suggest centrifuging these vials to consolidate all of the liquid away from the lid and to the bottom of the vial prior to opening. Please be advised that certain products may require dry ice for shipping and that, if this is the case, an additional dry ice fee may also be required.Precautions
All products in the AAA Biotech catalog are strictly for research-use only, and are absolutely not suitable for use in any sort of medical, therapeutic, prophylactic, in-vivo, or diagnostic capacity. By purchasing a product from AAA Biotech, you are explicitly certifying that said products will be properly tested and used in line with industry standard. AAA Biotech and its authorized distribution partners reserve the right to refuse to fulfill any order if we have any indication that a purchaser may be intending to use a product outside of our accepted criteria.Disclaimer
Though we do strive to guarantee the information represented in this datasheet, AAA Biotech cannot be held responsible for any oversights or imprecisions. AAA Biotech reserves the right to adjust any aspect of this datasheet at any time and without notice. It is the responsibility of the customer to inform AAA Biotech of any product performance issues observed or experienced within 30 days of receipt of said product. To see additional details on this or any of our other policies, please see our Terms & Conditions page.Item has been added to Shopping Cart
If you are ready to order, navigate to Shopping Cart and get ready to checkout.
