Rabbit CHMP4B Polyclonal Antibody | anti-CHMP4B antibody
CHMP4B Antibody
Phosphate buffered saline, pH 7.4, 150mM NaCl, 0.02% sodium azide and 50% glycerol.
WB (Western Blot)
(Western blot analysis of extracts from various samples, using CHMP4B antibody. Lane 1: rat brain treated with blocking peptide. Lane 2: Rat brain; Lane 3: Mouse brain;)
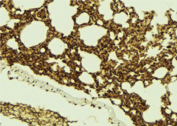
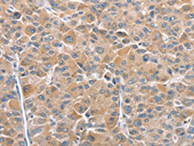
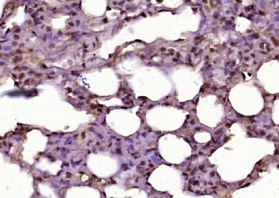
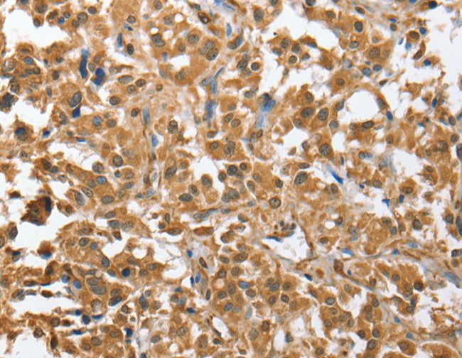
IHC (Immunohiostchemistry)
(AAA323080 at 1/100 staining Mouse lung tissue by IHC-P. The sample was formaldehyde fixed and a heat mediated antigen retrieval step in citrate buffer was performed. The sample was then blocked and incubated with the antibody for 1.5 hours at 22 degree C. An HRP conjugated goat anti-rabbit antibody was used as the secondary.)
Subunit Structure: Probable core component of the endosomal sorting required for transport complex III (ESCRT-III). ESCRT-III components are thought to multimerize to form a flat lattice on the perimeter membrane of the endosome. Several assembly forms of ESCRT-III may exist that interact and act sequentially. Interacts with CHMP6 and CHMP4C. Interacts with PDCD6IP; the interaction is direct. Interacts with VPS4A; the interaction is direct. Interacts with VPS4B; the interaction is direct. Interacts with CHMP7. Interacts with CFTR; the interaction requires misfolded CFTR. Interacts with PTPN23.
Post-translational Modifications: ISGylated. Isgylation weakens its interaction with VPS4A.
Similarity: The acidic C-terminus and the basic N-termminus are thought to render the protein in a closed, soluble and inactive conformation through an autoinhibitory intramolecular interaction. The open and active conformation, which enables membrane binding and oligomerization, is achieved by interaction with other cellular binding partners, probably including other ESCRT components. Belongs to the SNF7 family.
NCBI and Uniprot Product Information
Predicted: 25 kDa
Customer Reviews
Loading reviews...
Share Your Experience
Similar Products
Product Notes
The CHMP4B chmp4b (Catalog #AAA323080) is an Antibody produced from Rabbit and is intended for research purposes only. The product is available for immediate purchase. The CHMP4B Antibody reacts with Human, Mouse, Rat and may cross-react with other species as described in the data sheet. AAA Biotech's CHMP4B can be used in a range of immunoassay formats including, but not limited to, IHC (Immunohistochemistry), WB (Western Blot). Researchers should empirically determine the suitability of the CHMP4B chmp4b for an application not listed in the data sheet. Researchers commonly develop new applications and it is an integral, important part of the investigative research process. It is sometimes possible for the material contained within the vial of "CHMP4B, Polyclonal Antibody" to become dispersed throughout the inside of the vial, particularly around the seal of said vial, during shipment and storage. We always suggest centrifuging these vials to consolidate all of the liquid away from the lid and to the bottom of the vial prior to opening. Please be advised that certain products may require dry ice for shipping and that, if this is the case, an additional dry ice fee may also be required.Precautions
All products in the AAA Biotech catalog are strictly for research-use only, and are absolutely not suitable for use in any sort of medical, therapeutic, prophylactic, in-vivo, or diagnostic capacity. By purchasing a product from AAA Biotech, you are explicitly certifying that said products will be properly tested and used in line with industry standard. AAA Biotech and its authorized distribution partners reserve the right to refuse to fulfill any order if we have any indication that a purchaser may be intending to use a product outside of our accepted criteria.Disclaimer
Though we do strive to guarantee the information represented in this datasheet, AAA Biotech cannot be held responsible for any oversights or imprecisions. AAA Biotech reserves the right to adjust any aspect of this datasheet at any time and without notice. It is the responsibility of the customer to inform AAA Biotech of any product performance issues observed or experienced within 30 days of receipt of said product. To see additional details on this or any of our other policies, please see our Terms & Conditions page.Item has been added to Shopping Cart
If you are ready to order, navigate to Shopping Cart and get ready to checkout.
