Rabbit CIN85 Polyclonal Antibody | anti-CIN85 antibody
CIN85 Antibody
Phosphate buffered saline, pH 7.4, 150mM NaCl, 0.02% sodium azide and 50% glycerol.
WB (Western Blot)
(Western blot analysis of extracts of fetal human brain tissue, using CIN85 antibody.)
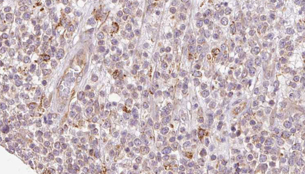
IHC (Immunohistochemistry)
(AAA323189 at 1/100 staining Human lymph cancer tissue by IHC-P. The sample was formaldehyde fixed and a heat mediated antigen retrieval step in citrate buffer was performed. The sample was then blocked and incubated with the antibody for 1.5 hours at 22 degree C. An HRP conjugated goat anti-rabbit antibody was used as the secondary.)
Subunit Structure: Can self-associate and form homotetramers. Interacts with CD2, F-actin capping protein, PIK3R3, GRB2, EGFR, MET, BLNK, MAP3K4, PDCD6IP, SPRY2, ARHGAP17, ARHGAP27, MAGI2, CRK, BCAR1, SOS1, ASAP1, ARAP3, HIP1R, SYNJ2, INPP5D and STAP1. Interacts with CBL and CBLB, but does not interact with CBLC. Two molecules of SH3KBP1 seem to bind through their respective SH3 1 domain to one molecule of CBLB. The interaction with CBL or CBLB and EGFR is increased upon EGF stimulation. The interaction with CBL is attenuated by PDCD6IP. Interacts through its proline-rich region with the SH3 domain of endophilins SH3GL1, SH3GL2 and SH3GL3. The SH3KBP1-endophilin complex seems to associate with a complex containing the phosphorylated receptor (EGFR or MET) and phosphorylated CBL. Probably associates with ASAP1 and phosphorylated EGFR. Probably part of a complex consisting of at least SH3KBP1, ASAP1 and ARAP3. Interacts with focal adhesion kinases PTK2/FAK1 AND PTK2B/PYK2, probably as a dimer. Interacts with DAB2 and probably associates with chathrin through its interaction with DAB2. Part of a complex consisting of SH3KBP1, DAB2, and clathrin heavy chain. DAB2 and clathrin dissociate from SH3KBP1 following growth factor treatment, enabling interaction with CBL. Interacts with DDN and probably associates with MAGI2 through its interaction with DDN. Interacts with the SH3 domains of SRC tyrosine-protein kinases SRC, LCK, LYN, FGR, FYN and HCK. Interacts with TRADD, BIRC2, TRAF1, TRAF2 and TNFR1, and the association with a TNFR1-associated complex upon stimulation with TNF-alpha seems to be mediated by SRC. Interacts (via SH3 domains) with SHKBP1 (via PXXXPR motifs) (By similarity). Interaction with CBL is abolished in the presence of SHKBP1 (By similarity). Interacts (via SH3 domains) with ZFP36 (via extreme C-terminal region) (PubMed:20221403). Interacts with MAP3K4; this interaction enhances the association with ZFP36 (PubMed:20221403).
Post-translational Modifications: Monoubiquitinated by CBL and CBLB after EGF stimulation; probably on its C-terminus.
NCBI and Uniprot Product Information
Predicted: 74 kDa
Customer Reviews
Loading reviews...
Share Your Experience
Similar Products
Product Notes
The CIN85 sh3kbp1 (Catalog #AAA323189) is an Antibody produced from Rabbit and is intended for research purposes only. The product is available for immediate purchase. The CIN85 Antibody reacts with Human, Mouse, Rat and may cross-react with other species as described in the data sheet. AAA Biotech's CIN85 can be used in a range of immunoassay formats including, but not limited to, IHC (Immunohistochemistry), WB (Western Blot). Researchers should empirically determine the suitability of the CIN85 sh3kbp1 for an application not listed in the data sheet. Researchers commonly develop new applications and it is an integral, important part of the investigative research process. It is sometimes possible for the material contained within the vial of "CIN85, Polyclonal Antibody" to become dispersed throughout the inside of the vial, particularly around the seal of said vial, during shipment and storage. We always suggest centrifuging these vials to consolidate all of the liquid away from the lid and to the bottom of the vial prior to opening. Please be advised that certain products may require dry ice for shipping and that, if this is the case, an additional dry ice fee may also be required.Precautions
All products in the AAA Biotech catalog are strictly for research-use only, and are absolutely not suitable for use in any sort of medical, therapeutic, prophylactic, in-vivo, or diagnostic capacity. By purchasing a product from AAA Biotech, you are explicitly certifying that said products will be properly tested and used in line with industry standard. AAA Biotech and its authorized distribution partners reserve the right to refuse to fulfill any order if we have any indication that a purchaser may be intending to use a product outside of our accepted criteria.Disclaimer
Though we do strive to guarantee the information represented in this datasheet, AAA Biotech cannot be held responsible for any oversights or imprecisions. AAA Biotech reserves the right to adjust any aspect of this datasheet at any time and without notice. It is the responsibility of the customer to inform AAA Biotech of any product performance issues observed or experienced within 30 days of receipt of said product. To see additional details on this or any of our other policies, please see our Terms & Conditions page.Item has been added to Shopping Cart
If you are ready to order, navigate to Shopping Cart and get ready to checkout.
