Rabbit CFTR Polyclonal Antibody | anti-CFTR antibody
Phospho-CFTR (Thr1471) Antibody
Predicted: Pig, Bovine, Sheep, Rabbit, Dog, Xenopus
Predicted: Pig, Bovine, Sheep, Rabbit, Dog, Xenopus
WB (Western Blot)
(Western blot analysis of extracts of Human Lung tissue sample,using Phospho-CFTR (Thr1471) Antibody.)
IHC (Immunohiostchemistry)
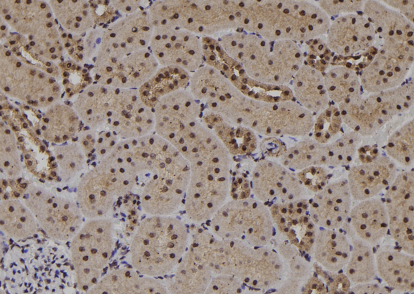
(At 1/100 staining human kidney tissue sections by IHC-P. The tissue was formaldehyde fixed and a heat mediated antigen retrieval step in citrate buffer was performed. The tissue was then blocked and incubated with the antibody for 1.5 hours at 22 degree C. An HRP conjugated goat anti-rabbit antibody was used as the secondary)
IHC (Immunohistochemistry)
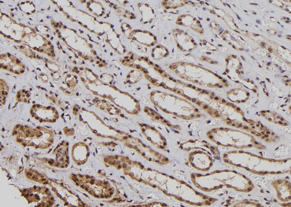
(At 1/100 staining rat kidney tissue sections by IHC-P. The tissue was formaldehyde fixed and a heat mediated antigen retrieval step in citrate buffer was performed. The tissue was then blocked and incubated with the antibody for 1.5 hours at 22 degree C. An HRP conjugated goat anti-rabbit antibody was used as the secondary)
Post Translational Modifications: N-glycosylated. Phosphorylated; cAMP treatment promotes phosphorylation and activates the channel (PubMed:12588899, PubMed:17036051, PubMed:8910473). Dephosphorylation decreases the ATPase activity (in vitro) (PubMed:8910473). Phosphorylation at PKA sites activates the channel (PubMed:10792060, PubMed:12519745, PubMed:12588899, PubMed:25330774). Phosphorylation at PKC sites enhances the response to phosphorylation by PKA (PubMed:12588899). Phosphorylated by AMPK; this inhibits channel activity (PubMed:12519745). Ubiquitinated, leading to its degradation in the lysosome (PubMed:19398555). Deubiquitination by USP10 in early endosomes enhances its endocytic recycling to the cell membrane (PubMed:19398555). Ubiquitinated by RNF185 during ER stress (PubMed:24019521).
Subunit Structure: Monomer; does not require oligomerization for channel activity (PubMed:11524016). May form oligomers in the membrane (PubMed:11524016). Interacts with SLC26A3, SLC26A6 and SHANK2 (By similarity). Interacts with SLC9A3R1 and MYO6 (PubMed:12403779, PubMed:15247260, PubMed:11304524). Interacts (via C-terminus) with GOPC (via PDZ domain); this promotes CFTR internalization and thereby decreases channel activity (PubMed:11707463, PubMed:16331976). Interacts with SLC4A7 through SLC9A3R1 (PubMed:12403779). Found in a complex with MYO5B and RAB11A (PubMed:17462998). Interacts with ANO1 (PubMed:22178883). Interacts with SLC26A8 (PubMed:22121115). Interacts with AHCYL1; the interaction increases CFTR activity (By similarity). Interacts with CSE1L (PubMed:20933420).
Similarity: Binds and hydrolyzes ATP via the two cytoplasmic ABC transporter nucleotide-binding domains (PubMed:15284228). The two ATP-binding domains interact with each other, forming a head-to-tail dimer (PubMed:17036051). Normal ATPase activity requires interaction between the two domains (PubMed:15284228). The first ABC transporter nucleotide-binding domain has no ATPase activity by itself (By similarity). The PDZ-binding motif mediates interactions with GOPC and with the SLC4A7, SLC9A3R1/EBP50 complex. The R region is intrinsically disordered (PubMed:10792060, PubMed:17660831). It mediates channel activation when it is phosphorylated, but not in the absence of phosphorylation (PubMed:10792060). Belongs to the ABC transporter superfamily. ABCC family. CFTR transporter (TC 3.A.1.202) subfamily.
NCBI and Uniprot Product Information
Predicted: 169 kDa
Customer Reviews
Loading reviews...
Share Your Experience
Similar Products
Product Notes
The CFTR cftr (Catalog #AAA328378) is an Antibody produced from Rabbit and is intended for research purposes only. The product is available for immediate purchase. The Phospho-CFTR (Thr1471) Antibody reacts with Human, Mouse, Rat Predicted: Pig, Bovine, Sheep, Rabbit, Dog, Xenopus and may cross-react with other species as described in the data sheet. AAA Biotech's CFTR can be used in a range of immunoassay formats including, but not limited to, ELISA (Peptide ELISA), IHC (Immunohistochemistry), WB (Western Blot). Researchers should empirically determine the suitability of the CFTR cftr for an application not listed in the data sheet. Researchers commonly develop new applications and it is an integral, important part of the investigative research process. It is sometimes possible for the material contained within the vial of "CFTR, Polyclonal Antibody" to become dispersed throughout the inside of the vial, particularly around the seal of said vial, during shipment and storage. We always suggest centrifuging these vials to consolidate all of the liquid away from the lid and to the bottom of the vial prior to opening. Please be advised that certain products may require dry ice for shipping and that, if this is the case, an additional dry ice fee may also be required.Precautions
All products in the AAA Biotech catalog are strictly for research-use only, and are absolutely not suitable for use in any sort of medical, therapeutic, prophylactic, in-vivo, or diagnostic capacity. By purchasing a product from AAA Biotech, you are explicitly certifying that said products will be properly tested and used in line with industry standard. AAA Biotech and its authorized distribution partners reserve the right to refuse to fulfill any order if we have any indication that a purchaser may be intending to use a product outside of our accepted criteria.Disclaimer
Though we do strive to guarantee the information represented in this datasheet, AAA Biotech cannot be held responsible for any oversights or imprecisions. AAA Biotech reserves the right to adjust any aspect of this datasheet at any time and without notice. It is the responsibility of the customer to inform AAA Biotech of any product performance issues observed or experienced within 30 days of receipt of said product. To see additional details on this or any of our other policies, please see our Terms & Conditions page.Item has been added to Shopping Cart
If you are ready to order, navigate to Shopping Cart and get ready to checkout.
