Rabbit cJun Polyclonal Antibody | anti-cJun antibody
cJun antibody
Applications
Immunohistochemistry, Western Blot
Purity
cJun antibody was purified by affinity chromatography
Synonyms
cJun, Antibody; cJun antibody; Polyclonal cJun; Anti-cJun; Activator protein 1; AP-1; AP1; c-Jun; enhancer-binding protein AP1; JUN; Jun activation domain binding protein; jun oncogene; p39; Proto-oncogene c-Jun; Transcription factor AP-1; V-jun avian sarcoma virus 17 oncogene homolog; v-jun sarcoma virus 17 oncogene homolog; anti-cJun antibody
Host
Rabbit
Clonality
Polyclonal
Isotype
IgG
Specificity
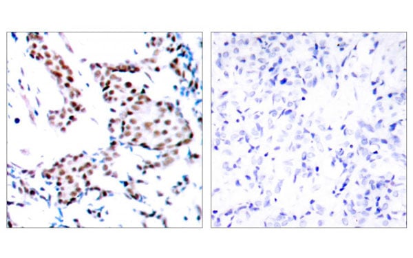
cJun antibody detects endogenous levels of c-Jun protein around tyrosine 170
Purity/Purification
cJun antibody was purified by affinity chromatography
Form/Format
Supplied in PBS buffer (without Mg2+ and Ca2+), pH 7.4, 150mM NaCl, 0.02% sodium azide and 50% glycerol
Concentration
1 mg/ml (varies by lot)
Applicable Applications for anti-cJun antibody
IHC (Immunohistochemistry), WB (Western Blot)
Biological Significance
c-Jun in combination with c-Fos, forms the AP-1 early response transcription factor. It was first identified as the Fos-binding protein p39 and only later rediscovered as the product of the c-jun gene. It is activated through double phosphorylation by the JNK pathway but has also a phosphorylation-independent function.
Cross-Reactivity
Mouse, Rat
Immunogen
cJun antibody was raised in Rabbit using a synthesized non-phosphopeptide derived from human c-Jun around the phosphorylation site of tyrosine 170 (P-V-YP-A-N) as the immunogen.
Preparation and Storage
Store at -20 degree C in small aliquots. Avoid repeat freeze/thaw cycles
Related Product Information for anti-cJun antibody
Rabbit Polyclonal cJun antibody
Product Categories/Family for anti-cJun antibody
Customer Reviews
Loading reviews...
Share Your Experience
Similar Products
MHC CLASS II MONOMORPHIC Antibody
Host: Mouse
Reactivity: n/a
Apps: Flow Cytometry, Functional Assay
MHC CLASS II MONOMORPHIC Antibody
Host: Mouse
Reactivity: n/a
Apps: Flow Cytometry, Functional Assay
Product Notes
The cJun (Catalog #AAA224403) is an Antibody produced from Rabbit and is intended for research purposes only. The product is available for immediate purchase. AAA Biotech's cJun can be used in a range of immunoassay formats including, but not limited to, IHC (Immunohistochemistry), WB (Western Blot). Researchers should empirically determine the suitability of the cJun for an application not listed in the data sheet. Researchers commonly develop new applications and it is an integral, important part of the investigative research process. It is sometimes possible for the material contained within the vial of "cJun, Polyclonal Antibody" to become dispersed throughout the inside of the vial, particularly around the seal of said vial, during shipment and storage. We always suggest centrifuging these vials to consolidate all of the liquid away from the lid and to the bottom of the vial prior to opening. Please be advised that certain products may require dry ice for shipping and that, if this is the case, an additional dry ice fee may also be required.Precautions
All products in the AAA Biotech catalog are strictly for research-use only, and are absolutely not suitable for use in any sort of medical, therapeutic, prophylactic, in-vivo, or diagnostic capacity. By purchasing a product from AAA Biotech, you are explicitly certifying that said products will be properly tested and used in line with industry standard. AAA Biotech and its authorized distribution partners reserve the right to refuse to fulfill any order if we have any indication that a purchaser may be intending to use a product outside of our accepted criteria.Disclaimer
Though we do strive to guarantee the information represented in this datasheet, AAA Biotech cannot be held responsible for any oversights or imprecisions. AAA Biotech reserves the right to adjust any aspect of this datasheet at any time and without notice. It is the responsibility of the customer to inform AAA Biotech of any product performance issues observed or experienced within 30 days of receipt of said product. To see additional details on this or any of our other policies, please see our Terms & Conditions page.Item has been added to Shopping Cart
If you are ready to order, navigate to Shopping Cart and get ready to checkout.
