Rabbit anti-Human, Mouse CHCHD3 Polyclonal Antibody | anti-CHCHD3 antibody
CHCHD3 Antibody
Phosphate buffered saline, pH 7.4, 150mM NaCl, 0.02% sodium azide and 50% glycerol.
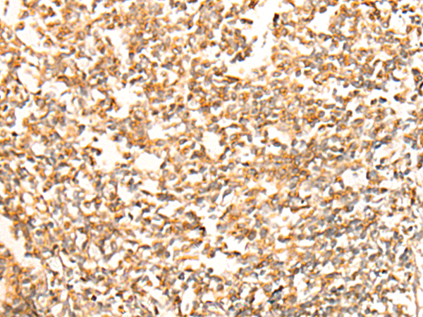
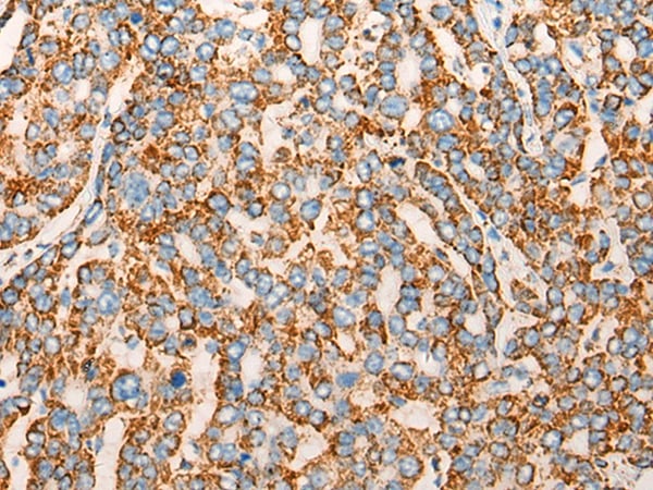
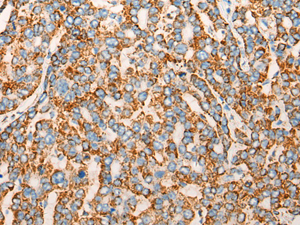
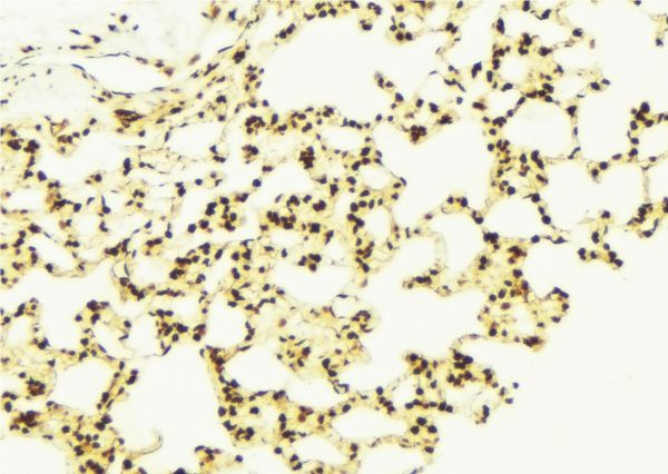
IHC (Immunohiostchemistry)
(AAA323078 at 1/100 staining Mouse lung tissue by IHC-P. The sample was formaldehyde fixed and a heat mediated antigen retrieval step in citrate buffer was performed. The sample was then blocked and incubated with the antibody for 1.5 hours at 22 degree C. An HRP conjugated goat anti-rabbit antibody was used as the secondary.)
Subunit Structure: Component of the mitochondrial contact site and cristae organizing system (MICOS) complex, composed of at least MINOS1/MIC10, CHCHD3/MIC19, CHCHD6/MIC25, APOOL/MIC27, IMMT/MIC60, APOO/MIC23/MIC26 and QIL1/MIC13 (PubMed:21081504, PubMed:22114354, PubMed:22228767, PubMed:25997101). This complex was also known under the names MINOS or MitOS complex. The MICOS complex associates with mitochondrial outer membrane proteins SAMM50, MTX1 and MTX2 (together described as components of the mitochondrial outer membrane sorting assembly machinery (SAM) complex) and DNAJC11, mitochondrial inner membrane protein TMEM11 and with HSPA9 (PubMed:21081504, PubMed:22114354, PubMed:22228767, PubMed:25997101). The MICOS and SAM complexes together with DNAJC11 are part of a large protein complex spanning both membranes termed the mitochondrial intermembrane space bridging (MIB) complex. Interacts with HSPA1A/HSPA1B and OPA1, preferentially with the soluble OPA1 form (By similarity). Interacts with IMMT/MIC60.
Similarity: Belongs to the MICOS complex subunit Mic19 family. Metazoan Mic19 subfamily.
NCBI and Uniprot Product Information
Predicted: 27 kDa
Customer Reviews
Loading reviews...
Share Your Experience
Similar Products
Product Notes
The CHCHD3 chchd3 (Catalog #AAA323078) is an Antibody produced from Rabbit and is intended for research purposes only. The product is available for immediate purchase. The CHCHD3 Antibody reacts with Human, Mouse and may cross-react with other species as described in the data sheet. AAA Biotech's CHCHD3 can be used in a range of immunoassay formats including, but not limited to, IHC (Immunohistochemistry), WB (Western Blot). Researchers should empirically determine the suitability of the CHCHD3 chchd3 for an application not listed in the data sheet. Researchers commonly develop new applications and it is an integral, important part of the investigative research process. It is sometimes possible for the material contained within the vial of "CHCHD3, Polyclonal Antibody" to become dispersed throughout the inside of the vial, particularly around the seal of said vial, during shipment and storage. We always suggest centrifuging these vials to consolidate all of the liquid away from the lid and to the bottom of the vial prior to opening. Please be advised that certain products may require dry ice for shipping and that, if this is the case, an additional dry ice fee may also be required.Precautions
All products in the AAA Biotech catalog are strictly for research-use only, and are absolutely not suitable for use in any sort of medical, therapeutic, prophylactic, in-vivo, or diagnostic capacity. By purchasing a product from AAA Biotech, you are explicitly certifying that said products will be properly tested and used in line with industry standard. AAA Biotech and its authorized distribution partners reserve the right to refuse to fulfill any order if we have any indication that a purchaser may be intending to use a product outside of our accepted criteria.Disclaimer
Though we do strive to guarantee the information represented in this datasheet, AAA Biotech cannot be held responsible for any oversights or imprecisions. AAA Biotech reserves the right to adjust any aspect of this datasheet at any time and without notice. It is the responsibility of the customer to inform AAA Biotech of any product performance issues observed or experienced within 30 days of receipt of said product. To see additional details on this or any of our other policies, please see our Terms & Conditions page.Item has been added to Shopping Cart
If you are ready to order, navigate to Shopping Cart and get ready to checkout.
