Rabbit anti-Human CK19 Polyclonal Antibody | anti-CK19 antibody
CK19 Polyclonal Antibody
Gene Names
Krt19; Ka19; Krt1-19
Reactivity
Human
Applications
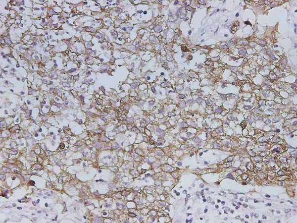
Immunohistochemistry
Purity
Antigen Affinity Purification
Synonyms
CK19, Antibody; CK19 Polyclonal Antibody; 40 kDa keratin intermediate filament; CK 19; CK-19; CK19; Cytokeratin 19; Cytokeratin-19; K19; K1C19; K1CS; Keratin 19; Keratin type I 40 kD; Keratin type I 40kD; Keratin type I cytoskeletal 19; Keratin; type I cytoskeletal 19; type I; 40 kd; Keratin-19; KRT19; anti-CK19 antibody
Host
Rabbit
Reactivity
Human
Clonality
Polyclonal
Isotype
IgG
Purity/Purification
Antigen Affinity Purification
Form/Format
PBS with 0.02% sodium azide,1% protective protein and 50% glycerol,pH7.4
Concentration
1mg/mL (varies by lot)
Applicable Applications for anti-CK19 antibody
IHC (Immunohistochemistry)
Immunogen
Recombinant Rat Krt19 protein expressed by E coli
Preparation and Storage
Store at -20 degree C Valid for 12 months. Avoid freeze/thaw cycles.
Related Product Information for anti-CK19 antibody
The keratins are intermediate filament proteins responsible for the structural integrity of epithelial cells. KRT19, one of type I keratins, is specifically expressed in the periderm, the transiently superficial layer that envelopes the developing epidermis. Due to its high sensitivity, KRT19 is the most used marker for detection of tumor cells disseminated in lymph nodes, peripheral blood, and bone marrow of breast cancer patients. This antibody, generated against full length KRT19 protein, also recognizes KRT17, another type I keratin homologous to KRT19. KRT17 is used as a marker for trauma.
Product Categories/Family for anti-CK19 antibody
NCBI and Uniprot Product Information
NCBI GI #
NCBI GeneID
NCBI Accession #
NCBI GenBank Nucleotide #
Molecular Weight
44,636 Da
NCBI Official Full Name
keratin, type I cytoskeletal 19
NCBI Official Synonym Full Names
keratin 19
NCBI Official Symbol
Krt19
NCBI Official Synonym Symbols
Ka19; Krt1-19
NCBI Protein Information
keratin, type I cytoskeletal 19; K19; CK-19; keratin-19; cytokeratin 19; cytokeratin-19; type I keratin KA19; keratin complex 1, acidic, gene 19
UniProt Protein Name
Keratin, type I cytoskeletal 19
UniProt Gene Name
Krt19
UniProt Synonym Gene Names
Ka19; Krt1-19; CK-19; K19
UniProt Entry Name
K1C19_RAT
Customer Reviews
Loading reviews...
Share Your Experience
Similar Products
Product Notes
The CK19 krt19 (Catalog #AAA179796) is an Antibody produced from Rabbit and is intended for research purposes only. The product is available for immediate purchase. The CK19 Polyclonal Antibody reacts with Human and may cross-react with other species as described in the data sheet. AAA Biotech's CK19 can be used in a range of immunoassay formats including, but not limited to, IHC (Immunohistochemistry). Researchers should empirically determine the suitability of the CK19 krt19 for an application not listed in the data sheet. Researchers commonly develop new applications and it is an integral, important part of the investigative research process. It is sometimes possible for the material contained within the vial of "CK19, Polyclonal Antibody" to become dispersed throughout the inside of the vial, particularly around the seal of said vial, during shipment and storage. We always suggest centrifuging these vials to consolidate all of the liquid away from the lid and to the bottom of the vial prior to opening. Please be advised that certain products may require dry ice for shipping and that, if this is the case, an additional dry ice fee may also be required.Precautions
All products in the AAA Biotech catalog are strictly for research-use only, and are absolutely not suitable for use in any sort of medical, therapeutic, prophylactic, in-vivo, or diagnostic capacity. By purchasing a product from AAA Biotech, you are explicitly certifying that said products will be properly tested and used in line with industry standard. AAA Biotech and its authorized distribution partners reserve the right to refuse to fulfill any order if we have any indication that a purchaser may be intending to use a product outside of our accepted criteria.Disclaimer
Though we do strive to guarantee the information represented in this datasheet, AAA Biotech cannot be held responsible for any oversights or imprecisions. AAA Biotech reserves the right to adjust any aspect of this datasheet at any time and without notice. It is the responsibility of the customer to inform AAA Biotech of any product performance issues observed or experienced within 30 days of receipt of said product. To see additional details on this or any of our other policies, please see our Terms & Conditions page.Item has been added to Shopping Cart
If you are ready to order, navigate to Shopping Cart and get ready to checkout.
