Rabbit anti-Human CEP120 Polyclonal Antibody | anti-CEP120 antibody
CEP120 Antibody
Gene Names
CEP120; SRTD13; CCDC100
Reactivity
Human
Applications
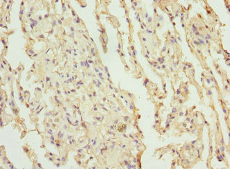
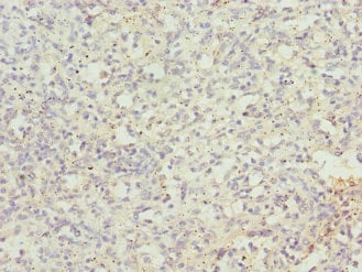
Immunohistochemistry, ELISA
Purity
Antigen Affinity Purified
Synonyms
CEP120, Antibody; CEP120 Antibody; Centrosomal protein of 120 kDa; Cep120; Coiled-coil domain-containing protein 100; CEP120; CCDC100; anti-CEP120 antibody
Host
Rabbit
Reactivity
Human
Clonality
Polyclonal
Isotype
IgG
Purity/Purification
Antigen Affinity Purified
Form/Format
Liquid
Sequence Length
960
Applicable Applications for anti-CEP120 antibody
IHC (Immunohistochemistry), ELISA
Species
Human
Immunogen
Recombinant human Centrosomal protein of 120 kDa protein (N-270AA)
Conjugate
Non-conjugated
Buffer
PBS with 0.02% sodium azide, 50% glycerol, pH7.3.
Santa Cruz Alternative
Potential replacement for Santa Cruz Biotechnology antibody catalog# sc-242421
Preparation and Storage
Shipped at 4 degree C. Upon delivery aliquot and store at -20 degree C or -80 degree C. Avoid repeated freeze.
Related Product Information for anti-CEP120 antibody
Plays a role in the microtubule-dependent coupling of the nucleus and the centrosome. Involved in the processes that regulate centrosome-mediated interkinetic nuclear migration (INM) of neural progenitors and for proper positioning of neurons during brain development. Also implicated in the migration and selfrenewal of neural progenitors. Required for centriole duplication and maturation during mitosis and subsequent ciliogenesis (By similarity).
NCBI and Uniprot Product Information
NCBI GI #
NCBI GeneID
NCBI Accession #
NCBI GenBank Nucleotide #
Molecular Weight
42,705 Da
NCBI Official Full Name
centrosomal protein of 120 kDa isoform 2
NCBI Official Synonym Full Names
centrosomal protein 120
NCBI Official Symbol
CEP120
NCBI Official Synonym Symbols
SRTD13; CCDC100
NCBI Protein Information
centrosomal protein of 120 kDa
UniProt Protein Name
Centrosomal protein of 120 kDa
UniProt Gene Name
CEP120
UniProt Synonym Gene Names
CCDC100; Cep120
UniProt Entry Name
CE120_HUMAN
Customer Reviews
Loading reviews...
Share Your Experience
Similar Products
Product Notes
The CEP120 cep120 (Catalog #AAA231335) is an Antibody produced from Rabbit and is intended for research purposes only. The product is available for immediate purchase. The CEP120 Antibody reacts with Human and may cross-react with other species as described in the data sheet. AAA Biotech's CEP120 can be used in a range of immunoassay formats including, but not limited to, IHC (Immunohistochemistry), ELISA. Researchers should empirically determine the suitability of the CEP120 cep120 for an application not listed in the data sheet. Researchers commonly develop new applications and it is an integral, important part of the investigative research process. It is sometimes possible for the material contained within the vial of "CEP120, Polyclonal Antibody" to become dispersed throughout the inside of the vial, particularly around the seal of said vial, during shipment and storage. We always suggest centrifuging these vials to consolidate all of the liquid away from the lid and to the bottom of the vial prior to opening. Please be advised that certain products may require dry ice for shipping and that, if this is the case, an additional dry ice fee may also be required.Precautions
All products in the AAA Biotech catalog are strictly for research-use only, and are absolutely not suitable for use in any sort of medical, therapeutic, prophylactic, in-vivo, or diagnostic capacity. By purchasing a product from AAA Biotech, you are explicitly certifying that said products will be properly tested and used in line with industry standard. AAA Biotech and its authorized distribution partners reserve the right to refuse to fulfill any order if we have any indication that a purchaser may be intending to use a product outside of our accepted criteria.Disclaimer
Though we do strive to guarantee the information represented in this datasheet, AAA Biotech cannot be held responsible for any oversights or imprecisions. AAA Biotech reserves the right to adjust any aspect of this datasheet at any time and without notice. It is the responsibility of the customer to inform AAA Biotech of any product performance issues observed or experienced within 30 days of receipt of said product. To see additional details on this or any of our other policies, please see our Terms & Conditions page.Item has been added to Shopping Cart
If you are ready to order, navigate to Shopping Cart and get ready to checkout.
