Rabbit CHRM1/M1 Polyclonal Antibody | anti-CHRM1 antibody
CHRM1/M1 Rabbit anti-Human Polyclonal (270-350 aa, Internal) Antibody
Gene Names
CHRM1; M1; HM1; M1R
Reactivity
Mouse, Rat, Human
Applications
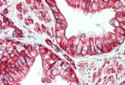
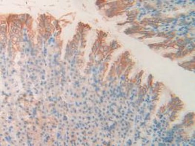
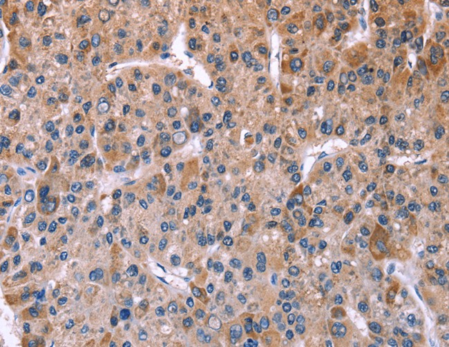
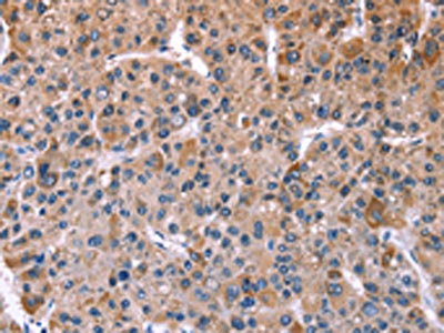
Western Blot, Immunohistochemistry, Immunohistochemistry, ELISA
Purity
Immunoaffinity purified
Synonyms
CHRM1/M1, Antibody; CHRM1/M1 Rabbit anti-Human Polyclonal (270-350 aa, Internal) Antibody; IHC-plus CHRM1/M1 Antibody (270-350 aa; Internal); CHRM1; Acetylcholine receptor M1; M1R; M1; M1 muscarinic receptor; HM1; Muscarinic M1 receptor; anti-CHRM1 antibody
Host
Rabbit
Reactivity
Mouse, Rat, Human
Clonality
Polyclonal
Isotype
IgG
Specificity
mAChR M1 Polyclonal Antibody detects endogenous levels of mAChR M1 protein.
Purity/Purification
Immunoaffinity purified
Form/Format
PBS, 0.02% Sodium Azide, 50% Glycerol, 0.5% BSA
Concentration
1mg/ml (varies by lot)
Applicable Applications for anti-CHRM1 antibody
WB (Western Blot), IHC (Immunohistochemistry), IHC (Immunohistochemistry), ELISA
Target
Human CHRM1/M1
Immunogen
Synthesized peptide derived from human mAChR M1
Conjugation
Unconjugated
Epitope
270-350 aa, Internal
Family
GPCR
Subfamily
Acetylcholine
Preparation and Storage
Store at -20 degree C. Avoid freeze-thaw cycles.
Related Product Information for anti-CHRM1 antibody
M1 antibody is an unconjugated rabbit polyclonal antibody to M1 (CHRM1)(270-350 aa, Internal) from human. It is reactive with human, mouse and rat. Validated for ELISA, IHC and WB. Tested on 20 paraffin-embedded human tissues.
NCBI and Uniprot Product Information
NCBI GI #
NCBI GeneID
NCBI Accession #
NCBI GenBank Nucleotide #
UniProt Accession #
Molecular Weight
51,421 Da
NCBI Official Full Name
muscarinic acetylcholine receptor M1
NCBI Official Synonym Full Names
cholinergic receptor, muscarinic 1
NCBI Official Symbol
CHRM1
NCBI Official Synonym Symbols
M1; HM1; M1R
NCBI Protein Information
muscarinic acetylcholine receptor M1; acetylcholine receptor, muscarinic 1
UniProt Protein Name
Muscarinic acetylcholine receptor M1
UniProt Gene Name
CHRM1
UniProt Entry Name
ACM1_HUMAN
Customer Reviews
Loading reviews...
Share Your Experience
Similar Products
Product Notes
The CHRM1 chrm1 (Catalog #AAA162891) is an Antibody produced from Rabbit and is intended for research purposes only. The product is available for immediate purchase. The CHRM1/M1 Rabbit anti-Human Polyclonal (270-350 aa, Internal) Antibody reacts with Mouse, Rat, Human and may cross-react with other species as described in the data sheet. AAA Biotech's CHRM1/M1 can be used in a range of immunoassay formats including, but not limited to, WB (Western Blot), IHC (Immunohistochemistry), IHC (Immunohistochemistry), ELISA. Researchers should empirically determine the suitability of the CHRM1 chrm1 for an application not listed in the data sheet. Researchers commonly develop new applications and it is an integral, important part of the investigative research process. It is sometimes possible for the material contained within the vial of "CHRM1/M1, Polyclonal Antibody" to become dispersed throughout the inside of the vial, particularly around the seal of said vial, during shipment and storage. We always suggest centrifuging these vials to consolidate all of the liquid away from the lid and to the bottom of the vial prior to opening. Please be advised that certain products may require dry ice for shipping and that, if this is the case, an additional dry ice fee may also be required.Precautions
All products in the AAA Biotech catalog are strictly for research-use only, and are absolutely not suitable for use in any sort of medical, therapeutic, prophylactic, in-vivo, or diagnostic capacity. By purchasing a product from AAA Biotech, you are explicitly certifying that said products will be properly tested and used in line with industry standard. AAA Biotech and its authorized distribution partners reserve the right to refuse to fulfill any order if we have any indication that a purchaser may be intending to use a product outside of our accepted criteria.Disclaimer
Though we do strive to guarantee the information represented in this datasheet, AAA Biotech cannot be held responsible for any oversights or imprecisions. AAA Biotech reserves the right to adjust any aspect of this datasheet at any time and without notice. It is the responsibility of the customer to inform AAA Biotech of any product performance issues observed or experienced within 30 days of receipt of said product. To see additional details on this or any of our other policies, please see our Terms & Conditions page.Item has been added to Shopping Cart
If you are ready to order, navigate to Shopping Cart and get ready to checkout.
